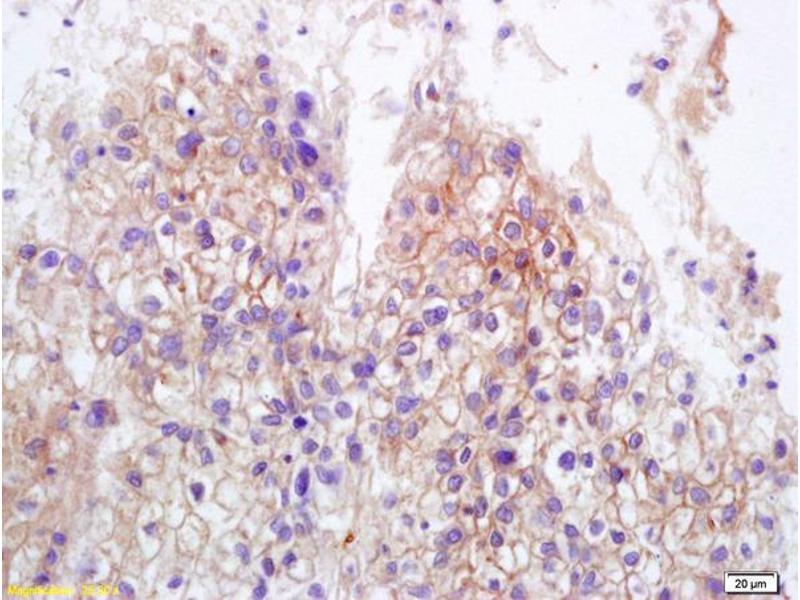
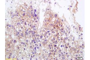
MICA/B antibody (AA 81-180)
Quick Overview for MICA/B antibody (AA 81-180) (ABIN1385296)
Target
Reactivity
Host
Clonality
Conjugate
Application
-
-
Binding Specificity
- AA 81-180
-
Cross-Reactivity
- Human
-
Purification
- Purified by Protein A.
-
Immunogen
- KLH conjugated synthetic peptide derived from human MICB
-
Isotype
- IgG
-
-
-
-
Application Notes
-
ELISA 1:500-1000
IHC-P 1:200-400
IHC-F 1:100-500
IF(IHC-P) 1:50-200
IF(IHC-F) 1:50-200
IF(ICC) 1:50-200 -
Restrictions
- For Research Use only
-
-
-
Format
- Liquid
-
Concentration
- 1 μg/μL
-
Buffer
- 0.01M TBS( pH 7.4) with 1 % BSA, 0.02 % Proclin300 and 50 % Glycerol.
-
Preservative
- ProClin
-
Precaution of Use
- This product contains ProClin: a POISONOUS AND HAZARDOUS SUBSTANCE, which should be handled by trained staff only.
-
Storage
- 4 °C,-20 °C
-
Storage Comment
- Shipped at 4°C. Store at -20°C for one year. Avoid repeated freeze/thaw cycles.
-
Expiry Date
- 12 months
-
-
- MICA/B (MICA/MICB) (MHC Class I Polypeptide-Related Sequence A/B (MICA/MICB))
-
Alternative Name
- MICA+MICB
-
Background
-
Synonyms: MICA: MHC class I polypeptide-related sequence A, MIC-A, HLA class I antigen MICB: MHC class I polypeptide-related sequence B, MIC-B, MHC class I mic-B antigen
Background: Acts as a stress-induced self-antigen that is recognized by gamma delta T-cells. Ligand for the KLRK1/NKG2D receptor. Binding to KLRK1 leads to cell lysis.
-
Gene ID
- 100507436, 4277
-
UniProt
- Q29983, Q29980
Target
-