Phone:
+1 877 302 8632
Fax:
+1 888 205 9894 (Toll-free)
E-Mail:
orders@antibodies-online.com

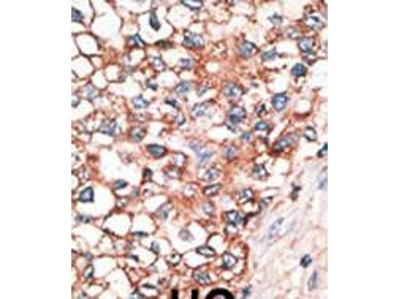
GJa10 Antibodies

(Gap Junction Protein, alpha 10, 62kDa (GJa10))

Choose one of 6 GJa10 antibodies from our product listing based on 7 validation images.

Explore reliable GJa10 antibodies from a broad selection of renowned manufacturers. Our portfolio enables accurate GJa10 detection across multiple species, including Human, Mouse, Rat, Dog, Horse, Monkey, Cow, Hamster, Pig, Rabbit, Zebrafish (Danio rerio), and supports diverse research applications such as WB, IHC, IHC (p).

Quickly find the right antibody using our search, filter, and comparison tools. Each product page provides detailed validation data, literature references, and customer feedback. Unlike comparison-only resources, you can conveniently purchase antibodies directly through our site. Choose from polyclonal, monoclonal, or recombinant GJa10 antibodies derived from various hosts such as Rabbit. Browse our products below and order directly to support your research with confidence.

Alternative names for GJa10 are Gja10, GJA10.

6 results

GJa10 Reactivity: Human, Mouse, Rat, Horse, Dog, Monkey, Hamster WB Host: Rabbit Polyclonal unconjugated
Catalog No. ABIN6744732
$690.07
Plus shipping costs $50.00
100 μL
Shipping to: United States
Delivery in 11 to 15 Business Days
 
GJa10 Reactivity: Human, Rat, Monkey WB Host: Rabbit Polyclonal unconjugated
Catalog No. ABIN6749843
$690.07
Plus shipping costs $50.00
100 μL
Shipping to: United States
Delivery in 11 to 15 Business Days
 
GJa10 Reactivity: Human, Mouse WB, IHC (p) Host: Rabbit Polyclonal unconjugated
Catalog No. ABIN5536174
$680.63
Plus shipping costs $50.00
400 μL
Shipping to: United States
Delivery in 2 to 4 Business Days
 
GJa10 Reactivity: Human, Mouse WB, IHC Host: Rabbit Polyclonal unconjugated
Catalog No. ABIN2998438
$780.66
Plus shipping costs $50.00
400 μL (More quantities available)
Shipping to: United States
Delivery in 10 to 18 Business Days
 
GJa10 Reactivity: Human, Mouse, Rat, Horse, Pig, Rabbit, Dog, Cow, Zebrafish (Danio rerio) WB Host: Rabbit Polyclonal unconjugated
Catalog No. ABIN2775598
$483.54
Plus shipping costs $50.00
100 μL (More quantities available)
Shipping to: United States
Delivery in 2 to 4 Business Days
 
GJa10 Reactivity: Human, Mouse Host: Rabbit Polyclonal unconjugated
Catalog No. ABIN6294987
$443.90
Plus shipping costs $50.00
400 μL
Shipping to: United States
Delivery in 6 to 9 Business Days
 
  • Type Primary
    • Primary
  • Application
    • Western Blotting (WB)
    • Immunohistochemistry (IHC)
    • Immunohistochemistry (Paraffin-embedded Sections) (IHC (p))
  • Reactivity
    • Human
    • Mouse
    • Rat
    • Dog
    • Horse
    • Monkey
    • Cow
    • Hamster
    • Pig
    • Rabbit
    • Zebrafish (Danio rerio)
  • Images available
  • Host
    • Rabbit
  • Clonality
    • Polyclonal
  • Binding Specificity
    • AA 484-515
    • C-Term
    • N-Term
    • AA 251-300
  • Conjugate
    • Un-conjugated
  • Isotype
    • Ig Fraction
    • IgG
  • Format
    • Liquid
    • Lyophilized
  • Supplier
    • antibodies-online
    • Abbexa
    • Aviva Systems Biology
    • ProSci
    • RayBiotech

Latest Publications for our GJa10 Antibodies

Yuan, Chen, Yang, Gao, Zhang, Wu, Jacoby: "Expression pattern of connexins in the corneal and limbal epithelium of a primate." in: Cornea, Vol. 28, Issue 2, pp. 194-9, (2009) (PubMed).

Aliases for GJa10 Antibodies

gap junction protein, alpha 10 (Gja10) Antibodies
gap junction protein alpha 10 (GJA10) Antibodies
gap junction protein, alpha 10, 62kDa (GJA10) Antibodies
59kDa Antibodies
Cx-57 Antibodies
cx57 Antibodies
Cx57 Antibodies
Cx59 Antibodies
CX62 Antibodies
GJA9 Antibodies
RGD1309630 Antibodies
RP11-63K6.6 Antibodies
You are here:
Chat with us!