Phone:
+1 877 302 8632
Fax:
+1 888 205 9894 (Toll-free)
E-Mail:
orders@antibodies-online.com

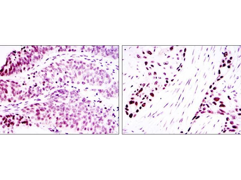
p63alpha antibody

This Mouse Monoclonal antibody specifically detects p63alpha in WB, IHC and ELISA. It exhibits reactivity toward Human, Monkey, Mouse and Rat. It has been mentioned in 2+ publications
Catalog No. ABIN969337
$473.33
Plus shipping costs $50.00
100 μL
Shipping to: United States
Delivery in 3 to 5 Business Days

Quick Overview for p63alpha antibody (ABIN969337)

Target

p63alpha

Reactivity

Human, Monkey, Mouse, Rat

Host

  • 1
Mouse

Clonality

  • 1
Monoclonal

Conjugate

  • 1
Un-conjugated

Application

Western Blotting (WB), Immunohistochemistry (IHC), ELISA

Clone

4E5
  • Purpose

    p63a Antibody

    Purification

    Ascitic fluid

    Immunogen

    Synthesized peptide of human p63alpha.

    Isotype

    IgG1
  • Application Notes

    ELISA: 1/10000

    Restrictions

    For Research Use only
  • Format

    Liquid

    Buffer

    Ascitic fluid containing 0.03 % sodium azide.

    Preservative

    Sodium azide

    Precaution of Use

    This product contains Sodium azide: a POISONOUS AND HAZARDOUS SUBSTANCE which should be handled by trained staff only.

    Storage

    4 °C,-20 °C

    Storage Comment

    Store at 4°C short term. Aliquot and store at -20°C long term. Avoid freeze/thaw cycles.
  • King, Ponnamperuma, Allen, Lu, Duggal, Chen, Van Waes, Weinberg: "The p53 homologue DeltaNp63alpha interacts with the nuclear factor-kappaB pathway to modulate epithelial cell growth." in: Cancer research, Vol. 68, Issue 13, pp. 5122-31, (2008) (PubMed).

    Valenzise, Arrigo, De Luca, Privitera, Frigiola, Carando, Garelli, Silengo: "R298Q mutation of p63 gene in autosomal dominant ectodermal dysplasia associated with arrhythmogenic right ventricular cardiomyopathy." in: European journal of medical genetics, Vol. 51, Issue 5, pp. 497-500, (2008) (PubMed).

  • Target

    p63alpha

    Alternative Name

    p63a

    Background

    The p63 gene is a homologue of the p53 tumor suppressor gene. Like p53, p63 contains a transactivation (TA) domain induce the transcription of target genes, a DNA binding domain, and an oligomerization domain (OD), used to form tetramers. In contrast to p53, the p63 gene encodes for at least six major isotypes. Three isotypes (TAp63a, TAp63

    Molecular Weight

    51 kDa

    Gene ID

    8626

    UniProt

    Q9H3D4
You are here:
Chat with us!