Phone:
+1 877 302 8632
Fax:
+1 888 205 9894 (Toll-free)
E-Mail:
orders@antibodies-online.com

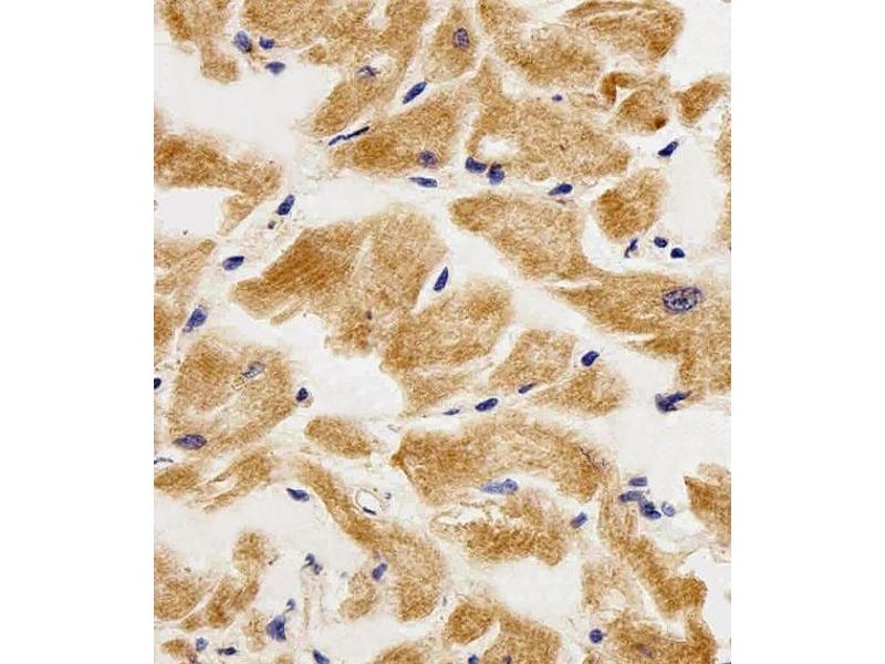
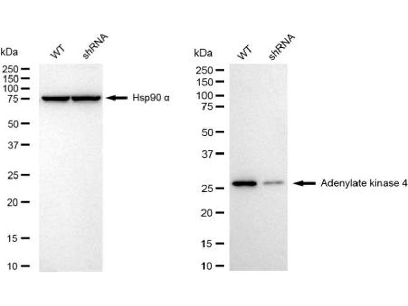
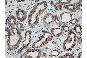
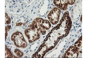
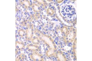
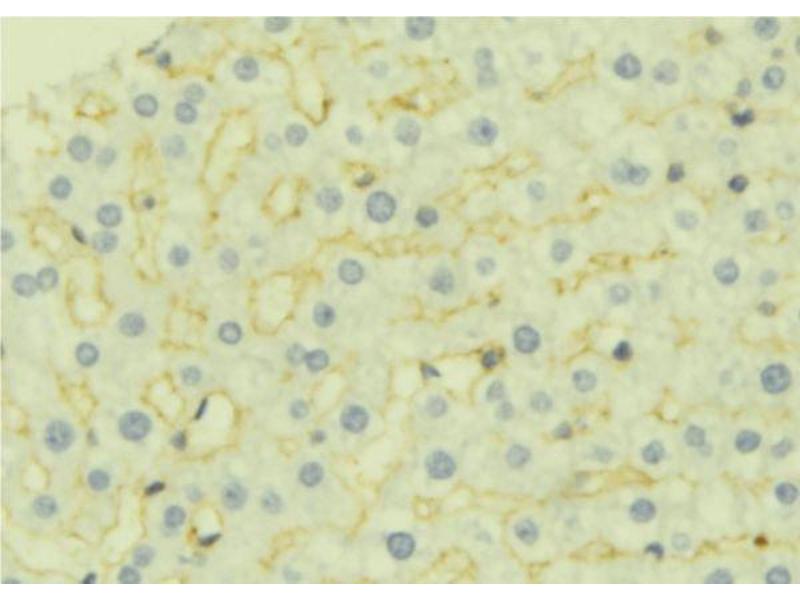
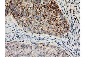
AK4 Antibodies

(Adenylate Kinase 4 (AK4))

Choose one of 57 AK4 antibodies from our product listing based on 1 publication and 69 validation images.

Explore reliable AK4 antibodies from a broad selection of renowned manufacturers. Our portfolio enables accurate AK4 detection across multiple species, including Human, Mouse, Dog, Rat, Monkey, Cow, Horse, Pig, Rabbit, Guinea Pig, Zebrafish (Danio rerio), Bat, Hamster, and supports diverse research applications such as WB, IHC, IF, ICC, FACS.

Quickly find the right antibody using our search, filter, and comparison tools. Each product page provides detailed validation data, literature references, and customer feedback. Unlike comparison-only resources, you can conveniently purchase antibodies directly through our site. Choose from polyclonal, monoclonal, or recombinant AK4 antibodies derived from various hosts such as Rabbit, Mouse. Browse our products below and order directly to support your research with confidence.

Alternative names for AK4 are AK4, ak4, Ak4, ADK4.

57 results

AK4 Reactivity: Human, Mouse WB, IF, IHC (p) Host: Rabbit Polyclonal RB48826 unconjugated
Pubmed 1 reference
Catalog No. ABIN1944856
$451.00
Plus shipping costs $50.00
400 μL (More quantities available)
Shipping to: United States
Delivery in 10 to 12 Business Days
 
AK4 Reactivity: Human, Monkey WB, IF, IHC, FACS, IHC (p) Host: Mouse Monoclonal 5E7 unconjugated
Catalog No. ABIN1496524
$704.73
Plus shipping costs $50.00
100 μL
Shipping to: United States
Delivery in 11 to 15 Business Days
 
AK4 Reactivity: Human, Mouse, Rat, Dog, Monkey WB, IF, IHC, FACS, IHC (p) Host: Mouse Monoclonal 3B1 unconjugated
Catalog No. ABIN1496525
$704.73
Plus shipping costs $50.00
100 μL
Shipping to: United States
Delivery in 11 to 15 Business Days
 
AK4 Reactivity: Human, Dog, Monkey WB, IF, IHC, FACS, IHC (p) Host: Mouse Monoclonal 2B12 unconjugated
Catalog No. ABIN1496526
$704.73
Plus shipping costs $50.00
100 μL
Shipping to: United States
Delivery in 11 to 15 Business Days
 
KD Validated AK4 Reactivity: Human WB, FACS, IF (p) Host: Rabbit Monoclonal 23GB4755 unconjugated Recombinant Antibody
Catalog No. ABIN7797522
$598.92
Plus shipping costs $50.00
100 μL
Shipping to: United States
Delivery in 3 to 5 Business Days
 
AK4 Reactivity: Human WB, IF, IHC, ICC, IHC (p) Host: Rabbit Polyclonal unconjugated
Catalog No. ABIN2855826
$564.19
Plus shipping costs $50.00
100 μL
Shipping to: United States
Delivery in 3 to 5 Business Days
 
AK4 Reactivity: Human WB, IF, IHC Host: Rabbit Monoclonal unconjugated
Catalog No. ABIN7265467
$393.00
Plus shipping costs $50.00
100 μL (More quantities available)
Shipping to: United States
Delivery in 7 to 10 Business Days
 
AK4 Reactivity: Human WB, IF Host: Mouse Polyclonal unconjugated
Catalog No. ABIN513220
$489.14
Plus shipping costs $50.00
50 μg
Shipping to: United States
Delivery in 11 to 14 Business Days
 
AK4 Reactivity: Human, Mouse, Rat WB, IF, IHC, ICC, ELISA Host: Rabbit Polyclonal unconjugated
Catalog No. ABIN6259847
$494.77
Plus shipping costs $50.00
100 μL (More quantities available)
Shipping to: United States
Delivery in 11 to 13 Business Days
 
AK4 Reactivity: Human, Mouse WB, IF, IHC Host: Rabbit Polyclonal unconjugated
Catalog No. ABIN7306092
$330.77
Plus shipping costs $50.00
100 μL (More quantities available)
Shipping to: United States
Delivery in 13 to 15 Business Days
 
AK4 Reactivity: Human, Mouse, Rat, Dog WB Host: Rabbit Polyclonal unconjugated
Catalog No. ABIN629661
$1,143.75
Plus shipping costs $50.00
100 μg
Shipping to: United States
Delivery in 9 to 12 Business Days
 
AK4 Reactivity: Human WB, ELISA Host: Mouse Polyclonal unconjugated
Catalog No. ABIN559825
$339.54
Plus shipping costs $50.00
50 μL
Shipping to: United States
Delivery in 11 to 14 Business Days
 
AK4 Reactivity: Human WB Host: Rabbit Polyclonal unconjugated
Catalog No. ABIN631000
$1,297.32
Plus shipping costs $50.00
100 μL
Shipping to: United States
Delivery in 9 to 12 Business Days
 
AK4 Reactivity: Human WB, IHC, ICC, IHC (p) Host: Rabbit Polyclonal unconjugated
Catalog No. ABIN1892117
$476.30
Plus shipping costs $50.00
50 μL
Shipping to: United States
Delivery in 11 to 15 Business Days
 
AK4 Reactivity: Human, Dog, Monkey, Cow, Horse, Pig, Rabbit, Bat WB, IHC, IHC (p) Host: Rabbit Polyclonal unconjugated
Catalog No. ABIN6755287
$476.30
Plus shipping costs $50.00
100 μL
Shipping to: United States
Delivery in 11 to 15 Business Days
 
AK4 Reactivity: Human, Mouse, Rat, Dog, Monkey, Cow, Hamster WB Host: Rabbit Polyclonal unconjugated
Catalog No. ABIN203378
$649.00
Plus shipping costs $50.00
100 μL
Shipping to: United States
Delivery in 11 to 15 Business Days
 
AK4 Reactivity: Human, Mouse WB, IHC (p), EIA Host: Rabbit Polyclonal unconjugated
Catalog No. ABIN360619
$768.00
Plus shipping costs $50.00
0.4 mL
Shipping to: United States
Delivery in 1 to 2 Business Days
 
KD Validated AK4 Reactivity: Human WB, IF, IHC, ICC Host: Rabbit Monoclonal unconjugated Recombinant Antibody
Catalog No. ABIN7606826
$372.90
Plus shipping costs $50.00
100 μL (More quantities available)
Shipping to: United States
Delivery in 6 to 9 Business Days
 
AK4 Reactivity: Human WB, IF, IHC, FACS Host: Mouse Monoclonal 5 E7 unconjugated
Catalog No. ABIN2133279
$1,915.18
Plus shipping costs $50.00
100 μL
Shipping to: United States
Delivery in 9 to 12 Business Days
 
AK4 Reactivity: Human WB, FACS Host: Mouse Monoclonal 3 E1 unconjugated
Catalog No. ABIN2133278
$1,915.18
Plus shipping costs $50.00
100 μL
Shipping to: United States
Delivery in 9 to 12 Business Days
 
  • Type Primary
    • Primary
  • Application
    • Western Blotting (WB)
    • Immunohistochemistry (IHC)
    • Immunofluorescence (IF)
    • Immunocytochemistry (ICC)
    • Flow Cytometry (FACS)
    • Immunohistochemistry (Paraffin-embedded Sections) (IHC (p))
    • ELISA
    • Enzyme Immunoassay (EIA)
    • Immunofluorescence (Paraffin-embedded Sections) (IF (p))
    • Radioimmunoassay (RIA)
  • Reactivity
    • Human
    • Mouse
    • Dog
    • Rat
    • Monkey
    • Cow
    • Horse
    • Pig
    • Rabbit
    • Guinea Pig
    • Zebrafish (Danio rerio)
    • Bat
    • Hamster
  • Cited in publications
  • Images available
  • Carrier free only
  • Host
    • Rabbit
    • Mouse
  • Clonality
    • Polyclonal
    • Monoclonal
  • Clone
    • 23GB4755
    • 27A39
    • 2B12
    • 3 E1
    • 3A9
    • 3B1
    • 5 E7
    • 5B10
    • 5E7
    • RB48826
  • Binding Specificity
    • AA 1-223
    • N-Term
    • Middle Region
    • AA 1-110
    • AA 1-209
    • AA 1-219
    • AA 119-153
    • AA 126-175
    • AA 195-223
    • AA 23-53
    • AA 38-222
    • C-Term
    • Internal Region
  • Conjugate
    • Un-conjugated
    • Alexa Fluor 488
    • Alexa Fluor 555
    • Alexa Fluor 594
    • Alexa Fluor 647
    • Alexa Fluor 680
    • Alexa Fluor 750
    • Biotin
    • APC
    • Alexa Fluor 350
    • Alexa Fluor 405
    • FITC
    • PE
    • PerCP
  • Isotype
    • IgG
    • IgG1
    • Ig Fraction
    • IgG2b
  • Protein Type
    • Recombinant Antibody
  • Format
    • Liquid
    • Lyophilized
  • Grade
    • KD Validated
  • Supplier
    • antibodies-online
    • Signalway
    • Assaypro
    • Acris
    • Aviva Systems Biology
    • Cohesion Biosciences
    • Biospes
    • Boster Bio
    • ProSci
    • RayBiotech

Latest Publications for our AK4 Antibodies

Noma, Fujisawa, Yamashiro, Shinohara, Nakazawa, Gondo, Ishihara, Yoshinobu: "Structure and expression of human mitochondrial adenylate kinase targeted to the mitochondrial matrix." in: The Biochemical journal, Vol. 358, Issue Pt 1, pp. 225-32, (2001) (PubMed).

Xu, OConnell, Stevens, White: "Characterization of human adenylate kinase 3 (AK3) cDNA and mapping of the AK3 pseudogene to an intron of the NF1 gene." in: Genomics, Vol. 13, Issue 3, pp. 537-42, (1992) (PubMed).

Aliases for AK4 Antibodies

adenylate kinase 4 (AK4) Antibodies
adenylate kinase 4 (ak4) Antibodies
adenylate kinase 4 (Ak4) Antibodies
adenylate kinase 4 (ADK4) Antibodies
Ak-3 Antibodies
Ak-4 Antibodies
AK3 Antibodies
Ak3 Antibodies
AK3L1 Antibodies
ak3l1 Antibodies
Ak3l1 Antibodies
AK3L2 Antibodies
Ak3l2 Antibodies
AK 4 Antibodies
AK4 Antibodies
D4Ertd274e Antibodies
wu:fc37g02 Antibodies
zgc:85790 Antibodies
You are here:
Chat with us!