Phone:
+1 877 302 8632
Fax:
+1 888 205 9894 (Toll-free)
E-Mail:
orders@antibodies-online.com

XIAP antibody (AA 268-426)

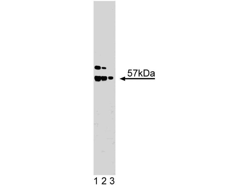
Cited in 6+ publications. The Mouse Monoclonal anti-XIAP antibody (Clone 48-hILP-XIAP) (ABIN968163) specifically detects XIAP in WB, IHC, IF and IP. The antibody is reactive with Human, Mouse, Rat and Frog samples.
Catalog No. ABIN968163
Shipping to: United States
Contact our Customer Service for availability and price in your country. Contact Info

Quick Overview for XIAP antibody (AA 268-426) (ABIN968163)

Target

See all XIAP Antibodies
XIAP (X-Linked Inhibitor of Apoptosis (XIAP))

Reactivity

  • 84
  • 45
  • 31
  • 3
  • 2
  • 1
Human, Mouse, Rat, Frog

Host

  • 74
  • 14
  • 1
Mouse

Clonality

  • 74
  • 13
Monoclonal

Conjugate

  • 57
  • 5
  • 4
  • 3
  • 2
  • 1
  • 1
  • 1
  • 1
  • 1
  • 1
  • 1
  • 1
  • 1
  • 1
  • 1
  • 1
  • 1
  • 1
  • 1
  • 1
  • 1
  • 1
This XIAP antibody is un-conjugated

Application

  • 74
  • 36
  • 27
  • 18
  • 16
  • 14
  • 13
  • 13
  • 9
  • 6
  • 3
  • 2
  • 2
Western Blotting (WB), Immunohistochemistry (IHC), Immunofluorescence (IF), Immunoprecipitation (IP)

Clone

48-hILP-XIAP
  • Binding Specificity

    • 16
    • 12
    • 8
    • 6
    • 4
    • 3
    • 2
    • 2
    • 2
    • 2
    • 2
    • 1
    • 1
    • 1
    • 1
    • 1
    • 1
    • 1
    • 1
    • 1
    • 1
    AA 268-426

    Cross-Reactivity

    Rat (Rattus), Mouse (Murine), Frog

    Characteristics

    1. Since applications vary, each investigator should titrate the reagent to obtain optimal results.
    2. Please refer to us for technical protocols.
    3. Source of all serum proteins is from USDA inspected abattoirs located in the United States.
    4. Caution: Sodium azide yields highly toxic hydrazoic acid under acidic conditions. Dilute azide compounds in running water before discarding to avoid accumulation of potentially explosive deposits in plumbing.

    Purification

    The monoclonal antibody was purified from tissue culture supernatant or ascites by affinity chromatography.

    Immunogen

    Human hILP aa. 268-426

    Isotype

    IgG1
  • Comment

    Related Products: ABIN968537, ABIN967389

    Restrictions

    For Research Use only
  • Format

    Liquid

    Concentration

    250 μg/mL

    Buffer

    Aqueous buffered solution containing BSA, glycerol, and ≤0.09 % sodium azide.

    Preservative

    Sodium azide

    Precaution of Use

    This product contains Sodium azide: a POISONOUS AND HAZARDOUS SUBSTANCE which should be handled by trained staff only.

    Storage

    -20 °C

    Storage Comment

    Store undiluted at -20° C.
  • Martin, Liu, Chen, Price, Pan, Swaby, Golden: "Motor neuron degeneration in amyotrophic lateral sclerosis mutant superoxide dismutase-1 transgenic mice: mechanisms of mitochondriopathy and cell death." in: The Journal of comparative neurology, Vol. 500, Issue 1, pp. 20-46, (2006) (PubMed).

    Deng, Lin, Wu: "TRAIL-induced apoptosis requires Bax-dependent mitochondrial release of Smac/DIABLO." in: Genes & development, Vol. 16, Issue 1, pp. 33-45, (2002) (PubMed).

    Martins, Iaccarino, Tenev, Gschmeissner, Totty, Lemoine, Savopoulos, Gray, Creasy, Dingwall, Downward: "The serine protease Omi/HtrA2 regulates apoptosis by binding XIAP through a reaper-like motif." in: The Journal of biological chemistry, Vol. 277, Issue 1, pp. 439-44, (2002) (PubMed).

    Fulda, Meyer, Debatin: "Metabolic inhibitors sensitize for CD95 (APO-1/Fas)-induced apoptosis by down-regulating Fas-associated death domain-like interleukin 1-converting enzyme inhibitory protein expression." in: Cancer research, Vol. 60, Issue 14, pp. 3947-56, (2000) (PubMed).

    Tamm, Kornblau, Segall, Krajewski, Welsh, Kitada, Scudiero, Tudor, Qui, Monks, Andreeff, Reed: "Expression and prognostic significance of IAP-family genes in human cancers and myeloid leukemias." in: Clinical cancer research : an official journal of the American Association for Cancer Research, Vol. 6, Issue 5, pp. 1796-803, (2000) (PubMed).

    Duckett, Nava, Gedrich, Clem, Van Dongen, Gilfillan, Shiels, Hardwick, Thompson: "A conserved family of cellular genes related to the baculovirus iap gene and encoding apoptosis inhibitors." in: The EMBO journal, Vol. 15, Issue 11, pp. 2685-94, (1996) (PubMed).

  • Target

    XIAP (X-Linked Inhibitor of Apoptosis (XIAP))

    Alternative Name

    hILP

    Background

    Apoptosis is a genetically programmed, selective process of cell death that occurs during normal cell differentiation and development of multicellular organisms. Viruses depend on the biosynthetic machinery of their host cell for the production of progeny and survival. Therefore, many viruses encode proteins that protect the cell from apoptosis. hILP (human IAP-like protein) is a human homologue of the viral IAP (Inhibitor of Apoptosis Protein). hILP is a widely expressed cytoplasmic protein of 497 amino acids with three BIR (Baculovirus IAP repeats) domains and a C-terminal RING finger domain. hILP-transfected cells are protected against the apoptotic effects of Sindbis virus infection and ICE (interleukin-1beta converting enzyme) expression. This product is sold under license from Aegera Therapeutics, Inc. This antibody is routinely tested by western blot analysis.
    Synonyms: hILP

    Molecular Weight

    57 kDa

    Pathways

    Apoptosis, Caspase Cascade in Apoptosis, Transition Metal Ion Homeostasis
You are here:
Chat with us!