Phone:
+1 877 302 8632
Fax:
+1 888 205 9894 (Toll-free)
E-Mail:
orders@antibodies-online.com

beta 2 Defensin antibody (AA 4-41)

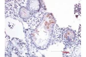
The Mouse Monoclonal anti-beta 2 Defensin antibody (Clone L12-4C-C2) (ABIN109996) specifically detects beta 2 Defensin in WB, ELISA and IHC (p). The antibody is reactive with Human samples.
Catalog No. ABIN109996
$672.10
Plus shipping costs $50.00
Shipping to: United States
Delivery in 5 to 8 Business Days

Quick Overview for beta 2 Defensin antibody (AA 4-41) (ABIN109996)

Target

See all beta 2 Defensin (BD-2) Antibodies
beta 2 Defensin (BD-2) (Defensin beta 2 (BD-2))

Reactivity

  • 33
  • 31
  • 16
  • 4
Human

Host

  • 54
  • 9
  • 4
  • 2
Mouse

Clonality

  • 59
  • 9
Monoclonal

Conjugate

  • 20
  • 6
  • 4
  • 4
  • 3
  • 3
  • 3
  • 3
  • 3
  • 3
  • 3
  • 3
  • 3
  • 3
  • 3
  • 1
  • 1
This beta 2 Defensin antibody is un-conjugated

Application

  • 39
  • 39
  • 31
  • 13
  • 11
  • 10
  • 9
  • 7
  • 5
  • 5
  • 4
  • 1
  • 1
Western Blotting (WB), ELISA, Immunohistochemistry (Paraffin-embedded Sections) (IHC (p))

Clone

L12-4C-C2
  • Binding Specificity

    • 31
    • 17
    • 9
    • 1
    • 1
    AA 4-41

    Specificity

    Synthetic human 61538-Defensin 2 (aa 4-41)

    Immunogen

    Synthetic human 61538-Defensin 2 (aa 4-41) (DPVTCLKSGAICHPVFCPRRYKQIGTCGLPGTKCCKKP)

    Isotype

    IgG1
  • Application Notes

    ELISA, Western Blotting (5ug/ml), Immunohistochemistry (Paraffin-embedded sections) (1:2000)

    Restrictions

    For Research Use only
  • Format

    Lyophilized

    Reconstitution

    Resuspend in aqua bidest.

    Storage

    4 °C
  • Target

    beta 2 Defensin (BD-2) (Defensin beta 2 (BD-2))

    Alternative Name

    Beta-Defensin 2

    Background

    Cell culture supernatant, protein G purified, 50 mM TRIS pH 7,4
You are here:
Chat with us!