Phone:
+1 877 302 8632
Fax:
+1 888 205 9894 (Toll-free)
E-Mail:
orders@antibodies-online.com

CD1a antibody

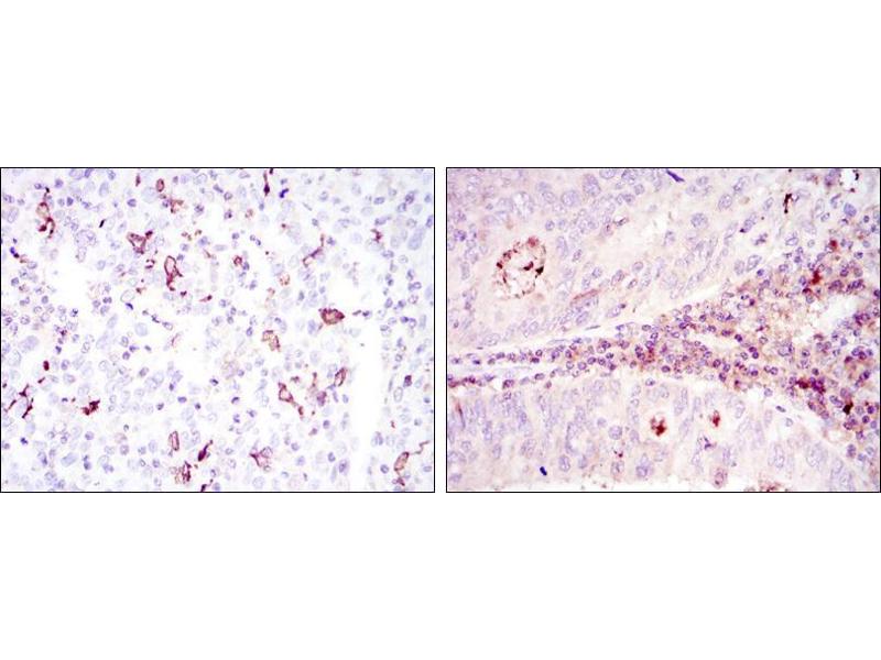
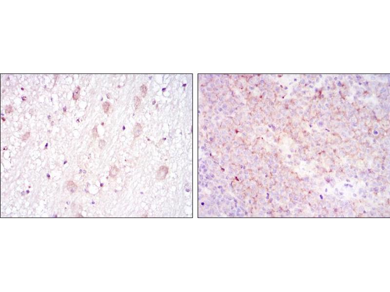
There are 2+ publications for this product available. The Mouse Monoclonal anti-CD1a antibody is suitable to detect CD1a in samples from Human. It has been validated for IHC, WB, ELISA and ICC.
Catalog No. ABIN969017
$473.33
Plus shipping costs $50.00
100 μL
Shipping to: United States
Delivery in 3 to 5 Business Days

Quick Overview for CD1a antibody (ABIN969017)

Target

See all CD1a Antibodies
CD1a

Reactivity

  • 225
  • 23
  • 10
  • 6
  • 5
  • 5
  • 4
  • 2
  • 1
  • 1
  • 1
  • 1
Human

Host

  • 147
  • 82
Mouse

Clonality

  • 181
  • 46
  • 2
Monoclonal

Conjugate

  • 90
  • 14
  • 13
  • 13
  • 9
  • 8
  • 8
  • 8
  • 8
  • 8
  • 8
  • 8
  • 3
  • 3
  • 3
  • 3
  • 3
  • 3
  • 2
  • 2
  • 1
  • 1
  • 1
  • 1
  • 1
  • 1
  • 1
  • 1
  • 1
  • 1
  • 1
  • 1
This CD1a antibody is un-conjugated

Application

  • 116
  • 78
  • 67
  • 44
  • 28
  • 25
  • 21
  • 11
  • 10
  • 10
  • 8
  • 5
  • 2
  • 1
  • 1
  • 1
  • 1
  • 1
  • 1
Immunohistochemistry (IHC), Western Blotting (WB), ELISA, Immunocytochemistry (ICC)

Clone

7A7
  • Purpose

    CD1A Antibody

    Purification

    Ascitic fluid

    Immunogen

    Purified recombinant fragment of human CD1A expressed in E. Coli.

    Isotype

    IgG1
  • Application Notes

    ELISA: 1/10000

    ICC: 1/200 - 1/1000

    Restrictions

    For Research Use only
  • Format

    Liquid

    Buffer

    Ascitic fluid containing 0.03 % sodium azide.

    Preservative

    Sodium azide

    Precaution of Use

    This product contains Sodium azide: a POISONOUS AND HAZARDOUS SUBSTANCE which should be handled by trained staff only.

    Storage

    4 °C,-20 °C

    Storage Comment

    Store at 4°C short term. Aliquot and store at -20°C long term. Avoid freeze/thaw cycles.
  • Adachi, Horie, Kitamura, Nakamura, Taniguchi, Miwa, Fujioka, Nishimura, Hayashi: "CD1a expression in PEComas." in: Pathology international, Vol. 58, Issue 3, pp. 169-73, (2008) (PubMed).

    Kuijf, Geleijns, Ennaji, van Rijs, van Doorn, Jacobs: "Susceptibility to Guillain-Barré syndrome is not associated with CD1A and CD1E gene polymorphisms." in: Journal of neuroimmunology, Vol. 205, Issue 1-2, pp. 110-2, (2008) (PubMed).

  • Target

    CD1a

    Alternative Name

    CD1A

    Background

    CD1a is a non polymorphic MHC Class 1 related cell surface glycoprotein, expressed in association with Beta 2 microglobulin. CD1a is expressed by cortical thymocytes, Langerhan's cells and by interdigitating cells. CD1a is also expressed by some malignancies of T cell lineage and in histiocytosis X. Tissue specificity: Expressed on cortical thymocytes, epidermal Langerhans cells, dendritic cells, on certain T-cell leukemias, and in various other tissues.

    Molecular Weight

    37 kDa

    UniProt

    P06126

    Pathways

    Regulation of Leukocyte Mediated Immunity, Positive Regulation of Immune Effector Process
You are here:
Chat with us!