Phone:
+1 877 302 8632
Fax:
+1 888 205 9894 (Toll-free)
E-Mail:
orders@antibodies-online.com

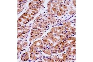
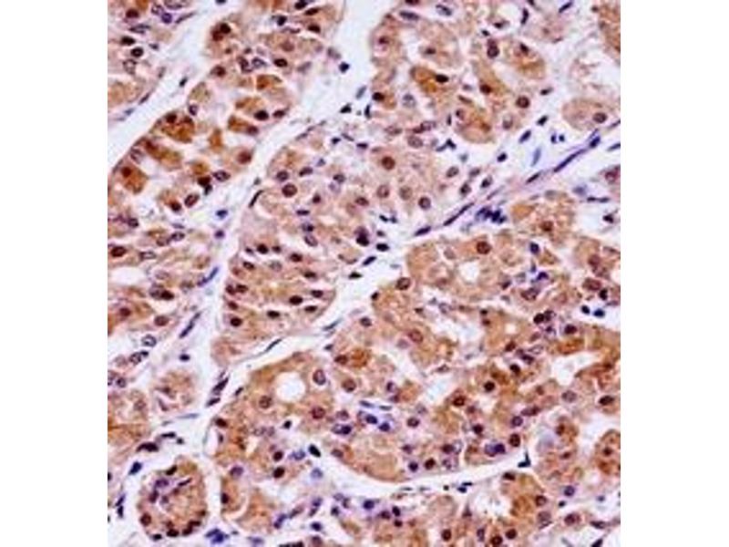
Kallikrein 15 antibody (Middle Region)

The Rabbit Polyclonal anti-Kallikrein 15 antibody is suitable to detect Kallikrein 15 in samples from Human. It has been validated for WB, IHC (p) and EIA.
Catalog No. ABIN953102
$846.00
Plus shipping costs $50.00
0.4 mL
Shipping to: United States
Delivery in 1 to 2 Business Days

Quick Overview for Kallikrein 15 antibody (Middle Region) (ABIN953102)

Target

See all Kallikrein 15 (KLK15) Antibodies
Kallikrein 15 (KLK15) (Kallikrein-Related Peptidase 15 (KLK15))

Reactivity

  • 36
  • 2
  • 1
Human

Host

  • 33
  • 2
  • 2
Rabbit

Clonality

  • 36
  • 1
Polyclonal

Conjugate

  • 19
  • 3
  • 2
  • 2
  • 2
  • 2
  • 1
  • 1
  • 1
  • 1
  • 1
  • 1
  • 1
This Kallikrein 15 antibody is un-conjugated

Application

  • 25
  • 16
  • 14
  • 5
  • 4
  • 3
  • 2
  • 2
  • 2
  • 2
  • 1
Western Blotting (WB), Immunohistochemistry (Paraffin-embedded Sections) (IHC (p)), Enzyme Immunoassay (EIA)
  • Binding Specificity

    • 7
    • 6
    • 4
    • 3
    • 3
    • 3
    • 2
    • 1
    • 1
    • 1
    • 1
    AA 79-106, Middle Region

    Specificity

    This antibody recognizes Human KLK15 / Kallikrein-15 (Center).

    Purification

    Protein A column, followed by peptide affinity purification

    Immunogen

    KLH conjugated synthetic peptide between 79-106 amino acids from the Central region of Human KLK15 / Kallikrein-15

    Isotype

    Ig Fraction
  • Application Notes

    Optimal working dilution should be determined by the investigator.

    Restrictions

    For Research Use only
  • Format

    Liquid

    Concentration

    0.25 mg/mL

    Buffer

    PBS containing 0.09 % (W/V) Sodium Azide as preservative

    Preservative

    Sodium azide

    Precaution of Use

    This product contains sodium azide: a POISONOUS AND HAZARDOUS SUBSTANCE which should be handled by trained staff only.

    Handling Advice

    Avoid repeated freezing and thawing.

    Storage

    4 °C/-20 °C

    Storage Comment

    Store undiluted at 2-8 °C for one month or (in aliquots) at -20 °C for longer.
  • Target

    Kallikrein 15 (KLK15) (Kallikrein-Related Peptidase 15 (KLK15))

    Alternative Name

    KLK15 / Kallikrein-15

    Background

    Kallikreins are a subgroup of serine proteases having diverse physiological functions. Growing evidence suggests that many kallikreins are implicated in carcinogenesis and some have potential as novel cancer and other disease biomarkers. This gene is one of the fifteen kallikrein subfamily members located in a cluster on chromosome 19. In prostate cancer, this gene has increased expression, which indicates its possible use as a diagnostic or prognostic marker for prostate cancer. The gene contains multiple polyadenylation sites and alternative splicing results in multiple transcript variants encoding distinct isoforms.Synonyms: ACO protease

    Molecular Weight

    18kd

    Gene ID

    55554

    NCBI Accession

    NP_059979

    Pathways

    Complement System
You are here:
Chat with us!