Phone:
+1 877 302 8632
Fax:
+1 888 205 9894 (Toll-free)
E-Mail:
orders@antibodies-online.com

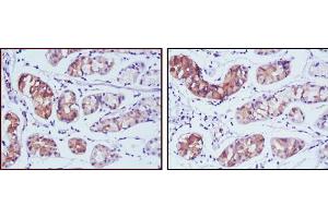
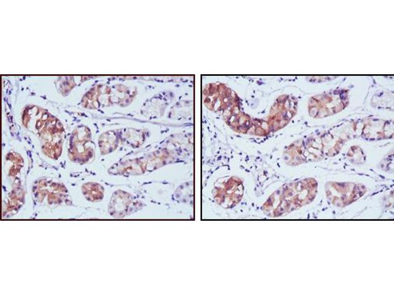
PGA5 antibody

The Mouse Monoclonal anti-PGA5 antibody is suitable to detect PGA5 in samples from Human. It has been validated for WB, ELISA and IHC.
Catalog No. ABIN969350
$430.40
Plus shipping costs $50.00
100 μL
Shipping to: United States
Delivery in 3 to 5 Business Days

Quick Overview for PGA5 antibody (ABIN969350)

Target

See all PGA5 Antibodies
PGA5 (Pepsinogen 5, Group I (Pepsinogen A) (PGA5))

Reactivity

  • 19
  • 2
  • 2
Human

Host

  • 15
  • 4
Mouse

Clonality

  • 16
  • 3
Monoclonal

Conjugate

  • 12
  • 1
  • 1
  • 1
  • 1
  • 1
  • 1
  • 1
This PGA5 antibody is un-conjugated

Application

  • 12
  • 6
  • 2
  • 2
Western Blotting (WB), ELISA, Immunohistochemistry (IHC)

Clone

2C1
  • Purpose

    PGA5 Antibody

    Purification

    Ascitic fluid

    Immunogen

    Purified recombinant fragment of human PGA5 expressed in E. Coli.

    Isotype

    IgG1
  • Application Notes

    ELISA: 1/10000

    Restrictions

    For Research Use only
  • Format

    Liquid

    Buffer

    Ascitic fluid containing 0.03 % sodium azide.

    Preservative

    Sodium azide

    Precaution of Use

    This product contains Sodium azide: a POISONOUS AND HAZARDOUS SUBSTANCE which should be handled by trained staff only.

    Storage

    4 °C,-20 °C

    Storage Comment

    Store at 4°C short term. Aliquot and store at -20°C long term. Avoid freeze/thaw cycles.
  • Target

    PGA5 (Pepsinogen 5, Group I (Pepsinogen A) (PGA5))

    Alternative Name

    PGA5

    Background

    PGA5: Pepsinogen 5, group I (pepsinogen A). Pepsinogens are the inactive precursors of pepsin, the major acid protease found in the stomach. Pepsin is one of the main proteolytic enzymes secreted by the gastric mucosa. Pepsin consists of a single polypeptide chain and arises from its precursor, pepsinogen, by removal of a 41 amino acid segment from the N-terminus. Pepsinogen is synthesized in the stomach lining, and hydrochloric acid, also produced by the gastric mucosa, is necessary to convert the inactive enzyme and to maintain the optimum acidity ( pH 1-3) for pepsin function. Pepsin is particularly effective in cleaving peptide bonds involving aromatic amino acids. Pepsin shows extremely broad specificity, although bonds involving phenylalanine and leucine are preferred, many others are also cleaved to some extent. PGA5 is a member of the subfamily A1 within the pepsin family and is the predominant endopeptidase in the gastric juice of vertebrates. PGA5 is inhibited by ovUS-1, a uterine serpin.

    Molecular Weight

    42 kDa

    Gene ID

    5222

    UniProt

    P0DJD9
You are here:
Chat with us!