Phone:
+1 877 302 8632
Fax:
+1 888 205 9894 (Toll-free)
E-Mail:
orders@antibodies-online.com

IMPDH1 antibody (N-Term)

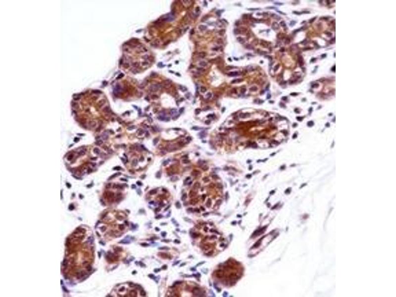
The Rabbit Polyclonal anti-IMPDH1 antibody is suitable to detect IMPDH1 in samples from Human. It has been validated for WB, IHC (p) and EIA.
Catalog No. ABIN952892
$846.00
Plus shipping costs $50.00
0.4 mL
Shipping to: United States
Delivery in 1 to 2 Business Days

Quick Overview for IMPDH1 antibody (N-Term) (ABIN952892)

Target

See all IMPDH1 Antibodies
IMPDH1 (Inosine 5'-Phosphate Dehydrogenase 1 (IMPDH1))

Reactivity

  • 57
  • 27
  • 26
  • 4
  • 4
  • 4
  • 4
  • 4
  • 3
  • 2
  • 2
  • 2
  • 2
  • 2
  • 1
  • 1
Human

Host

  • 53
  • 4
Rabbit

Clonality

  • 56
  • 1
Polyclonal

Conjugate

  • 24
  • 4
  • 4
  • 4
  • 2
  • 2
  • 1
  • 1
  • 1
  • 1
  • 1
  • 1
  • 1
  • 1
  • 1
  • 1
  • 1
  • 1
  • 1
  • 1
  • 1
  • 1
  • 1
This IMPDH1 antibody is un-conjugated

Application

  • 46
  • 23
  • 22
  • 13
  • 13
  • 13
  • 8
  • 7
  • 3
  • 1
  • 1
Western Blotting (WB), Immunohistochemistry (Paraffin-embedded Sections) (IHC (p)), Enzyme Immunoassay (EIA)
  • Binding Specificity

    • 17
    • 9
    • 8
    • 4
    • 4
    • 3
    • 3
    • 1
    • 1
    • 1
    • 1
    • 1
    • 1
    • 1
    • 1
    AA 83-113, N-Term

    Specificity

    This antibody recognizes Human IMPDH1 / IMPD1 (N-term).

    Purification

    Protein A column, followed by peptide affinity purification

    Immunogen

    KLH conjugated synthetic peptide between 83-113 amino acids from the N-terminal region of Human IMPDH1 / IMPD1

    Isotype

    Ig Fraction
  • Application Notes

    Optimal working dilution should be determined by the investigator.

    Restrictions

    For Research Use only
  • Format

    Liquid

    Concentration

    0.25 mg/mL

    Buffer

    PBS containing 0.09 % (W/V) Sodium Azide as preservative

    Preservative

    Sodium azide

    Precaution of Use

    This product contains sodium azide: a POISONOUS AND HAZARDOUS SUBSTANCE which should be handled by trained staff only.

    Handling Advice

    Avoid repeated freezing and thawing.

    Storage

    4 °C/-20 °C

    Storage Comment

    Store undiluted at 2-8 °C for one month or (in aliquots) at -20 °C for longer.
  • Target

    IMPDH1 (Inosine 5'-Phosphate Dehydrogenase 1 (IMPDH1))

    Alternative Name

    IMPDH1 / IMPD1

    Background

    The protein encoded by this gene acts as a homotetramer to regulate cell growth. The encoded protein is an enzyme that catalyzes the synthesis of xanthine monophosphate (XMP) from inosine-5'-monophosphate (IMP). This is the rate-limiting step in the de novo synthesis of guanine nucleotides. Defects in this gene are a cause of retinitis pigmentosa type 10 (RP10). Several transcript variants encoding different isoforms have been found for this gene.Synonyms: IMP dehydrogenase 1, IMPD 1, IMPDH 1, IMPDH-1, IMPDH-I, Inosine-5'-monophosphate dehydrogenase 1

    Molecular Weight

    55406 Da

    Gene ID

    3614

    NCBI Accession

    NP_001136045

    Pathways

    Ribonucleoside Biosynthetic Process
You are here:
Chat with us!