Phone:
+1 877 302 8632
Fax:
+1 888 205 9894 (Toll-free)
E-Mail:
orders@antibodies-online.com

GDF15 antibody (C-Term) (Biotin)

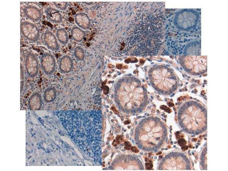
This Rabbit Polyclonal antibody specifically detects GDF15 in WB, ELISA and IHC. It exhibits reactivity toward Human and Mouse.It has been mentioned in 1 publication
Rockland
Catalog No. ABIN1043920
Supplier Product No.: 600-406-b07
$479.00
Plus shipping costs $50.00
100 μg
Shipping to: United States
Delivery in 1 to 3 Business Days

Quick Overview for GDF15 antibody (C-Term) (Biotin) (ABIN1043920)

Target

See all GDF15 Antibodies
GDF15 (Growth Differentiation Factor 15 (GDF15))

Reactivity

  • 110
  • 39
  • 25
  • 1
  • 1
Human, Mouse

Host

  • 102
  • 18
  • 5
  • 3
  • 1
Rabbit

Clonality

  • 99
  • 26
  • 2
Polyclonal

Conjugate

  • 76
  • 16
  • 9
  • 5
  • 2
  • 2
  • 1
  • 1
  • 1
  • 1
  • 1
  • 1
  • 1
  • 1
  • 1
  • 1
  • 1
  • 1
  • 1
  • 1
  • 1
  • 1
  • 1
This GDF15 antibody is conjugated to Biotin

Application

  • 98
  • 57
  • 49
  • 16
  • 13
  • 13
  • 13
  • 10
  • 8
  • 7
  • 4
  • 3
  • 2
  • 1
  • 1
Western Blotting (WB), ELISA, Immunohistochemistry (IHC)
  • Binding Specificity

    • 15
    • 13
    • 9
    • 7
    • 5
    • 5
    • 5
    • 5
    • 3
    • 3
    • 3
    • 2
    • 2
    • 2
    • 2
    • 1
    • 1
    • 1
    • 1
    • 1
    • 1
    • 1
    • 1
    • 1
    • 1
    • 1
    • 1
    • 1
    C-Term

    Supplier Product No.

    600-406-b07

    Supplier

    Rockland

    Purpose

    GDF15 Antibody Biotin Conjugated

    Cross-Reactivity (Details)

    This antibody reacts with the C-terminus of endogenous NAG-1 protein from human and mouse tissues.

    Characteristics

    Synonyms: rabbit anti-NAG1 antibody biotin conjugation, biotin conjugated rabbit anti-NAG1 antibody, NAG 1, NAG-1, GDF15, MIC1, MIC-1, GDF-15, PLAB, PTGFB, nonsteroidal anti-inflammatory drug-activated gene, NSAID-activated gene 1 protein, growth differentiation factor 15, macrophage inhibitory compound 1, Placental bone morphogenetic protein, Prostate differentiation factor

    Purification

    Nag-1 Antibody Biotin Conjugated antibody was affinity purified from monospecific antiserum by immunoaffinity chromatography.

    Immunogen

    Immunogen: Nag-1 Antibody Biotin Conjugated antibody was prepared by repeated immunizations with a synthetic peptide corresponding to a region near the carboxy terminal end of human NAG-1 protein.  A residue of cysteine was added to facilitate coupling to KLH.

    Immunogen Type: Conjugated Peptide

    Isotype

    IgG
  • Application Notes

    Immunohistochemistry Dilution: 1:1,000-1:5,000

    Application Note: NAG1/GDF15 Antibody Biotin Conjugated antibody has been tested by ELISA and western blotting of human and mouse NAG-1 protein.  For detection of NAG-1 in human serum, a sandwich ELISA is suggested using this antibody in combination with anti-NAG-1/GDF15 (N-terminal), H variant or D variant specific antibodies.  Specific conditions for reactivity should be optimized by the end user.  Expect bands in Western blots of approximately 14 and 28 kDa in size corresponding to NAG-1 monomer and dimer, respectively, using the appropriate cell lysate or extract.

    Western Blot Dilution: 1:2,000-1:10,000

    ELISA Dilution: 1:20,000-1:100,000

    Restrictions

    For Research Use only
  • Format

    Lyophilized

    Reconstitution

    Reconstitution Volume: 100 μL

    Reconstitution Buffer: Restore with deionized water (or equivalent)

    Concentration

    1.0 mg/mL

    Buffer

    Buffer: 0.02 M Potassium Phosphate, 0.15 M Sodium Chloride, pH 7.2

    Stabilizer: 10 mg/mL Bovine Serum Albumin (BSA) - Immunoglobulin and Protease free

    Preservative: 0.01 % (w/v) Sodium Azide

    Preservative

    Sodium azide

    Precaution of Use

    This product contains Sodium azide: a POISONOUS AND HAZARDOUS SUBSTANCE which should be handled by trained staff only.

    Storage

    4 °C,-20 °C

    Storage Comment

    Store vial at 4° C prior to restoration.   For extended storage aliquot contents and freeze at -20° C or below.  Avoid cycles of freezing and thawing.  Centrifuge product if not completely clear after standing at room temperature.  This product is stable for several weeks at 4° C as an undiluted liquid.  Dilute only prior to immediate use. 

    Expiry Date

    12 months
  • Baek, Eling: "Changes in gene expression contribute to cancer prevention by COX inhibitors." in: Progress in lipid research, Vol. 45, Issue 1, pp. 1-16, (2006) (PubMed).

  • Target

    GDF15 (Growth Differentiation Factor 15 (GDF15))

    Alternative Name

    GDF15

    Background

    Background: Non-steroidal anti-inflammatory drug (NSAID) activated gene (NAG-1) is a member of the transforming growth factor-beta (TGF-beta) superfamily. NAG-1 is also known as Macrophage Inhibitory Cytokine-1 (MIC-1), Growth Differentiation Factor 15 (GDF15), Placental Bone Morphogenetic Protein (PLAB), or Prostate Derived Factor (PDF). NAG-1 is expressed in human placenta, prostate and colon. It possesses antitumorigenic and proapoptotic activities. NAG-1 expression is dramatically increased in inflammation, injury and malignancy. Increase of NAG-1 expression is a feature of many cancers including breast, colon, pancreas and prostate. In a number of studies, NAG-1 expression was increased by a number of NSAIDs. This increase in expression may correlate with the chemopreventive effect NSAIDs seem to have with certain cancers. NAG-1 expression is also induced by PPAR gamma ligands and by several dietary compounds such as conjugated linoleic acids (CLAs), naturally occurring fatty acids in ruminant food products, indoles, epicatechin gallate, and genistein. Induced expression of NAG-1 results in stimulation of apoptosis and inhibition of cell growth. Inhibition of NAG-1 induced expression by small interference RNA (siRNA) results in repression of induced apoptosis. NAG-1 expression is regulated by a numbers of transcription factors such as ERG-1 and Sp1. EGR-1 may be necessary for NSAID-induced NAG-1 expression. The study of expression of NAG-1 proteins, including variants, is important to define their potential role as serum biomarkers for cancer diagnosis, treatment monitoring, epidemiology study, and nutrition surveys.

    Gene ID

    9518

    UniProt

    Q99988

    Pathways

    SARS-CoV-2 Protein Interactome
You are here:
Chat with us!