Phone:
+1 877 302 8632
Fax:
+1 888 205 9894 (Toll-free)
E-Mail:
orders@antibodies-online.com

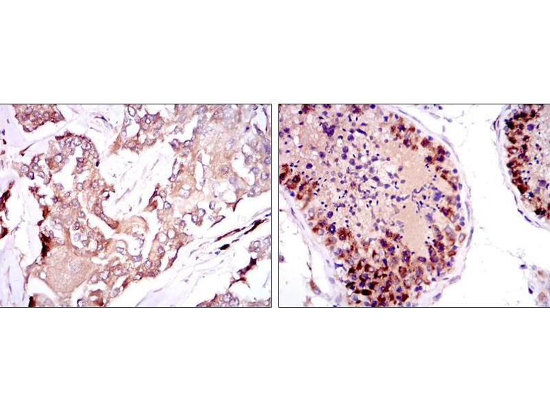
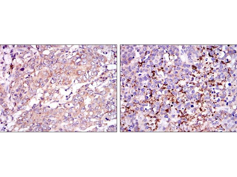
SMN1 antibody

Cited in 1 publication. The Mouse Monoclonal anti-SMN1 antibody (Clone 5H1) (ABIN969408) specifically detects SMN1 in WB, ELISA, IHC and ICC. The antibody is reactive with Human and Monkey samples.
Catalog No. ABIN969408
$473.33
Plus shipping costs $50.00
100 μL
Shipping to: United States
Delivery in 3 to 5 Business Days

Quick Overview for SMN1 antibody (ABIN969408)

Target

See all SMN1 Antibodies
SMN1 (Survival of Motor Neuron 1, Telomeric (SMN1))

Reactivity

  • 71
  • 44
  • 26
  • 6
  • 5
  • 3
  • 3
  • 2
  • 2
  • 1
  • 1
  • 1
Human, Monkey

Host

  • 75
  • 11
Mouse

Clonality

  • 55
  • 31
Monoclonal

Conjugate

  • 40
  • 6
  • 4
  • 3
  • 3
  • 3
  • 3
  • 3
  • 3
  • 3
  • 1
  • 1
  • 1
  • 1
  • 1
  • 1
  • 1
  • 1
  • 1
  • 1
  • 1
  • 1
  • 1
  • 1
  • 1
This SMN1 antibody is un-conjugated

Application

  • 66
  • 26
  • 23
  • 20
  • 13
  • 13
  • 13
  • 8
  • 7
  • 5
  • 3
  • 1
  • 1
Western Blotting (WB), ELISA, Immunohistochemistry (IHC), Immunocytochemistry (ICC)

Clone

5H1
  • Purpose

    SMN1 Antibody

    Purification

    Ascitic fluid

    Immunogen

    Purified recombinant fragment of human SMN1 expressed in E. Coli.

    Isotype

    IgG1
  • Application Notes

    ELISA: 1/10000

    ICC: 1/200 - 1/1000

    Restrictions

    For Research Use only
  • Format

    Liquid

    Buffer

    Ascitic fluid containing 0.03 % sodium azide.

    Preservative

    Sodium azide

    Precaution of Use

    This product contains Sodium azide: a POISONOUS AND HAZARDOUS SUBSTANCE which should be handled by trained staff only.

    Storage

    4 °C,-20 °C

    Storage Comment

    Store at 4°C short term. Aliquot and store at -20°C long term. Avoid freeze/thaw cycles.
  • Hendrickson, Donohoe, Akmaev, Sugarman, Labrousse, Boguslavskiy, Flynn, Rohlfs, Walker, Allitto, Sears, Scholl: "Differences in SMN1 allele frequencies among ethnic groups within North America." in: Journal of medical genetics, Vol. 46, Issue 9, pp. 641-4, (2009) (PubMed).

  • Target

    SMN1 (Survival of Motor Neuron 1, Telomeric (SMN1))

    Alternative Name

    SMN1

    Background

    This gene is part of a 500 kb inverted duplication on chromosome 5q13. This duplicated region contains at least four genes and repetitive elements which make it prone to rearrangements and deletions. The repetitiveness and complexity of the sequence have also caused difficulty in determining the organization of this genomic region. The telomeric and centromeric copies of this gene are nearly identical and encode the same protein.

    Molecular Weight

    39 kDa

    UniProt

    Q16637

    Pathways

    Ribonucleoprotein Complex Subunit Organization
You are here:
Chat with us!