Phone:
+1 877 302 8632
Fax:
+1 888 205 9894 (Toll-free)
E-Mail:
orders@antibodies-online.com

Myostatin Propeptide Protein

Recombinant Myostatin Propeptide protein expressed in Escherichia coli (E. coli).
Rockland
Catalog No. ABIN6700278
Supplier Product No.: 009-001-w02-0005
$128.00
Plus shipping costs $50.00
5 μg
Shipping to: United States
Delivery in 1 to 3 Business Days

Quick Overview for Myostatin Propeptide Protein (ABIN6700278)

Target

Myostatin Propeptide

Protein Type

Recombinant

Origin

Human

Source

  • 4
Escherichia coli (E. coli)

Application

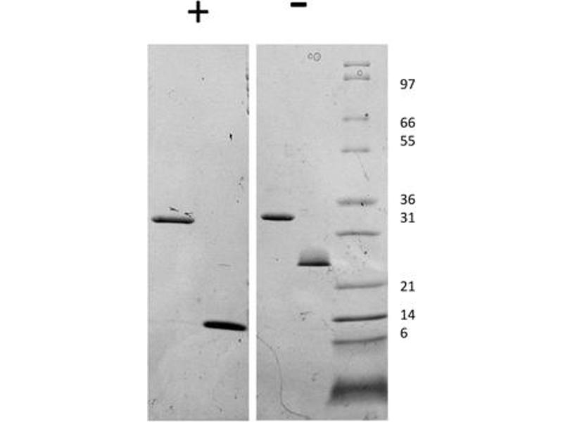
SDS-PAGE (SDS)

Purity

95,00%
  • Supplier Product No.

    009-001-w02-0005

    Supplier

    Rockland

    Purpose

    Human Myostatin Propeptide Recombinant Protein

    Purification

    Myostatin propeptide purity was determined to be greater than 95% as determined by analysis by UV-Spectroscopy at 280nm and by reducing and non-reducing SDS-pAGE.

    Endotoxin Level

    Measured by LAL is typically ≤ 1 EU/μg protein.

    Biological Activity Comment

    The activity is determined by its ability to inhibit 50 ng/mL of Myostatin on MPC-11 cells and is typically 0.01-0.04 μg/mL.
  • Want other Options for this Protein ?

    !
    Discover Our Predefined Custom Proteins and Custom Protein Services!

    Your project requires further customization? Contact us and discover our custom protein solutions

  • Application Notes

    Application Note: Myostatin Propeptide Recombinant Protein has been tested by SDS-PAGE and biological activity and is suitable as a control for polyclonal or monoclonal anti-Myostatin Propeptide in immunological assays.

    Other: User Optimized

    Restrictions

    For Research Use only
  • Format

    Lyophilized

    Reconstitution

    Reconstitution_Buffer: 0.02M HCl

    Reconstitution_Volume: 5 μL (5-50 μL)

    Buffer

    Buffer: 0.1 % Trifluoroacetic acid

    Stabilizer: None

    Preservative

    Without preservative

    Storage

    4 °C,-20 °C

    Storage Comment

    Store vial at 4° C prior to restoration. Dilute only prior to immediate use. Maintain sterility. This product DOES NOT contain preservative. DO NOT VORTEX. We recommend adding a carrier protein such as HSA or BSA to 0.1% (i.e. 1.0 mg/mL). For best results aliquot contents and freeze at -20° C or colder. Avoid cycles of freezing and thawing. Centrifuge vial before each opening to dislodge contents from the cap and to clarify if contents are not clear after standing at room temperature.

    Expiry Date

    6 months
  • Target

    Myostatin Propeptide

    Background

    Synonyms: Myostatin

    Background: Myostatin (GDF-8), a member of the TGF-β superfamily, is a potent and specific negative regulator of skeletal muscle mass. The myostatin propeptide is known to bind and inhibit myostatin in vitro. This interaction is relevant in vivo, with a majority (>70 % ) of myostatin in serum bound to its propeptide acting as a negative regulator of myostatin. Recombinant human Myostatin Propeptide is a non-glycosylated protein, containing 244 amino acids, with a molecular weight of 27.8 kDa.

    UniProt

    O08689
You are here:
Chat with us!