Phone:
+1 877 302 8632
Fax:
+1 888 205 9894 (Toll-free)
E-Mail:
orders@antibodies-online.com

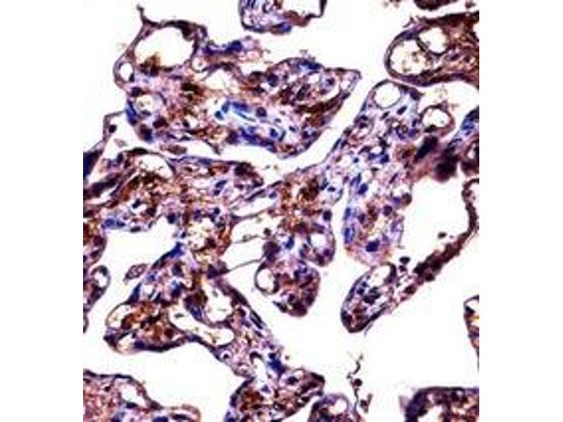
Fibulin 1 antibody (C-Term)

The Rabbit Polyclonal anti-Fibulin 1 antibody is suitable to detect Fibulin 1 in samples from Human and Mouse. It has been validated for WB and IHC (p).
Catalog No. ABIN952325
$846.00
Plus shipping costs $50.00
0.4 mL
Shipping to: United States
Delivery in 1 to 2 Business Days

Quick Overview for Fibulin 1 antibody (C-Term) (ABIN952325)

Target

See all Fibulin 1 (FBLN1) Antibodies
Fibulin 1 (FBLN1)

Reactivity

  • 60
  • 31
  • 19
  • 3
  • 2
  • 2
  • 2
  • 1
  • 1
  • 1
Human, Mouse

Host

  • 64
  • 17
  • 1
Rabbit

Clonality

  • 54
  • 28
Polyclonal

Conjugate

  • 41
  • 19
  • 4
  • 2
  • 2
  • 2
  • 2
  • 2
  • 2
  • 2
  • 1
  • 1
  • 1
  • 1
This Fibulin 1 antibody is un-conjugated

Application

  • 70
  • 37
  • 26
  • 19
  • 19
  • 8
  • 4
  • 3
  • 2
  • 2
  • 1
  • 1
  • 1
Western Blotting (WB), Immunohistochemistry (Paraffin-embedded Sections) (IHC (p))
  • Binding Specificity

    • 8
    • 4
    • 4
    • 4
    • 4
    • 3
    • 3
    • 2
    • 2
    • 2
    • 2
    • 2
    • 1
    • 1
    • 1
    • 1
    • 1
    • 1
    AA 621-650, C-Term

    Specificity

    This antibody recognizes Human and Mouse Fibulin-1 (C-term).

    Purification

    Affinity Chromatography on Protein A

    Immunogen

    KLH conjugated synthetic peptide between 621-650 amino acids from the C-terminal region of Human Fibulin-1.

    Isotype

    Ig Fraction
  • Application Notes

    Optimal working dilution should be determined by the investigator.

    Restrictions

    For Research Use only
  • Format

    Liquid

    Concentration

    0.25 mg/mL

    Buffer

    PBS containing 0.09 % (W/V) Sodium Azide as preservative

    Preservative

    Sodium azide

    Precaution of Use

    This product contains sodium azide: a POISONOUS AND HAZARDOUS SUBSTANCE which should be handled by trained staff only.

    Handling Advice

    Avoid repeated freezing and thawing.

    Storage

    4 °C/-20 °C

    Storage Comment

    Store undiluted at 2-8 °C for one month or (in aliquots) at -20 °C for longer.
  • Target

    Fibulin 1 (FBLN1)

    Alternative Name

    Fibulin-1

    Background

    Fibulin 1 is a secreted glycoprotein that becomes incorporated into a fibrillar extracellular matrix. Calcium-binding is apparently required to mediate its binding to laminin and nidogen. It mediates platelet adhesion via binding fibrinogen. Four splice variants which differ in the 3' end have been identified. Each variant encodes a different isoform, but no functional distinctions have been identified among the four variants.Synonyms: FBLN1, FIBL-1, PP213

    Molecular Weight

    77214 Da

    Gene ID

    2192

    NCBI Accession

    NP_001987
You are here:
Chat with us!