Phone:
+1 877 302 8632
Fax:
+1 888 205 9894 (Toll-free)
E-Mail:
orders@antibodies-online.com

EPHA1 Antibodies

(Ephrin Type A Receptor 1 (EPHA1))

Choose one of 105 EPHA1 antibodies from our product listing based on 6 publications and 64 validation images.

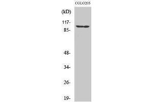
Explore reliable EPHA1 antibodies from a broad selection of renowned manufacturers. Our portfolio enables accurate EPHA1 detection across multiple species, including Human, Mouse, Rat, Pig, Rabbit, Cow, Horse, Bat, Guinea Pig, Monkey, and supports diverse research applications such as WB, ELISA, IHC, FACS, IF (cc).

Quickly find the right antibody using our search, filter, and comparison tools. Each product page provides detailed validation data, literature references, and customer feedback. Unlike comparison-only resources, you can conveniently purchase antibodies directly through our site. Choose from polyclonal, monoclonal, or recombinant EPHA1 antibodies derived from various hosts such as Rabbit, Mouse. Browse our products below and order directly to support your research with confidence.

Alternative names for EPHA1 are EPHA1, Epha1.

105 results

EPHA1 Reactivity: Mouse WB, ELISA Host: Rabbit Polyclonal unconjugated
Catalog No. ABIN3028639
$612.54
Plus shipping costs $50.00
0.4 mL (More quantities available)
Shipping to: United States
Delivery in 2 to 4 Business Days
 
EPHA1 Reactivity: Mouse WB, ELISA Host: Rabbit Polyclonal unconjugated
Catalog No. ABIN3030827
$612.54
Plus shipping costs $50.00
0.4 mL (More quantities available)
Shipping to: United States
Delivery in 2 to 4 Business Days
 
EPHA1 Reactivity: Human WB, IHC (p), EIA Host: Mouse Monoclonal 5D2 unconjugated
Catalog No. ABIN1107101
$846.00
Plus shipping costs $50.00
0.1 mL
Shipping to: United States
Delivery in 1 to 2 Business Days
 
EPHA1 Reactivity: Human WB, IHC (p), EIA Host: Rabbit Polyclonal unconjugated
Catalog No. ABIN359788
$768.00
Plus shipping costs $50.00
0.4 mL
Shipping to: United States
Delivery in 1 to 2 Business Days
 
EPHA1 Reactivity: Human FACS, LCI Host: Rabbit Polyclonal FITC
Catalog No. ABIN7237635
$854.77
Plus shipping costs $50.00
15 μL (More quantities available)
Shipping to: United States
Delivery in 11 to 14 Business Days
 
EPHA1 Reactivity: Human WB, IHC Host: Mouse Monoclonal 5D2A4-5D2A10 unconjugated
Catalog No. ABIN2464049
$680.63
Plus shipping costs $50.00
100 μg
Shipping to: United States
Delivery in 2 to 4 Business Days
 
EPHA1 Reactivity: Human, Mouse, Rat WB, IHC Host: Rabbit Polyclonal unconjugated
Catalog No. ABIN7305380
$330.77
Plus shipping costs $50.00
100 μL (More quantities available)
Shipping to: United States
Delivery in 13 to 15 Business Days
 
EPHA1 Reactivity: Human IF (cc), IF (p) Host: Rabbit Polyclonal AbBy Fluor® 750
Catalog No. ABIN5002039
$458.46
Plus shipping costs $50.00
100 μL
Shipping to: United States
Delivery in 16 to 20 Business Days
 
EPHA1 Reactivity: Human IF (cc), IF (p) Host: Rabbit Polyclonal AbBy Fluor® 680
Catalog No. ABIN5002038
$458.46
Plus shipping costs $50.00
100 μL
Shipping to: United States
Delivery in 16 to 20 Business Days
 
EPHA1 Reactivity: Human IF (cc), IF (p) Host: Rabbit Polyclonal AbBy Fluor® 488
Catalog No. ABIN1695666
$458.46
Plus shipping costs $50.00
100 μL
Shipping to: United States
Delivery in 16 to 20 Business Days
 
EPHA1 Reactivity: Human IF (cc), IF (p) Host: Rabbit Polyclonal AbBy Fluor® 555
Catalog No. ABIN1697486
$458.46
Plus shipping costs $50.00
100 μL
Shipping to: United States
Delivery in 16 to 20 Business Days
 
EPHA1 Reactivity: Human IF (cc), IF (p) Host: Rabbit Polyclonal AbBy Fluor® 350
Catalog No. ABIN1693843
$458.46
Plus shipping costs $50.00
100 μL
Shipping to: United States
Delivery in 16 to 20 Business Days
 
EPHA1 Reactivity: Human ELISA, IHC (p), ICC, IF (cc), IF (p), IHC (fro) Host: Rabbit Polyclonal unconjugated
Catalog No. ABIN1714613
$384.62
Plus shipping costs $50.00
100 μL
Shipping to: United States
Delivery in 4 to 7 Business Days
 
EPHA1 Reactivity: Human ELISA, IHC (p), IHC (fro) Host: Rabbit Polyclonal HRP
Catalog No. ABIN1712128
$470.46
Plus shipping costs $50.00
100 μL
Shipping to: United States
Delivery in 16 to 20 Business Days
 
EPHA1 Reactivity: Human ELISA, IHC (p), IHC (fro) Host: Rabbit Polyclonal Biotin
Catalog No. ABIN1701111
$451.08
Plus shipping costs $50.00
100 μL
Shipping to: United States
Delivery in 16 to 20 Business Days
 
EPHA1 Reactivity: Human IF (cc), IF (p) Host: Rabbit Polyclonal AbBy Fluor® 647
Catalog No. ABIN1699297
$458.46
Plus shipping costs $50.00
100 μL
Shipping to: United States
Delivery in 16 to 20 Business Days
 
EPHA1 Reactivity: Human IF (cc), IF (p) Host: Rabbit Polyclonal Cy3
Catalog No. ABIN1702923
$470.46
Plus shipping costs $50.00
100 μL
Shipping to: United States
Delivery in 16 to 20 Business Days
 
EPHA1 Reactivity: Human IF (cc), IF (p) Host: Rabbit Polyclonal Cy7
Catalog No. ABIN1708503
$470.46
Plus shipping costs $50.00
100 μL
Shipping to: United States
Delivery in 16 to 20 Business Days
 
EPHA1 Reactivity: Human IF (cc), IF (p) Host: Rabbit Polyclonal FITC
Catalog No. ABIN1710314
$470.46
Plus shipping costs $50.00
100 μL
Shipping to: United States
Delivery in 16 to 20 Business Days
 
EPHA1 Reactivity: Human IF (cc), IF (p) Host: Rabbit Polyclonal Cy5
Catalog No. ABIN1704734
$470.46
Plus shipping costs $50.00
100 μL
Shipping to: United States
Delivery in 16 to 20 Business Days
 
  • Type Primary
    • Primary
  • Application
    • Western Blotting (WB)
    • ELISA
    • Immunohistochemistry (IHC)
    • Flow Cytometry (FACS)
    • Immunofluorescence (Cultured Cells) (IF (cc))
    • Immunofluorescence (Paraffin-embedded Sections) (IF (p))
    • Immunohistochemistry (Paraffin-embedded Sections) (IHC (p))
    • Immunofluorescence (IF)
    • Immunoprecipitation (IP)
    • Immunocytochemistry (ICC)
    • Immunohistochemistry (Frozen Sections) (IHC (fro))
    • Enzyme Immunoassay (EIA)
    • Live Cell Imaging (LCI)
    • Immunochromatography (IC)
    • Immunofluorescence (fixed cells) (IF/ICC)
  • Reactivity
    • Human
    • Mouse
    • Rat
    • Pig
    • Rabbit
    • Cow
    • Horse
    • Bat
    • Guinea Pig
    • Monkey
  • Cited in publications
  • Images available
  • Preservative free only
  • Carrier free only
  • Host
    • Rabbit
    • Mouse
  • Clonality
    • Polyclonal
    • Monoclonal
  • Clone
    • 5D2
    • 5D2A4-5D2A10
    • 8D4
    • GF1
    • MM0261-8D36
    • RB1576
    • RB1578
    • RB50767
    • RB51137
  • Binding Specificity
    • AA 51-150
    • AA 29-60
    • AA 339-366
    • AA 913-943
    • pTyr605
    • pTyr781
    • AA 296-414
    • C-Term
    • N-Term
    • AA 599-842
    • AA 70-105
    • AA 394-500
    • AA 453-487
    • AA 457-471
    • AA 55-605
    • AA 963-976
    • Center
    • Extracellular
    • Internal Region
    • AA 1-230
    • AA 24-547
    • AA 290-339
    • AA 338-366
    • AA 37-67
    • AA 510-590
    • AA 541-590
    • AA 716-960
    • Phe568
    • truncated
  • Conjugate
    • Un-conjugated
    • Biotin
    • FITC
    • HRP
    • PE
    • APC
    • Alexa Fluor 488
    • Alexa Fluor 555
    • Alexa Fluor 594
    • Alexa Fluor 647
    • Alexa Fluor 680
    • Alexa Fluor 750
    • AbBy Fluor® 350
    • AbBy Fluor® 488
    • AbBy Fluor® 555
    • AbBy Fluor® 594
    • AbBy Fluor® 647
    • AbBy Fluor® 680
    • AbBy Fluor® 750
    • Cy3
    • Cy5
    • Cy5.5
    • Cy7
  • Isotype
    • IgG
    • Ig Fraction
    • IgG1
    • IgG2
    • IgG2a
  • Format
    • Liquid
    • Lyophilized
  • Supplier
    • antibodies-online
    • Signalway
    • NSJ Bioreagents
    • Cohesion Biosciences
    • FabGennix
    • USBio
    • Abbexa
    • Acris
    • Alomone Labs
    • Cloud-Clone
    • ProSci
    • Angio-Proteomie
    • Assay Biotechnology Company, Inc.
    • Aviva Systems Biology
    • Biomatik
    • Boster Bio
    • ProteoGenix
    • Wuhan Fine biotech

Latest Publications for our EPHA1 Antibodies

Wang, Hu, Tian, Zhou, Zhou, Wang: "Expression of EphA2 protein is positively associated with age, tumor size and Fuhrman nuclear grade in clear cell renal cell carcinomas." in: International journal of clinical and experimental pathology, Vol. 8, Issue 10, pp. 13374-80, (2016) (PubMed).

Wang, Liu, Cao, Zhang, Xu, Xu, Wang: "Expression of the EphA1 protein is associated with Fuhrman nuclear grade in clear cell renal cell carcinomas." in: International journal of clinical and experimental pathology, Vol. 8, Issue 6, pp. 6821-7, (2015) (PubMed).

Gordon, Kochkodan, Blatt, Lin, Kaplan, Johnston, Swindell, Hoover, Schlosser, Elder, Gudjonsson, Getsios: "Alteration of the EphA2/Ephrin-A signaling axis in psoriatic epidermis." in: The Journal of investigative dermatology, Vol. 133, Issue 3, pp. 712-22, (2013) (PubMed).

Dong, Wang, Sheng, Li, Ma, Wang, Zhang, Lu, Hu, Sugimura, Zhou: "Downregulation of EphA1 in colorectal carcinomas correlates with invasion and metastasis." in: Modern pathology : an official journal of the United States and Canadian Academy of Pathology, Inc, Vol. 22, Issue 1, pp. 151-60, (2008) (PubMed).

Duffy, Steiner, Tam, Boyd: "Expression analysis of the Epha1 receptor tyrosine kinase and its high-affinity ligands Efna1 and Efna3 during early mouse development." in: Gene expression patterns : GEP, Vol. 6, Issue 7, pp. 719-23, (2006) (PubMed).

Pasquale: "Eph receptor signalling casts a wide net on cell behaviour." in: Nature reviews. Molecular cell biology, Vol. 6, Issue 6, pp. 462-75, (2005) (PubMed).

Hillier, Fulton, Fulton, Graves, Pepin, Wagner-McPherson, Layman, Maas, Jaeger, Walker, Wylie, Sekhon, Becker, OLaughlin, Schaller, Fewell, Delehaunty, Miner, Nash, Cordes, Du, Sun, Edwards et al.: "The DNA sequence of human chromosome 7. ..." in: Nature, Vol. 424, Issue 6945, pp. 157-64, (2003) (PubMed).

Aliases for EPHA1 Antibodies

EPH receptor A1 (EPHA1) Antibodies
Eph receptor A1 (Epha1) Antibodies
EPH receptor A1 (Epha1) Antibodies
5730453L17Rik Antibodies
AL033318 Antibodies
EPH Antibodies
Eph Antibodies
EPHA9 Antibodies
EPHT Antibodies
EPHT1 Antibodies
Esk Antibodies
You are here:
Chat with us!