Phone:
+1 877 302 8632
Fax:
+1 888 205 9894 (Toll-free)
E-Mail:
orders@antibodies-online.com

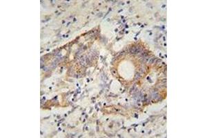
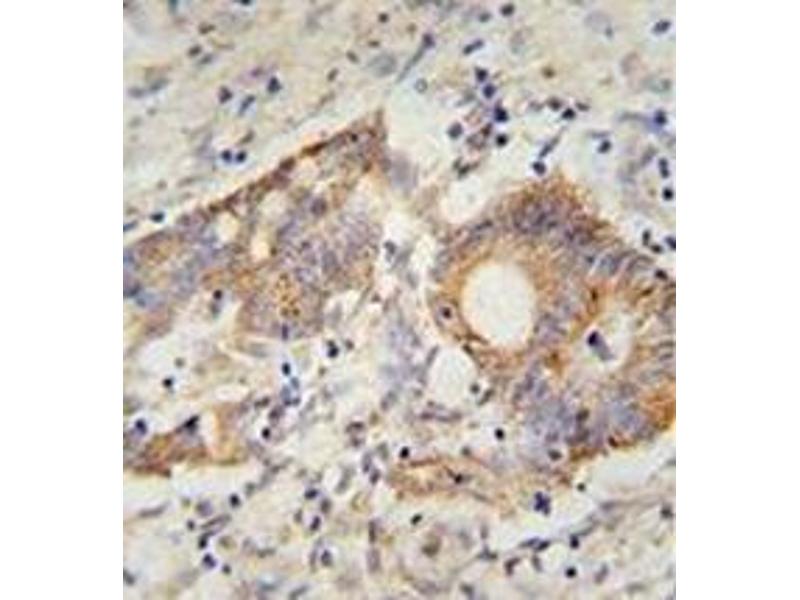
HHLA2 antibody (N-Term)

The Rabbit Polyclonal anti-HHLA2 antibody (ABIN952731) specifically detects HHLA2 in WB, FACS, IHC (p) and EIA. The antibody is reactive with Human samples.
Catalog No. ABIN952731
$846.00
Plus shipping costs $50.00
0.4 mL
Shipping to: United States
Delivery in 1 to 2 Business Days

Quick Overview for HHLA2 antibody (N-Term) (ABIN952731)

Target

See all HHLA2 Antibodies
HHLA2 (HERV-H LTR-Associating 2 (HHLA2))

Reactivity

Human

Host

  • 30
  • 13
  • 2
Rabbit

Clonality

  • 30
  • 11
  • 2
Polyclonal

Conjugate

  • 15
  • 5
  • 4
  • 4
  • 4
  • 3
  • 2
  • 1
  • 1
  • 1
  • 1
  • 1
  • 1
This HHLA2 antibody is un-conjugated

Application

  • 20
  • 15
  • 12
  • 12
  • 6
  • 4
  • 2
  • 1
  • 1
  • 1
Western Blotting (WB), Flow Cytometry (FACS), Immunohistochemistry (Paraffin-embedded Sections) (IHC (p)), Enzyme Immunoassay (EIA)
  • Binding Specificity

    • 11
    • 6
    • 4
    • 3
    • 2
    • 1
    • 1
    • 1
    AA 65-95, N-Term

    Specificity

    This antibody recognizes Human HHLA2 (N-term).

    Purification

    Protein A column, followed by peptide affinity purification

    Immunogen

    KLH conjugated synthetic peptide between 65-95 amino acids from the N-terminal region of human HHLA2

    Isotype

    Ig Fraction
  • Application Notes

    Optimal working dilution should be determined by the investigator.

    Restrictions

    For Research Use only
  • Format

    Liquid

    Concentration

    0.25 mg/mL

    Buffer

    PBS containing 0.09 % (W/V) Sodium Azide as preservative

    Preservative

    Sodium azide

    Precaution of Use

    This product contains sodium azide: a POISONOUS AND HAZARDOUS SUBSTANCE which should be handled by trained staff only.

    Handling Advice

    Avoid repeated freezing and thawing.

    Storage

    4 °C/-20 °C

    Storage Comment

    Store undiluted at 2-8 °C for one month or (in aliquots) at -20 °C for longer.
  • Target

    HHLA2 (HERV-H LTR-Associating 2 (HHLA2))

    Alternative Name

    HHLA2

    Background

    Synonyms: HERV-H LTR-associating protein 2, Human endogenous retrovirus-H long terminal repeat-associating protein 2

    Molecular Weight

    46850 Da

    Gene ID

    11148

    NCBI Accession

    NP_009003
You are here:
Chat with us!