Phone:
+1 877 302 8632
Fax:
+1 888 205 9894 (Toll-free)
E-Mail:
orders@antibodies-online.com

IGHG1 Antibodies

(Immunoglobulin Heavy Constant gamma 1 (G1m Marker) (IGHG1))

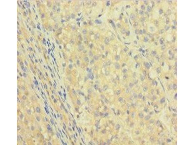
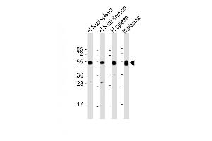
Choose one of 29 IGHG1 antibodies from our product listing based on 1 publication and 17 validation images.

Explore reliable IGHG1 antibodies from a broad selection of renowned manufacturers. Our portfolio enables accurate IGHG1 detection across multiple species, including Human, Mouse, Rat, and supports diverse research applications such as WB, ELISA, FACS, IF, IHC.

Quickly find the right antibody using our search, filter, and comparison tools. Each product page provides detailed validation data, literature references, and customer feedback. Unlike comparison-only resources, you can conveniently purchase antibodies directly through our site. Choose from polyclonal, monoclonal, or recombinant IGHG1 antibodies derived from various hosts such as Rabbit, Mouse. Browse our products below and order directly to support your research with confidence.

Alternative names for IGHG1 are Ighg1, IGHG1.

29 results

IGHG1 Reactivity: Human WB, IHC Host: Rabbit Monoclonal unconjugated
Catalog No. ABIN7267844
$393.00
Plus shipping costs $50.00
100 μL (More quantities available)
Shipping to: United States
Delivery in 7 to 10 Business Days
 
IGHG1 Reactivity: Human WB, FACS Host: Rabbit Polyclonal RB21766 unconjugated
Catalog No. ABIN654913
$451.00
Plus shipping costs $50.00
400 μL (More quantities available)
Shipping to: United States
Delivery in 10 to 12 Business Days
 
IGHG1 Reactivity: Human WB, IF, IP Host: Rabbit Polyclonal unconjugated
Pubmed 1 reference
Catalog No. ABIN1327259
$504.43
Plus shipping costs $50.00
100 μL
Shipping to: United States
Delivery in 11 to 14 Business Days
 
IGHG1 Reactivity: Human WB Host: Mouse Polyclonal unconjugated
Catalog No. ABIN516955
$520.15
Plus shipping costs $50.00
50 μg
Shipping to: United States
Delivery in 11 to 14 Business Days
 
IGHG1 Reactivity: Human WB, ELISA, IHC Host: Rabbit Polyclonal unconjugated
Catalog No. ABIN7187023
$262.68
Plus shipping costs $50.00
100 μg (More quantities available)
Shipping to: United States
Delivery in 13 to 17 Business Days
 
IGHG1 Reactivity: Human ELISA, IHC Host: Rabbit Polyclonal unconjugated
Catalog No. ABIN7156085
$394.68
Plus shipping costs $50.00
100 μg (More quantities available)
Shipping to: United States
Delivery in 13 to 17 Business Days
 
IGHG1 Reactivity: Human WB Host: Mouse Monoclonal 452CT2-3-2 unconjugated
Catalog No. ABIN1539907
$451.00
Plus shipping costs $50.00
0.1 mL
Shipping to: United States
Delivery in 10 to 12 Business Days
 
IGHG1 Reactivity: Human WB Host: Rabbit Polyclonal RB31752 unconjugated
Catalog No. ABIN655605
$451.00
Plus shipping costs $50.00
400 μL (More quantities available)
Shipping to: United States
Delivery in 10 to 12 Business Days
 
IGHG1 Reactivity: Human WB, EIA Host: Rabbit Polyclonal unconjugated
Catalog No. ABIN952862
$846.00
Plus shipping costs $50.00
0.4 mL
Shipping to: United States
Delivery in 1 to 2 Business Days
 
IGHG1 Reactivity: Human ELISA Host: Rabbit Polyclonal Biotin
Catalog No. ABIN7156086
$394.68
Plus shipping costs $50.00
100 μg (More quantities available)
Shipping to: United States
Delivery in 13 to 17 Business Days
 
IGHG1 Reactivity: Human Host: Rabbit Polyclonal FITC
Catalog No. ABIN7156087
$394.68
Plus shipping costs $50.00
100 μg (More quantities available)
Shipping to: United States
Delivery in 13 to 17 Business Days
 
IGHG1 Reactivity: Human ELISA Host: Rabbit Polyclonal HRP
Catalog No. ABIN7156088
$394.68
Plus shipping costs $50.00
100 μg (More quantities available)
Shipping to: United States
Delivery in 13 to 17 Business Days
 
IGHG1 Reactivity: Human IHC (p) Host: Mouse Monoclonal rIG266 unconjugated Recombinant Antibody
Catalog No. ABIN7515321
$772.20
Plus shipping costs $50.00
100 μg
Shipping to: United States
Delivery in 11 to 14 Business Days
 
IGHG1 Reactivity: Human FACS, IF, IHC (p) Host: Rabbit Monoclonal IG1707RIG1707R unconjugated Recombinant Antibody
Catalog No. ABIN7541426
$1,347.14
Plus shipping costs $50.00
100 μg
Shipping to: United States
Delivery in 11 to 14 Business Days
 
IGHG1 Reactivity: Human WB, FACS, IF, IHC (p) Host: Rabbit Monoclonal IG507RIG507R unconjugated Recombinant Antibody
Catalog No. ABIN7541427
$1,347.14
Plus shipping costs $50.00
100 μg
Shipping to: United States
Delivery in 11 to 14 Business Days
 
IGHG1 Reactivity: Human WB, EIA Host: Rabbit Polyclonal unconjugated
Catalog No. ABIN952863
$846.00
Plus shipping costs $50.00
0.4 mL
Shipping to: United States
Delivery in 1 to 2 Business Days
 
IGHG1 Reactivity: Human WB, FACS Host: Rabbit Polyclonal unconjugated
Catalog No. ABIN2797421
$443.90
Plus shipping costs $50.00
400 μL
Shipping to: United States
Delivery in 6 to 9 Business Days
 
IGHG1 Reactivity: Human WB Host: Rabbit Polyclonal unconjugated
Catalog No. ABIN5516976
$483.54
Plus shipping costs $50.00
100 μL (More quantities available)
Shipping to: United States
Delivery in 2 to 4 Business Days
 
IGHG1 Reactivity: Human, Mouse, Rat WB, IF Host: Rabbit Monoclonal unconjugated Recombinant Antibody
Catalog No. ABIN7847489
$553.85
Plus shipping costs $50.00
200 μL
Shipping to: United States
Delivery in 1 to 2 Business Days
 
IGHG1 Reactivity: Human ELISA Host: Rabbit Polyclonal FITC
Catalog No. ABIN6063733
$580.46
Plus shipping costs $50.00
100 μL (More quantities available)
Shipping to: United States
Delivery in 10 to 18 Business Days
 
  • Type Primary
    • Primary
  • Application
    • Western Blotting (WB)
    • ELISA
    • Flow Cytometry (FACS)
    • Immunofluorescence (IF)
    • Immunohistochemistry (IHC)
    • Immunohistochemistry (Paraffin-embedded Sections) (IHC (p))
    • Enzyme Immunoassay (EIA)
    • Immunoprecipitation (IP)
  • Reactivity
    • Human
    • Mouse
    • Rat
  • Cited in publications
  • Images available
  • Preservative free only
  • Carrier free only
  • Host
    • Rabbit
    • Mouse
  • Clonality
    • Polyclonal
    • Monoclonal
  • Clone
    • 452CT2-3-2
    • IG1707RIG1707R
    • IG507RIG507R
    • RB21766
    • RB31752
    • rIG266
  • Binding Specificity
    • Center
    • Internal Region
    • AA 154-180
    • AA 81-110
    • AA 1-330
    • AA 1-479
    • AA 1-469
    • AA 74-102
    • Middle Region
    • N-Term
  • Conjugate
    • Un-conjugated
    • HRP
    • FITC
    • Biotin
    • APC
  • Isotype
    • IgG
    • Ig Fraction
    • IgG1
  • Protein Type
    • Recombinant Antibody
  • Format
    • Liquid
  • Supplier
    • antibodies-online
    • USBio
    • Abbexa
    • Acris
    • Aviva Systems Biology
    • Cohesion Biosciences
    • RayBiotech

Latest Publications for our IGHG1 Antibodies

Wirsching, Zhang, Szulzewsky, Arora, Grandi, Cimino, Amankulor, Campbell, McFerrin, Pattwell, Ene, Hicks, Ball, Yan, Zhang, Kumasaka, Pierce, Weller, Finer, Quéva, Glorioso, Houghton, Holland: "Arming oHSV with ULBP3 drives abscopal immunity in lymphocyte-depleted glioblastoma." in: JCI insight, Vol. 4, Issue 13, (2019) (PubMed).

Yoshioka, Tatsumi, Miyagi, Mukai, Nishio, Nishio, Yokoyama, Suda, Kegasawa, Shigekawa, Hikita, Sakamori, Takehara: "Frequency and role of NKp46 and NKG2A in hepatitis B virus infection." in: PLoS ONE, Vol. 12, Issue 3, pp. e0174103, (2017) (PubMed).

Donadio, Giusti, Seccia, Ciregia, da Valle, Dallan, Ventroni, Giannaccini, Sellari-Franceschini, Lucacchini: "New insight into benign tumours of major salivary glands by proteomic approach." in: PLoS ONE, Vol. 8, Issue 8, pp. e71874, (2013) (PubMed).

Aliases for IGHG1 Antibodies

immunoglobulin heavy constant gamma 1 (Ighg1) Antibodies
immunoglobulin heavy constant gamma 1 (G1m marker) (IGHG1) Antibodies
immunoglobulin heavy constant gamma 1 (G1m marker) (Ighg1) Antibodies
IgG1 Antibodies
Igh-4 Antibodies
RGD1359539 Antibodies
VH7183 Antibodies
You are here:
Chat with us!