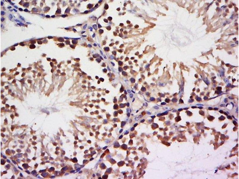
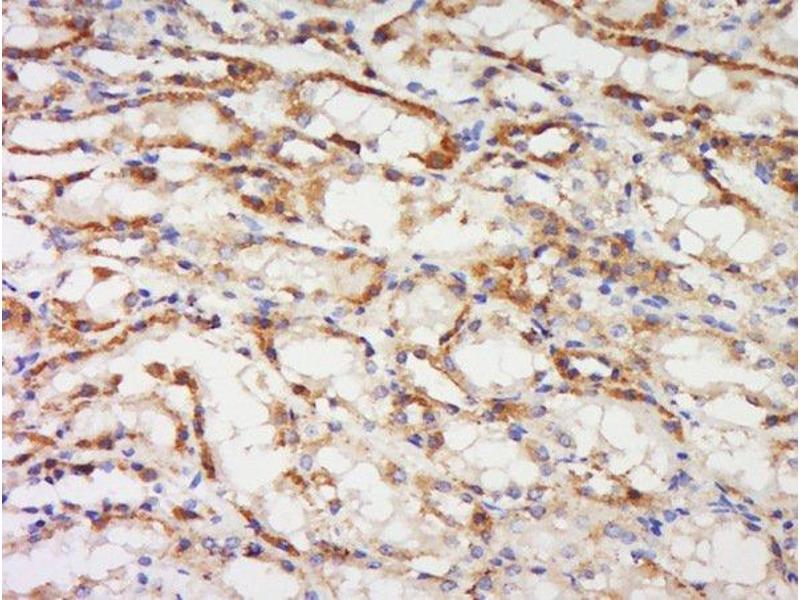
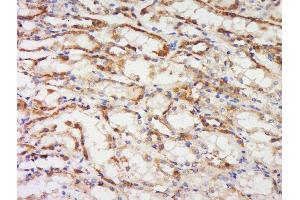
NEK9 antibody
Quick Overview for NEK9 antibody (ABIN1387020)
Target
See all NEK9 AntibodiesReactivity
Host
Clonality
Conjugate
Application
-
-
Cross-Reactivity
- Human, Mouse, Rat
-
Purification
- Purified by Protein A.
-
Immunogen
- KLH conjugated synthetic peptide derived from human NEK9
-
Isotype
- IgG
-
-
-
-
Application Notes
-
WB 1:300-5000
IHC-P 1:200-400
IF(IHC-P) 1:50-200 -
Restrictions
- For Research Use only
-
-
-
Format
- Liquid
-
Concentration
- 1 μg/μL
-
Buffer
- 0.01M TBS( pH 7.4) with 1 % BSA, 0.02 % Proclin300 and 50 % Glycerol.
-
Preservative
- ProClin
-
Precaution of Use
- This product contains ProClin: a POISONOUS AND HAZARDOUS SUBSTANCE, which should be handled by trained staff only.
-
Storage
- 4 °C,-20 °C
-
Storage Comment
- Shipped at 4°C. Store at -20°C for one year. Avoid repeated freeze/thaw cycles.
-
Expiry Date
- 12 months
-
-
- NEK9 (NIMA (Never in Mitosis Gene A)- Related Kinase 9 (NEK9))
-
Alternative Name
- NEK9
-
Background
-
Synonyms: Nek 8, NEK 9, Nek8, nek9, Nek-8, nek-9, NEK9_HUMAN, NERCC 1, Nercc 1 kinase, NERCC, NERCC1, Nercc1 kinase, Never in mitosis A related kinase 9, Never in mitosis A-related kinase 9, NIMA never in mitosis gene a related kinase 9, NIMA related kinase 8, NIMA related kinase 9, NIMA related kinase Nek 8, NIMA related kinase Nek 9, NIMA related kinase Nek8, NIMA related kinase Nek9, NimA related protein kinase 9, NIMA-related kinase 8, NimA-related protein kinase 9, Serine/threonine protein kinase Nek 9, Serine/threonine protein kinase Nek9, Serine/threonine-protein kinase Nek9.
Background: Pleiotropic regulator of mitotic progression, participating in the control of spindle dynamics and chromosome separation. Phosphorylates different histones, myelin basic protein, beta-casein, and BICD2. Phosphorylates histone H3 on serine and threonine residues and beta-casein on serine residues. Important for G1/S transition and S phase progression.
-
Gene ID
- 91754
-
Pathways
- SARS-CoV-2 Protein Interactome, The Global Phosphorylation Landscape of SARS-CoV-2 Infection
Target
-