APEX1 antibody (AA 1-242)
Quick Overview for APEX1 antibody (AA 1-242) (ABIN1490625)
Target
See all APEX1 AntibodiesReactivity
Host
Clonality
Conjugate
Application
Clone
-
-
Binding Specificity
- AA 1-242
-
Specificity
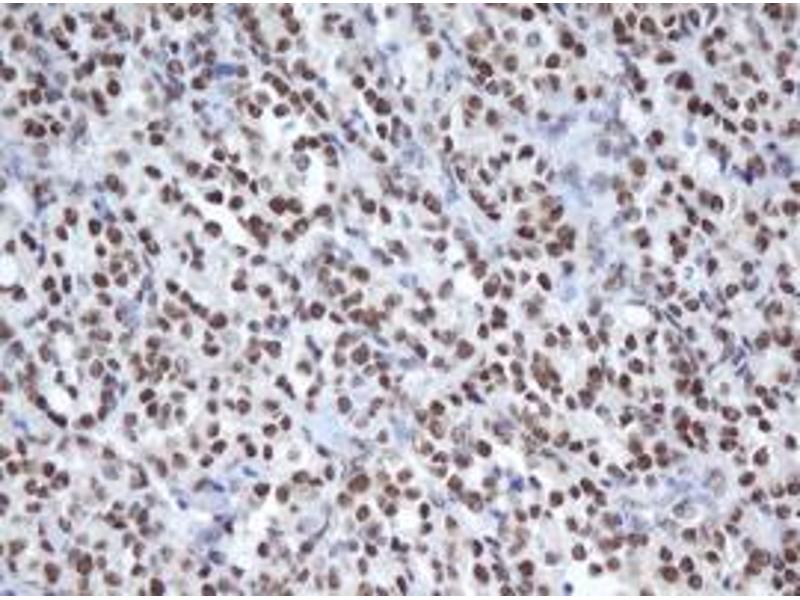
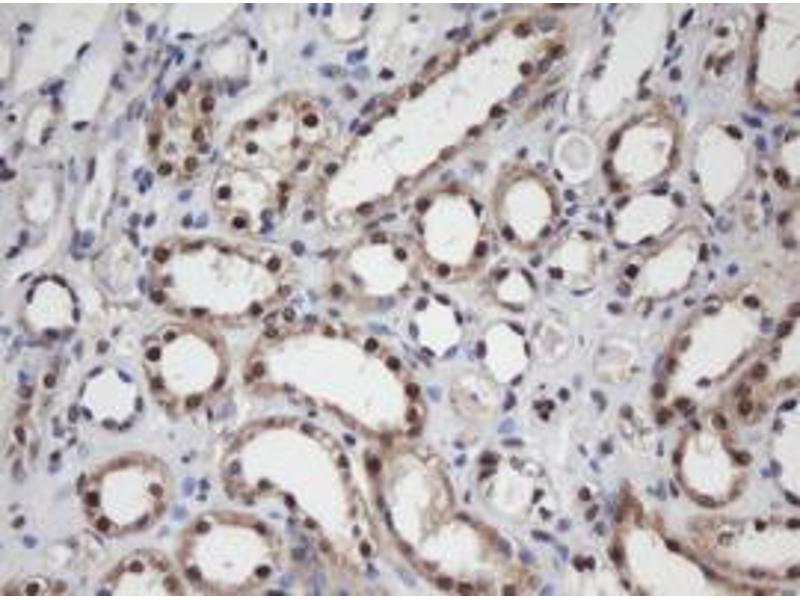
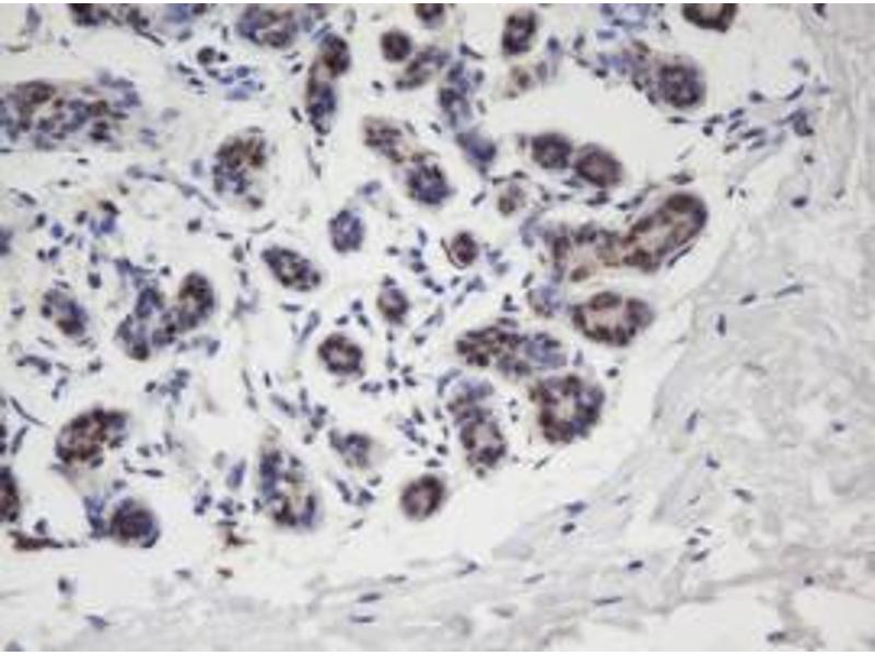
- Human APEX1 / APE1
-
Purification
- Protein A/G purified
-
Immunogen
-
Human recombinant protein fragment corresponding to amino acids 1-242 of human APEX1 (NP_001632) produced in E. coli.
Type of Immunogen: Recombinant protein -
Isotype
- IgG1
-
-
-
-
Application Notes
- Approved: IHC, IHC-P (1:150), WB (1:2000)
-
Comment
-
Target Species of Antibody: Human
-
Restrictions
- For Research Use only
-
-
-
Format
- Liquid
-
Concentration
- Lot specific
-
Buffer
- PBS, pH 7.3, 1 % BSA, 50 % glycerol, 0.02 % sodium azide
-
Preservative
- Sodium azide
-
Precaution of Use
- This product contains Sodium azide: a POISONOUS AND HAZARDOUS SUBSTANCE which should be handled by trained staff only.
-
Handling Advice
- Minimize freezing and thawing.
-
Storage
- -20 °C
-
Storage Comment
- Store at -20°C. Avoid freeze-thaw cycles.
-
-
- APEX1 (Apurinic/Apyrimidinic Endonuclease 1 (APEX1))
-
Alternative Name
- APEX1 / APE1
-
Background
-
Name/Gene ID: APEX1
Synonyms: APEX1, AP endonuclease class I, AP lyase, APE, APE-1, APEN, APE1, APEX nuclease, Redox factor-1, AP endonuclease 1, APEX, APX, Protein REF-1, REF-1, REF1 -
Gene ID
- 328
-
NCBI Accession
- NP_001632
-
UniProt
- P27695
-
Pathways
- DNA Damage Repair, Chromatin Binding, Cell RedoxHomeostasis, Smooth Muscle Cell Migration, Positive Regulation of Response to DNA Damage Stimulus
Target
-