Phone:
+1 877 302 8632
Fax:
+1 888 205 9894 (Toll-free)
E-Mail:
orders@antibodies-online.com

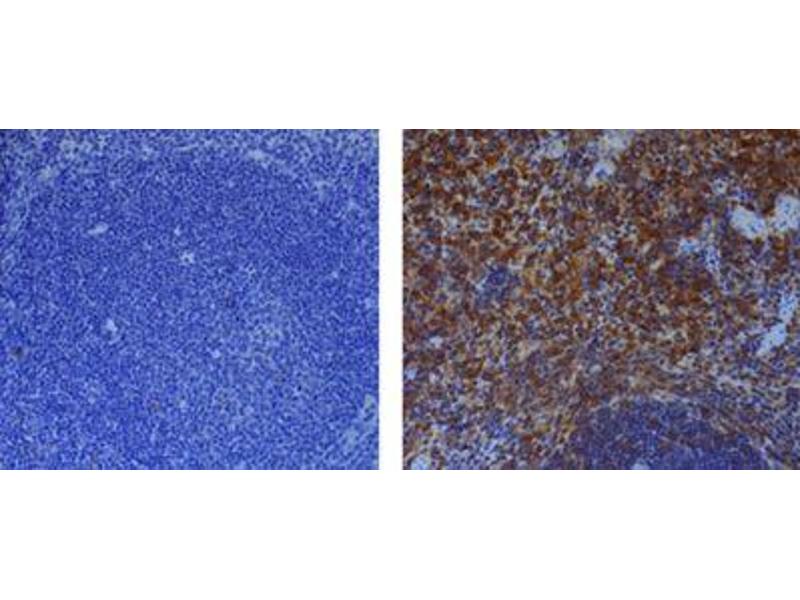
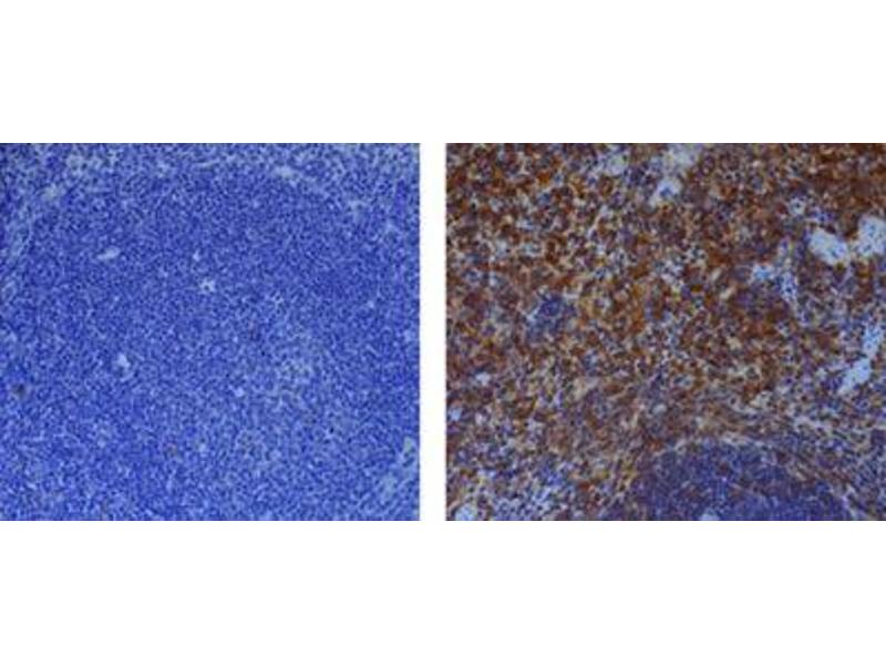
Caspase 1 p20 antibody

There are 57+ publications for this product available. The Mouse Monoclonal anti-Caspase 1 p20 antibody is suitable to detect Caspase 1 p20 in samples from Mouse. It has been validated for WB, IP and IHC.
Catalog No. ABIN1169381
$695.17
Plus shipping costs $50.00
100 μg
Shipping to: United States
Delivery in 5 to 10 Business Days

Quick Overview for Caspase 1 p20 antibody (ABIN1169381)

Target

Caspase 1 p20

Reactivity

  • 52
  • 33
  • 32
Mouse

Host

  • 50
  • 3
Mouse

Clonality

  • 50
  • 3
Monoclonal

Conjugate

  • 6
  • 5
  • 3
  • 3
  • 3
  • 3
  • 3
  • 3
  • 3
  • 3
  • 3
  • 3
  • 3
  • 3
  • 3
  • 3
This Caspase 1 p20 antibody is un-conjugated

Application

  • 42
  • 37
  • 26
  • 26
  • 11
  • 9
  • 6
  • 2
  • 1
  • 1
Western Blotting (WB), Immunoprecipitation (IP), Immunohistochemistry (IHC)

Clone

Casper-1
  • Specificity

    Recognizes endogenous full-length and activated (p20 fragment) mouse caspase-1.

    Cross-Reactivity

    Mouse (Murine)

    Purification

    Purified from concentrated hybridoma tissue culture supernatant.

    Purity

    >95 % (SDS-PAGE)

    Immunogen

    Recombinant mouse caspase-1.

    Isotype

    IgG1
  • Application Notes

    Optimal working dilution should be determined by the investigator.

    Restrictions

    For Research Use only
  • Format

    Liquid

    Concentration

    Lot specific

    Buffer

    In PBS containing 10 % glycerol and 0.02 % sodium azide.

    Preservative

    Sodium azide

    Precaution of Use

    This product contains Sodium azide: a POISONOUS AND HAZARDOUS SUBSTANCE which should be handled by trained staff only.

    Storage

    4 °C,-20 °C

    Storage Comment

    Short Term Storage: +4°C
    Long Term Storage: -20°C
    Stable for at least 1 year after receipt when stored at -20°C.

    Expiry Date

    12 months
  • Yamazaki, Ohshio, Sugamata, Morita: "Lactic acid bacterium, Lactobacillus paracasei KW3110, suppresses inflammatory stress-induced caspase-1 activation by promoting interleukin-10 production in mouse and human immune cells." in: PLoS ONE, Vol. 15, Issue 8, pp. e0237754, (2020) (PubMed).

    Hooftman, Angiari, Hester, Corcoran, Runtsch, Ling, Ruzek, Slivka, McGettrick, Banahan, Hughes, Irvine, Fischer, ONeill: "The Immunomodulatory Metabolite Itaconate Modifies NLRP3 and Inhibits Inflammasome Activation." in: Cell metabolism, Vol. 32, Issue 3, pp. 468-478.e7, (2020) (PubMed).

    de Vasconcelos, Van Opdenbosch, Van Gorp, Martín-Pérez, Zecchin, Vandenabeele, Lamkanfi: "An Apoptotic Caspase Network Safeguards Cell Death Induction in Pyroptotic Macrophages." in: Cell reports, Vol. 32, Issue 4, pp. 107959, (2020) (PubMed).

    Heilig, Dilucca, Boucher, Chen, Hancz, Demarco, Shkarina, Broz: "Caspase-1 cleaves Bid to release mitochondrial SMAC and drive secondary necrosis in the absence of GSDMD." in: Life science alliance, Vol. 3, Issue 6, (2020) (PubMed).

    Wang, Li, Liu, Peng, Zhu, Tu, Yu, Li: "CircHIPK3 Promotes Pyroptosis in Acinar Cells Through Regulation of the miR-193a-5p/GSDMD Axis." in: Frontiers in medicine, Vol. 7, pp. 88, (2020) (PubMed).

    Donado, Cao, Simmons, Croker, Brennan, Brenner: "A Two-Cell Model for IL-1β Release Mediated by Death-Receptor Signaling." in: Cell reports, Vol. 31, Issue 1, pp. 107466, (2020) (PubMed).

    Place, Briard, Samir, Karki, Bhattacharya, Guy, Peters, Frase, Vogel, Neale, Yamamoto, Kanneganti: "Interferon inducible GBPs restrict Burkholderia thailandensis motility induced cell-cell fusion." in: PLoS pathogens, Vol. 16, Issue 3, pp. e1008364, (2020) (PubMed).

    Subbarao, Sanchez-Garrido, Krishnan, Shenoy, Robertson: "Genetic and pharmacological inhibition of inflammasomes reduces the survival of Mycobacterium tuberculosis strains in macrophages." in: Scientific reports, Vol. 10, Issue 1, pp. 3709, (2020) (PubMed).

    Cohen, Baram, Edry-Botzer, Munitz, Salomon, Gerlic: "Vibrio pore-forming leukocidin activates pyroptotic cell death via the NLRP3 inflammasome." in: Emerging microbes & infections, Vol. 9, Issue 1, pp. 278-290, (2020) (PubMed).

    Wang, Xu, Zhao, Yin, Liu, Chen, Hou: "Arf1-mediated lipid metabolism sustains cancer cells and its ablation induces anti-tumor immune responses in mice." in: Nature communications, Vol. 11, Issue 1, pp. 220, (2020) (PubMed).

    Krause, Daily, Estfanous, Hamilton, Badr, Abu Khweek, Hegazi, Anne, Klamer, Zhang, Gavrilin, Pancholi, Amer: "Caspase-11 counteracts mitochondrial ROS-mediated clearance of Staphylococcus aureus in macrophages." in: EMBO reports, Vol. 20, Issue 12, pp. e48109, (2020) (PubMed).

    de Vasconcelos, Vliegen, Gonçalves, De Hert, Martín-Pérez, Van Opdenbosch, Jallapally, Geiss-Friedlander, Lambeir, Augustyns, Van Der Veken, De Meester, Lamkanfi: "DPP8/DPP9 inhibition elicits canonical Nlrp1b inflammasome hallmarks in murine macrophages." in: Life science alliance, Vol. 2, Issue 1, (2020) (PubMed).

    Hamarsheh, Osswald, Saller, Unger, De Feo, Vinnakota, Konantz, Uhl, Becker, Lübbert, Shoumariyeh, Schürch, Andrieux, Venhoff, Schmitt-Graeff, Duquesne, Pfeifer, Cooper, Lengerke, Boerries, Duyster et al.: "Oncogenic KrasG12D causes myeloproliferation via NLRP3 inflammasome activation. ..." in: Nature communications, Vol. 11, Issue 1, pp. 1659, (2020) (PubMed).

    Wooff, Fernando, Wong, Dietrich, Aggio-Bruce, Chu-Tan, Robertson, Doyle, Man, Natoli: "Caspase-1-dependent inflammasomes mediate photoreceptor cell death in photo-oxidative damage-induced retinal degeneration." in: Scientific reports, Vol. 10, Issue 1, pp. 2263, (2020) (PubMed).

    Cai, Ge, Mennone, Hoque, Ouyang, Boyer: "Inflammasome Is Activated in the Liver of Cholestatic Patients and Aggravates Hepatic Injury in Bile Duct-Ligated Mouse." in: Cellular and molecular gastroenterology and hepatology, Vol. 9, Issue 4, pp. 679-688, (2020) (PubMed).

    Deng, Guo, Tam, Johnson, Brickey, New, Lenox, Shi, Golenbock, Koller, McKinnon, Beutler, Ting: "Platelet-activating factor (PAF) mediates NLRP3-NEK7 inflammasome induction independently of PAFR." in: The Journal of experimental medicine, Vol. 216, Issue 12, pp. 2838-2853, (2020) (PubMed).

    Sharif, Wang, Wang, Magupalli, Andreeva, Qiao, Hauenstein, Wu, Núñez, Mao, Wu: "Structural mechanism for NEK7-licensed activation of NLRP3 inflammasome." in: Nature, Vol. 570, Issue 7761, pp. 338-343, (2020) (PubMed).

    Xue, Xi, Liu, Guo, Zhang, Zhang, Li, Yang, Zhou, Yang, Zhang, Zhang, Gu, Yang, Da, Yao, Duo, Zhang: "miR-21 promotes NLRP3 inflammasome activation to mediate pyroptosis and endotoxic shock." in: Cell death & disease, Vol. 10, Issue 6, pp. 461, (2020) (PubMed).

    Sanchez-Lopez, Zhong, Stubelius, Sweeney, Booshehri, Antonucci, Liu-Bryan, Lodi, Terkeltaub, Lacal, Murphy, Hoffman, Tiziani, Guma, Karin: "Choline Uptake and Metabolism Modulate Macrophage IL-1β and IL-18 Production." in: Cell metabolism, Vol. 29, Issue 6, pp. 1350-1362.e7, (2020) (PubMed).

    Mamantopoulos, Frising, Asaoka, van Loo, Lamkanfi, Wullaert: "El Tor Biotype Vibrio cholerae Activates the Caspase-11-Independent Canonical Nlrp3 and Pyrin Inflammasomes." in: Frontiers in immunology, Vol. 10, pp. 2463, (2019) (PubMed).

  • Target

    Caspase 1 p20

    Alternative Name

    Caspase-1 p20

    Background

    Caspase-1 is the best-described inflammatory caspase. It processes the cytokines interleukin-1beta (IL-1beta) and IL-18 and induces pyroptotic cell death. Caspase-1 is activated by multiprotein complexes called Inflammasomes in response to numerous stimuli that are detected through distinct inflammasomes. NLRC4 responds to cytosolic flagellin, murine NLRP1b responds to anthrax lethal toxin, AIM2 responds to cytosolic DNA and NLRP3 responds to a variety of agonists including crystals.

    UniProt

    P29452
You are here:
Chat with us!