The Mouse Monoclonal anti-FABP1 antibody (Clone L2B10) (ABIN1107159) specifically detects FABP1 in WB, EIA and IHC (fro).
The antibody is reactive with Human, Rat, Pig, Dog and Baboon samples.
FABP1
Reactivity: Human
WB, IHC, ELISA
Host: Rabbit
Polyclonal
unconjugated
Application Notes
Optimal working dilution should be determined by the investigator.
Restrictions
For Research Use only
Concentration
0.1 mg/mL
Buffer
PBS, 0.02 % sodium azide, 0.1 % bovine serum albumin
Preservative
Sodium azide
Precaution of Use
This product contains sodium azide: a POISONOUS AND HAZARDOUS SUBSTANCE which should be handled by trained staff only.
Storage
4 °C
Storage Comment
Store at 2 - 8 °C.
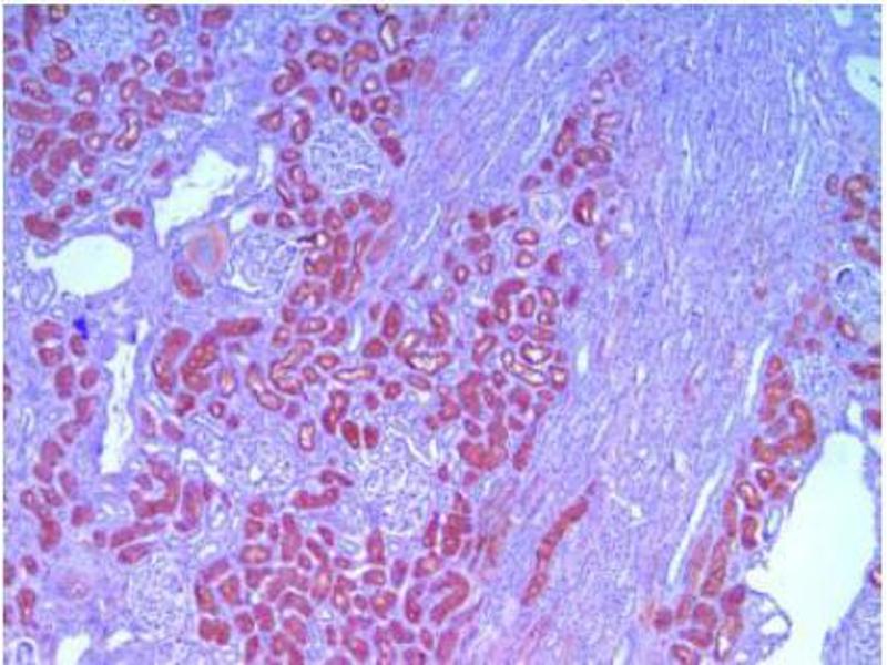
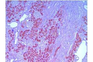
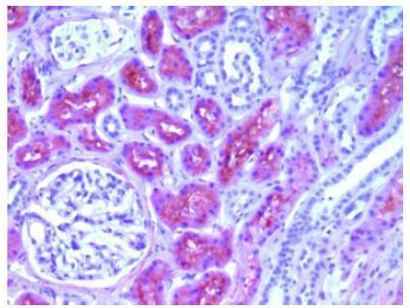
Target
FABP1
(Fatty Acid Binding Protein 1, Liver (FABP1))
Alternative Name
FABP1
Background
The L-FABP protein is derived from the human FABP1 gene. FABPs are small intracellular proteins (~13-14 kDa) with a high degree of tissue specificity that bind long chain fatty acids. They are abundantly present in various cell types and play an important role in the intracellular utilization of fatty acids, transport and metabolism. There are at least nine distinct types of FABP, each showing a specific pattern of tissue expression. Due to its small size, FABP leaks rapidly out of ischemically damaged necrotic cells leading to a rise in serum levels. Ischemically damaged tissues are characterized histologically by absence (or low presence) of FABP facilitating recognition of such areas. L-FABP is localized in the liver, kidney and intestinal epithelium.Synonyms: FABPL, Fatty acid-binding protein 1, L-FABP, Liver-type fatty acid-binding protein