DAB2 antibody (pSer24)
Quick Overview for DAB2 antibody (pSer24) (ABIN1386225)
Target
See all DAB2 AntibodiesReactivity
Host
Clonality
Conjugate
Application
-
-
Binding Specificity
- pSer24
-
Cross-Reactivity
- Mouse
-
Predicted Reactivity
- Human,Rat,Dog,Cow,Pig
-
Purification
- Purified by Protein A.
-
Immunogen
- KLH conjugated synthetic phosphopeptide derived from human DAB2 around the phosphorylation site of Ser24 [AP(p-S)KK]
-
Isotype
- IgG
-
-
-
-
Application Notes
-
WB 1:300-5000
ELISA 1:500-1000
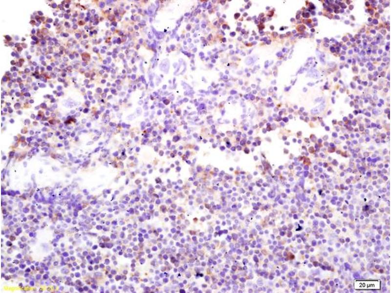
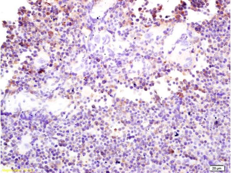
IHC-P 1:200-400
IHC-F 1:100-500
IF(IHC-P) 1:50-200
IF(IHC-F) 1:50-200
IF(ICC) 1:50-200
ICC 1:100-500 -
Restrictions
- For Research Use only
-
-
-
Format
- Liquid
-
Concentration
- 1 μg/μL
-
Buffer
- 0.01M TBS( pH 7.4) with 1 % BSA, 0.02 % Proclin300 and 50 % Glycerol.
-
Preservative
- ProClin
-
Precaution of Use
- This product contains ProClin: a POISONOUS AND HAZARDOUS SUBSTANCE, which should be handled by trained staff only.
-
Storage
- 4 °C,-20 °C
-
Storage Comment
- Shipped at 4°C. Store at -20°C for one year. Avoid repeated freeze/thaw cycles.
-
Expiry Date
- 12 months
-
-
- DAB2 (Disabled Homolog 2, Mitogen-Responsive phosphoprotein (Drosophila) (DAB2))
-
Alternative Name
- DAB2
-
Background
-
Synonyms: DOC2, DOC-2, Disabled homolog 2, Adaptor molecule disabled-2, Differentially expressed in ovarian carcinoma 2, Differentially-expressed protein 2, DAB2
Background: Adapter protein that functions as clathrin-associated sorting protein (CLASP) required for clathrin-mediated endocytosis of selected cargo proteins. Can bind and assemble clathrin, and binds simultaneously to phosphatidylinositol 4,5-bisphosphate (PtdIns(4,5)P2) and cargos containg non-phosphorylated NPXY internalization motifs, such as the LDL receptor, to recruit them to clathrin-coated pits. Can function in clathrin-mediated endocytosis independently of the AP-2 complex. Involved in endocytosis of integrin beta-1, this function seems to redundant with the AP-2 complex and seems to require DAB2 binding to endocytosis accessory EH domain-containing proteins such as EPS15, EPS15L1 and ITSN1. Involved in endocytosis of cystic fibrosis transmembrane conductance regulator/CFTR. Involved in endocytosis of megalin/LRP2 lipoprotein receptor during embryonal development. Required for recycling of the TGF-beta receptor. Involved in CFTR trafficking to the late endosome. Involved in several receptor-mediated signaling pathways. Involved in TGF-beta receptor signaling and facilitates phosphorylation of the signal transducer SMAD2. Mediates TFG-beta-stimulated JNK activation. May inhibit the canoniocal Wnt/beta-catenin signaling pathway by stabilizing the beta-catenin destruction complex through a competing association with axin preventing its dephosphorylation through protein phosphatase 1 (PP1). Sequesters LRP6 towards clathrin-mediated endocytosis, leading to inhibition of Wnt/beta-catenin signaling. May activate non-canonical Wnt signaling.
-
Gene ID
- 1601
-
UniProt
- P98082
-
Pathways
- Intracellular Steroid Hormone Receptor Signaling Pathway, Regulation of Intracellular Steroid Hormone Receptor Signaling, Regulation of Hormone Metabolic Process, Regulation of Hormone Biosynthetic Process
Target
-