Phone:
+1 877 302 8632
Fax:
+1 888 205 9894 (Toll-free)
E-Mail:
orders@antibodies-online.com

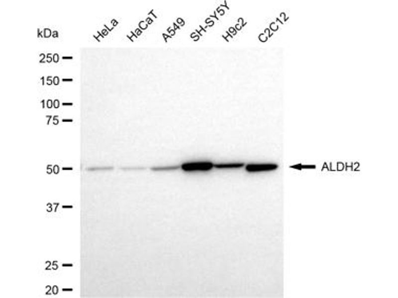
ALDH2 Antibodies

(Aldehyde Dehydrogenase 2 Family (Mitochondrial) (ALDH2))

Choose one of 89 ALDH2 antibodies from our product listing based on 11 publications and 96 validation images.

Explore reliable ALDH2 antibodies from a broad selection of renowned manufacturers. Our portfolio enables accurate ALDH2 detection across multiple species, including Human, Mouse, Rat, Monkey, Hamster, Rabbit, Cow, Dog, Guinea Pig, Horse, Zebrafish (Danio rerio), and supports diverse research applications such as WB, IHC, ELISA, IF, FACS.

Quickly find the right antibody using our search, filter, and comparison tools. Each product page provides detailed validation data, literature references, and customer feedback. Unlike comparison-only resources, you can conveniently purchase antibodies directly through our site. Choose from polyclonal, monoclonal, or recombinant ALDH2 antibodies derived from various hosts such as Rabbit, Mouse, Goat. Browse our products below and order directly to support your research with confidence.

Alternative names for ALDH2 are aldh2.1, aldh2.L, aldh2, ALDH2, RHA1_RS43090, aldH2, OE_RS03015, Aldh2.

89 results

ALDH2 Reactivity: Human WB, IHC, IF Host: Rabbit Polyclonal unconjugated
Pubmed 2 references
Catalog No. ABIN3021779
$383.00
Plus shipping costs $50.00
100 μL (More quantities available)
Shipping to: United States
Delivery in 7 to 10 Business Days
 
ALDH2 Reactivity: Human, Rat, Mouse WB, IHC, ELISA, FACS, ICC Host: Mouse Monoclonal 4G6A3 unconjugated
Pubmed 2 references
Catalog No. ABIN1724795
$473.33
Plus shipping costs $50.00
100 μL
Shipping to: United States
Delivery in 3 to 5 Business Days
 
ALDH2 Reactivity: Human, Mouse WB, ELISA, IF, ICC, IHC (p) Host: Rabbit Polyclonal unconjugated
Catalog No. ABIN2855041
$564.19
Plus shipping costs $50.00
100 μL
Shipping to: United States
Delivery in 3 to 5 Business Days
 
ALDH2 Reactivity: Human WB, ELISA Host: Mouse Monoclonal 1E5 unconjugated
Pubmed 2 references
Catalog No. ABIN513240
$489.14
Plus shipping costs $50.00
100 μg
Shipping to: United States
Delivery in 11 to 14 Business Days
 
ALDH2 Reactivity: Human, Rat, Mouse WB, IHC, ELISA, FACS, IF/ICC Host: Mouse Monoclonal unconjugated
Catalog No. ABIN1846467
$572.76
Plus shipping costs $50.00
100 μL
Shipping to: United States
Delivery in 10 to 18 Business Days
 
ALDH2 Reactivity: Human WB, IF, FACS, IHC (p) Host: Mouse Monoclonal 138CT22-3-8 unconjugated
Catalog No. ABIN658993
$451.00
Plus shipping costs $50.00
400 μL (More quantities available)
Shipping to: United States
Delivery in 10 to 12 Business Days
 
ALDH2 Reactivity: Human, Rat, Mouse WB, ELISA, IHC (p) Host: Rabbit Polyclonal unconjugated
Catalog No. ABIN3187866
$402.79
Plus shipping costs $50.00
100 μL (More quantities available)
Shipping to: United States
Delivery in 11 to 15 Business Days
 
ALDH2 Reactivity: Human, Rat, Mouse WB, FACS Host: Rabbit Polyclonal unconjugated
Catalog No. ABIN3043782
$370.00
Plus shipping costs $50.00
100 μg
Shipping to: United States
Delivery in 4 to 7 Business Days
 
ALDH2 Reactivity: Human, Rat, Mouse WB, IF, FACS, ICC Host: Mouse Monoclonal 6H2 unconjugated
Catalog No. ABIN7603122
$370.00
Plus shipping costs $50.00
100 μg
Shipping to: United States
Delivery in 4 to 7 Business Days
 
Verified ALDH2 Reactivity: Human, Rat, Mouse WB, ELISA Host: Goat Polyclonal unconjugated
Pubmed 1 reference
Catalog No. ABIN571181
$488.25
Plus shipping costs $50.00
100 μg
Shipping to: United States
Delivery in 1 to 3 Business Days
 
ALDH2 Reactivity: Human WB, IF, FACS, IHC (p) Host: Mouse Monoclonal 8C8 unconjugated
Catalog No. ABIN4906009
$453.85
Plus shipping costs $50.00
100 μL
Shipping to: United States
Delivery in 8 to 12 Business Days
 
ALDH2 Reactivity: Human WB, IHC, ELISA Host: Rabbit Monoclonal 3F10 unconjugated Recombinant Antibody
Catalog No. ABIN7127333
$462.00
Plus shipping costs $50.00
100 μL (More quantities available)
Shipping to: United States
Delivery in 13 to 17 Business Days
 
ALDH2 Reactivity: Human WB Host: Rabbit Polyclonal unconjugated
Catalog No. ABIN513239
$474.46
Plus shipping costs $50.00
100 μg
Shipping to: United States
Delivery in 11 to 14 Business Days
 
ALDH2 Reactivity: Human WB, FACS Host: Mouse Monoclonal 24GB6990 unconjugated
Catalog No. ABIN7797563
$394.31
Plus shipping costs $50.00
100 μL
Shipping to: United States
Delivery in 3 to 5 Business Days
 
ALDH2 Reactivity: Human WB, FACS Host: Mouse Monoclonal 25GB7300 unconjugated
Catalog No. ABIN7797564
$394.31
Plus shipping costs $50.00
100 μL
Shipping to: United States
Delivery in 3 to 5 Business Days
 
ALDH2 Reactivity: Human WB, FACS, IHC (p) Host: Rabbit Polyclonal unconjugated
Catalog No. ABIN5533687
$680.63
Plus shipping costs $50.00
400 μL
Shipping to: United States
Delivery in 2 to 4 Business Days
 
ALDH2 Reactivity: Human WB, IHC, ICC, IP Host: Rabbit Polyclonal unconjugated
Catalog No. ABIN1175384
$245.00
Plus shipping costs $50.00
100 μL (More quantities available)
Shipping to: United States
Delivery in 15 to 19 Business Days
 
ALDH2 Reactivity: Human, Rat, Mouse WB, IF, FACS, ICC Host: Mouse Monoclonal 5G7 unconjugated
Catalog No. ABIN7603107
$370.00
Plus shipping costs $50.00
100 μg
Shipping to: United States
Delivery in 4 to 7 Business Days
 
ALDH2 Reactivity: Human WB, FACS, IHC (p) Host: Rabbit Polyclonal RB23145 unconjugated
Pubmed 3 references
Catalog No. ABIN1881053
$451.00
Plus shipping costs $50.00
400 μL (More quantities available)
Shipping to: United States
Delivery in 10 to 12 Business Days
 
Verified ALDH2 Reactivity: Human, Rat, Mouse WB, ELISA Host: Goat Polyclonal Biotin
Catalog No. ABIN5539679
$488.25
Plus shipping costs $50.00
100 μg
Shipping to: United States
Delivery in 1 to 3 Business Days
 
  • Type Primary
    • Primary
  • Application
    • Western Blotting (WB)
    • Immunohistochemistry (IHC)
    • ELISA
    • Immunofluorescence (IF)
    • Flow Cytometry (FACS)
    • Immunocytochemistry (ICC)
    • Immunohistochemistry (Paraffin-embedded Sections) (IHC (p))
    • Immunoprecipitation (IP)
    • Enzyme Immunoassay (EIA)
    • Immunofluorescence (fixed cells) (IF/ICC)
  • Reactivity
    • Human
    • Mouse
    • Rat
    • Monkey
    • Hamster
    • Rabbit
    • Cow
    • Dog
    • Guinea Pig
    • Horse
    • Zebrafish (Danio rerio)
  • Cited in publications
  • Images available
  • Preservative free only
  • Carrier free only
  • Host
    • Rabbit
    • Mouse
    • Goat
  • Clonality
    • Polyclonal
    • Monoclonal
  • Clone
    • 138CT22-3-8
    • 4G6A3
    • 1E5
    • 24GB6990
    • 25GB7300
    • 3F10
    • 4H2
    • 5G7
    • 6H2
    • 8C8
    • 8D4-D6-D11
    • AFOI-1
    • R08-9B4
    • RB23145
  • Binding Specificity
    • N-Term
    • AA 318-347
    • AA 52-81
    • AA 317-517
    • AA 1-517
    • AA 59-150
    • Center
    • Internal Region
    • AA 1-380
    • AA 18-33
    • AA 18-48
    • AA 325-355
    • AA 401-450
    • AA 408-517
    • AA 41-90
    • C-Term
    • Mitochondrial
  • Conjugate
    • Un-conjugated
    • Biotin
    • APC
    • Alexa Fluor 488
    • Alexa Fluor 555
    • Alexa Fluor 594
    • Alexa Fluor 647
    • Alexa Fluor 680
    • Alexa Fluor 750
    • FITC
    • HRP
    • PE
    • Alexa Fluor 350
    • Alexa Fluor 405
  • Isotype
    • IgG
    • IgG1
    • IgG1 kappa
    • Ig Fraction
    • IgG2a
    • Ig kappa
    • IgG3
  • Protein Type
    • Recombinant Antibody
  • Format
    • Liquid
    • Lyophilized
  • Grade
    • Verified
  • Supplier
    • antibodies-online
    • Signalway
    • Boster Bio
    • Cohesion Biosciences
    • ProSci
    • Abbexa
    • Acris
    • Assay Biotechnology Company, Inc.
    • Aviva Systems Biology
    • CUSABIO
    • Cloud-Clone
    • Covalab
    • RayBiotech

Latest Publications for our ALDH2 Antibodies

Gergs, Jahn, Schulz, Großmann, Rueckschloss, Demus, Buchwalow, Neumann: "Protein Phosphatase 2A Improves Cardiac Functional Response to Ischemia and Sepsis." in: International journal of molecular sciences, Vol. 23, Issue 9, (2022) (PubMed).

Chan, Chen, Destro, Veal, Lau, ONeill, Dias, Mosley, Kersemans, Guibbal, Gouverneur, Cornelissen: "Imaging PARP with [18F]rucaparib in pancreatic cancer models." in: European journal of nuclear medicine and molecular imaging, Vol. 49, Issue 11, pp. 3668-3678, (2022) (PubMed).

Muñoz, Rivera-Meza, Flores-Bastías, Quintanilla, Karahanian: "Fenofibrate -a PPARα agonist- increases alcohol dehydrogenase levels in the liver: implications for its possible use as an ethanol-aversive drug." in: Adicciones, pp. 1226, (2019) (PubMed).

Yan, Lestari, Long, Fan, Wang, Guo, Yu, Hu, Yang, Chen, Liu, Li, Purnomoadi, Achmadi, Yan: "Comparative Proteomics Analysis Reveals L-Arginine Activates Ethanol Degradation Pathways in HepG2 Cells." in: Scientific reports, Vol. 6, pp. 23340, (2017) (PubMed).

Long, Muhamad, Yan, Yu, Fan, Wang, Li, Purnomoadi, Achmadi, Yan: "Quantitative proteomics analysis reveals glutamine deprivation activates fatty acid β-oxidation pathway in HepG2 cells." in: Amino acids, Vol. 48, Issue 5, pp. 1297-307, (2017) (PubMed).

Duan, Gao, Zhang, Chen, Jiang, Ji, Zhang, Chen, Yang, Su, Zhang, Liu, Zhu, Wang, Yu: "Mitochondrial aldehyde dehydrogenase 2 protects gastric mucosa cells against DNA damage caused by oxidative stress." in: Free radical biology & medicine, Vol. 93, pp. 165-76, (2016) (PubMed).

Qiang, Xiao, Su, Wu, Tong, Liu, He: "A novel mechanism for endogenous formaldehyde elevation in SAMP8 mouse." in: Journal of Alzheimer's disease : JAD, Vol. 40, Issue 4, pp. 1039-53, (2014) (PubMed).

Ichikawa, Kanda, Kosugi, Kawachi, Sasaki, Wakai, Kondo: "Laser microdissection and two-dimensional difference gel electrophoresis reveal the role of a novel macrophage-capping protein in lymph node metastasis in gastric cancer." in: Journal of proteome research, Vol. 12, Issue 8, pp. 3780-91, (2013) (PubMed).

Zhang, Gong, Zhang, Li, Hu: "Effect of mitochondrial aldehyde dehydrogenase-2 genotype on cardioprotection in patients with congenital heart disease." in: European heart journal, Vol. 33, Issue 13, pp. 1606-14, (2012) (PubMed).

Bae, Kim, Shin, Kim, Shin, Kim, Kim, Yoon: "The acute effects of ethanol and acetaldehyde on physiological responses after ethanol ingestion in young healthy men with different ALDH2 genotypes." in: Clinical toxicology (Philadelphia, Pa.), Vol. 50, Issue 4, pp. 242-9, (2012) (PubMed).

Aliases for ALDH2 Antibodies

aldehyde dehydrogenase 2 family (mitochondrial), tandem duplicate 1 (aldh2.1) Antibodies
aldehyde dehydrogenase 2 family (mitochondrial) L homeolog (aldh2.L) Antibodies
aldehyde dehydrogenase 2 family (mitochondrial) (aldh2) Antibodies
aldehyde dehydrogenase 2 family (mitochondrial) (ALDH2) Antibodies
aldehyde dehydrogenase 2 (aldh2) Antibodies
aldehyde dehydrogenase (RHA1_RS43090) Antibodies
aldehyde dehydrogenase (NAD(+)) (aldH2) Antibodies
hypothetical protein (OE_RS03015) Antibodies
aldehyde dehydrogenase (aldH2) Antibodies
aldehyde dehydrogenase 2 family (mitochondrial) (Aldh2) Antibodies
aldehyde dehydrogenase 2, mitochondrial (Aldh2) Antibodies
Ahd-5 Antibodies
Ahd5 Antibodies
aldh-e2 Antibodies
ALDH-E2 Antibodies
aldh2 Antibodies
aldh2a Antibodies
aldhi Antibodies
ALDHI Antibodies
aldm Antibodies
ALDM Antibodies
MGC80785 Antibodies
rf2b Antibodies
zgc:63786 Antibodies
You are here:
Chat with us!