Phone:
+1 877 302 8632
Fax:
+1 888 205 9894 (Toll-free)
E-Mail:
orders@antibodies-online.com

EEF2 antibody

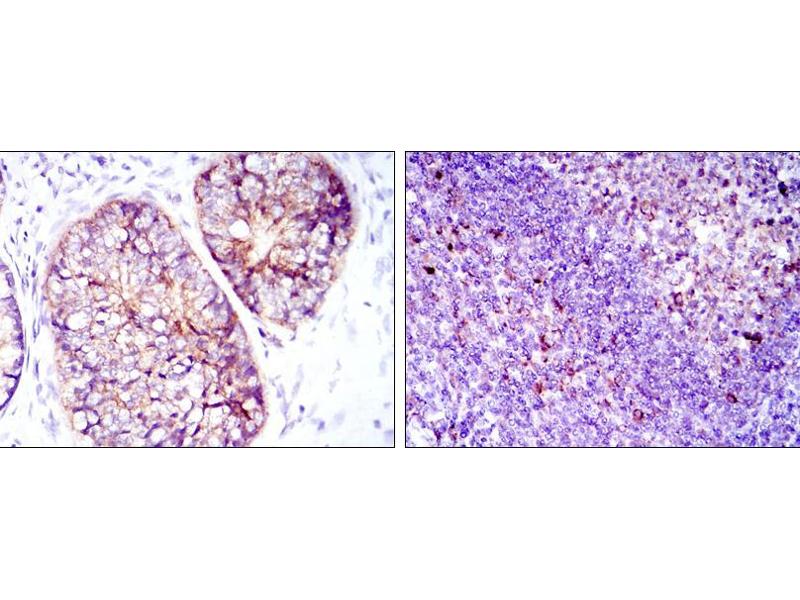
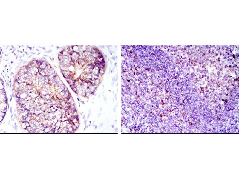
Cited in 2+ publications. The Mouse Monoclonal anti-EEF2 antibody (Clone 5B6) (ABIN969090) specifically detects EEF2 in WB, ELISA, IHC and ICC. The antibody is reactive with Human samples.
Catalog No. ABIN969090
$548.16
Plus shipping costs $50.00
100 μL
Shipping to: United States
Delivery in 3 to 5 Business Days

Quick Overview for EEF2 antibody (ABIN969090)

Target

See all EEF2 Antibodies
EEF2 (Eukaryotic Translation Elongation Factor 2 (EEF2))

Reactivity

  • 96
  • 59
  • 41
  • 6
  • 6
  • 5
  • 5
  • 3
  • 2
  • 2
  • 2
  • 2
  • 2
  • 2
  • 1
  • 1
Human

Host

  • 103
  • 9
Mouse

Clonality

  • 90
  • 22
Monoclonal

Conjugate

  • 52
  • 7
  • 5
  • 3
  • 3
  • 3
  • 3
  • 3
  • 3
  • 3
  • 2
  • 2
  • 2
  • 2
  • 2
  • 2
  • 2
  • 2
  • 2
  • 2
  • 2
  • 1
  • 1
  • 1
  • 1
  • 1
This EEF2 antibody is un-conjugated

Application

  • 86
  • 41
  • 33
  • 32
  • 29
  • 27
  • 22
  • 14
  • 10
  • 7
  • 4
  • 2
  • 2
  • 1
  • 1
  • 1
  • 1
Western Blotting (WB), ELISA, Immunohistochemistry (IHC), Immunocytochemistry (ICC)

Clone

5B6
  • Purpose

    EEF2 Antibody

    Purification

    Ascitic fluid

    Immunogen

    Purified recombinant fragment of human EEF2 expressed in E. Coli.

    Isotype

    IgG1
  • Application Notes

    ELISA: 1/10000

    ICC: 1/200 - 1/1000

    Restrictions

    For Research Use only
  • Format

    Liquid

    Buffer

    Ascitic fluid containing 0.03 % sodium azide.

    Preservative

    Sodium azide

    Precaution of Use

    This product contains Sodium azide: a POISONOUS AND HAZARDOUS SUBSTANCE which should be handled by trained staff only.

    Storage

    4 °C,-20 °C

    Storage Comment

    Store at 4°C short term. Aliquot and store at -20°C long term. Avoid freeze/thaw cycles.
  • Rose, Bisiani, Vistisen, Kiens, Richter: "Skeletal muscle eEF2 and 4EBP1 phosphorylation during endurance exercise is dependent on intensity and muscle fiber type." in: American journal of physiology. Regulatory, integrative and comparative physiology, Vol. 296, Issue 2, pp. R326-33, (2009) (PubMed).

    Maggi, Kuchenruether, Dadey, Schwope, Grisendi, Townsend, Pandolfi, Weber: "Nucleophosmin serves as a rate-limiting nuclear export chaperone for the Mammalian ribosome." in: Molecular and cellular biology, Vol. 28, Issue 23, pp. 7050-65, (2008) (PubMed).

  • Target

    EEF2 (Eukaryotic Translation Elongation Factor 2 (EEF2))

    Alternative Name

    EEF2

    Background

    This gene encodes a member of the GTP-binding translation elongation factor family. This protein is an essential factor for protein synthesis. It promotes the GTP-dependent translocation of the nascent protein chain from the A-site to the P-site of the ribosome. This protein is completely inactivated by EF-2 kinase phosporylation. (provided by RefSeq)

    Molecular Weight

    95 kDa

    Gene ID

    1938

    UniProt

    P13639

    Pathways

    AMPK Signaling
You are here:
Chat with us!