Phone:
+1 877 302 8632
Fax:
+1 888 205 9894 (Toll-free)
E-Mail:
orders@antibodies-online.com

KLHL11 antibody

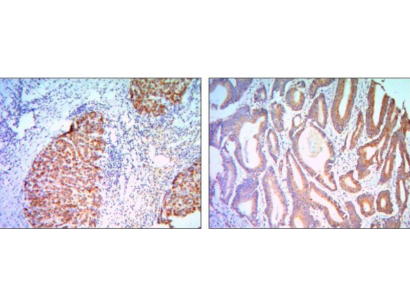
The Mouse Monoclonal anti-KLHL11 antibody (Clone 1B9C1) (ABIN969243) specifically detects KLHL11 in ELISA, IHC and ICC. The antibody is reactive with Human samples.
Catalog No. ABIN969243
$430.40
Plus shipping costs $50.00
100 μL
Shipping to: United States
Delivery in 3 to 5 Business Days

Quick Overview for KLHL11 antibody (ABIN969243)

Target

KLHL11 (Kelch-Like 11 (KLHL11))

Reactivity

Human

Host

  • 10
  • 1
Mouse

Clonality

  • 9
  • 2
Monoclonal

Conjugate

  • 4
  • 1
  • 1
  • 1
  • 1
  • 1
  • 1
  • 1
This KLHL11 antibody is un-conjugated

Application

  • 4
  • 2
  • 2
  • 1
  • 1
ELISA, Immunohistochemistry (IHC), Immunocytochemistry (ICC)

Clone

1B9C1
  • Purpose

    KLHL11 Antibody

    Purification

    Ascitic fluid

    Immunogen

    Purified recombinant fragment of human KLHL11 expressed in E. Coli.

    Isotype

    IgG1
  • Application Notes

    ELISA: 1/10000

    ICC: 1/200 - 1/1000

    Restrictions

    For Research Use only
  • Format

    Liquid

    Buffer

    Ascitic fluid containing 0.03 % sodium azide.

    Preservative

    Sodium azide

    Precaution of Use

    This product contains Sodium azide: a POISONOUS AND HAZARDOUS SUBSTANCE which should be handled by trained staff only.

    Storage

    4 °C,-20 °C

    Storage Comment

    Store at 4°C short term. Aliquot and store at -20°C long term. Avoid freeze/thaw cycles.
  • Target

    KLHL11 (Kelch-Like 11 (KLHL11))

    Alternative Name

    KLHL11

    Background

    Kelch-like protein 11, Subcellular location Secreted.

    Molecular Weight

    80 kDa

    Gene ID

    55175

    UniProt

    Q9NVR0
You are here:
Chat with us!