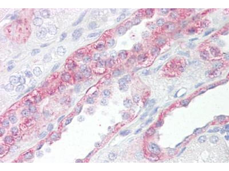
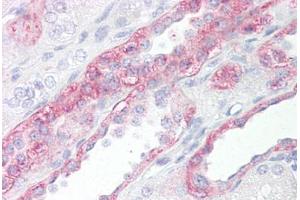
FABP7 antibody (AA 80-130)
Quick Overview for FABP7 antibody (AA 80-130) (ABIN960166)
Target
See all FABP7 AntibodiesReactivity
Host
Clonality
Conjugate
Application
-
-
Binding Specificity
- AA 80-130
-
Specificity
- Human FABP7 / BLBP.
-
Purification
- Protein A purified
-
Immunogen
-
A portion of amino acids 80-130 of human FABP7.
Type of Immunogen: Protein fragment
-
-
-
-
Application Notes
- Approved: IHC, IHC-P (5 - 10 μg/mL), WB (2 - 4 μg/mL)
-
Comment
-
Target Species of Antibody: Human
-
Restrictions
- For Research Use only
-
-
-
Format
- Liquid
-
Concentration
- Lot specific
-
Buffer
- PBS, 0.05 % BSA, 0.05 % sodium azide
-
Preservative
- Sodium azide
-
Precaution of Use
- This product contains Sodium azide: a POISONOUS AND HAZARDOUS SUBSTANCE which should be handled by trained staff only.
-
Storage
- 4 °C,-20 °C
-
Storage Comment
- Store at 4°C for short term applications. For long term storage, aliquot and store at -20°C.
-
-
- FABP7 (Fatty Acid Binding Protein 7, Brain (FABP7))
-
Alternative Name
- FABP7 / BLBP / MRG
-
Background
-
Name/Gene ID: FABP7
Synonyms: FABP7, B-FABP, BLBP, Brain lipid binding protein, Brain lipid-binding protein, FABPB, Fatty acid-binding protein 7, MRG -
Gene ID
- 2173
-
UniProt
- O15540
Target
-