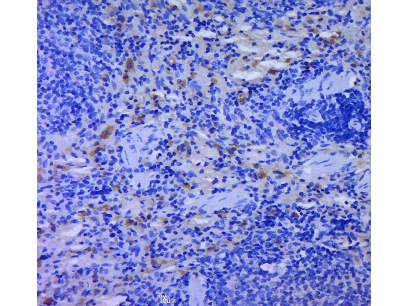
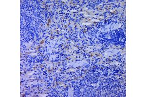
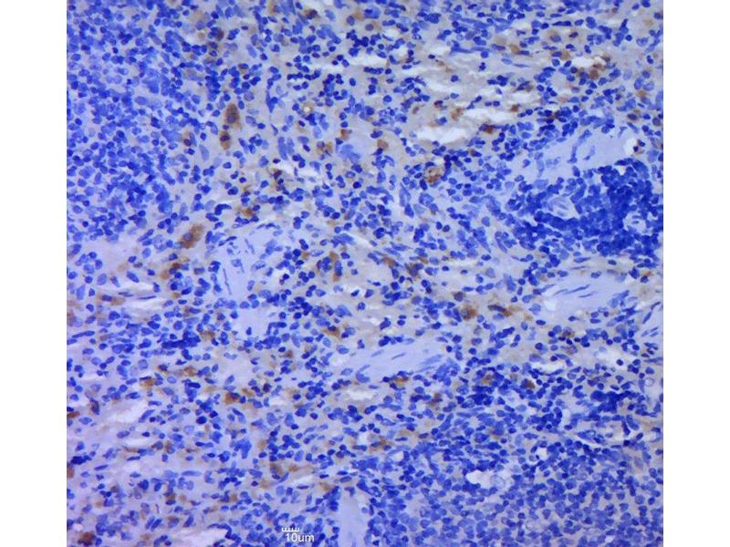
RASSF5 antibody (AA 321-418)
Quick Overview for RASSF5 antibody (AA 321-418) (ABIN1386228)
Target
See all RASSF5 AntibodiesReactivity
Host
Clonality
Conjugate
Application
-
-
Binding Specificity
- AA 321-418
-
Predicted Reactivity
- Human,Mouse,Rat,Dog,Cow,Pig
-
Purification
- Purified by Protein A.
-
Immunogen
- KLH conjugated synthetic peptide derived from human RASSF5
-
Isotype
- IgG
-
-
-
-
Application Notes
-
ELISA 1:500-1000
IHC-P 1:200-400
IHC-F 1:100-500
IF(IHC-P) 1:50-200
IF(IHC-F) 1:50-200
IF(ICC) 1:50-200
ICC 1:100-500 -
Restrictions
- For Research Use only
-
-
-
Format
- Liquid
-
Concentration
- 1 μg/μL
-
Buffer
- 0.01M TBS( pH 7.4) with 1 % BSA, 0.02 % Proclin300 and 50 % Glycerol.
-
Preservative
- ProClin
-
Precaution of Use
- This product contains ProClin: a POISONOUS AND HAZARDOUS SUBSTANCE, which should be handled by trained staff only.
-
Storage
- 4 °C,-20 °C
-
Storage Comment
- Shipped at 4°C. Store at -20°C for one year. Avoid repeated freeze/thaw cycles.
-
Expiry Date
- 12 months
-
-
-
: "Rassf5 and Ndr kinases regulate neuronal polarity through Par3 phosphorylation in a novel pathway." in: Journal of cell science, Vol. 127, Issue Pt 16, pp. 3463-76, (2014) (PubMed).
-
-
- RASSF5 (Ras Association (RalGDS/AF-6) Domain Family Member 5 (RASSF5))
-
Alternative Name
- RASSF5
-
Background
-
Synonyms: RAPL, Maxp1, NORE1, NORE1A, NORE1B, RASSF3, Ras association domain-containing protein 5, New ras effector 1, Regulator for cell adhesion and polarization enriched in lymphoid tissues, RASSF5
Background: Potential tumor suppressor. Seems to be involved in lymphocyte adhesion by linking RAP1A activation upon T-cell receptor or chemokine stimulation to integrin activation. Isoform 2 stimulates lymphocyte polarization and the patch-like distribution of ITGAL/LFA-1, resulting in an enhanced adhesion to ICAM1. Together with RAP1A may participate in regulation of microtubule growth. The association of isoform 2 with activated RAP1A is required for directional movement of endothelial cells during wound healing. May be involved in regulation of Ras apoptotic function. The RASSF5-STK4/MST1 complex may mediate HRAS and KRAS induced apoptosis.
-
Gene ID
- 83593
-
UniProt
- Q8WWW0
-
Pathways
- TCR Signaling
Target
-