Phone:
+1 877 302 8632
Fax:
+1 888 205 9894 (Toll-free)
E-Mail:
orders@antibodies-online.com

RUVBL2 antibody (AA 113-370)

This Mouse Monoclonal antibody specifically detects RUVBL2 in WB, IHC and IHC (p). It exhibits reactivity toward Human, Mouse, Rat, Dog and Monkey.
Catalog No. ABIN1490851
$704.73
Plus shipping costs $50.00
100 μL
Shipping to: United States
Delivery in 11 to 15 Business Days

Quick Overview for RUVBL2 antibody (AA 113-370) (ABIN1490851)

Target

See all RUVBL2 Antibodies
RUVBL2 (RuvB-Like 2 (E. Coli) (RUVBL2))

Reactivity

  • 64
  • 34
  • 21
  • 9
  • 7
  • 6
  • 6
  • 6
  • 3
  • 2
  • 2
  • 1
  • 1
Human, Mouse, Rat, Dog, Monkey

Host

  • 58
  • 6
Mouse

Clonality

  • 57
  • 7
Monoclonal

Conjugate

  • 40
  • 4
  • 3
  • 3
  • 2
  • 2
  • 2
  • 2
  • 2
  • 2
  • 1
  • 1
This RUVBL2 antibody is un-conjugated

Application

  • 39
  • 22
  • 20
  • 12
  • 8
  • 7
  • 3
  • 2
  • 1
  • 1
  • 1
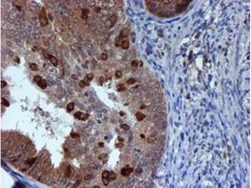
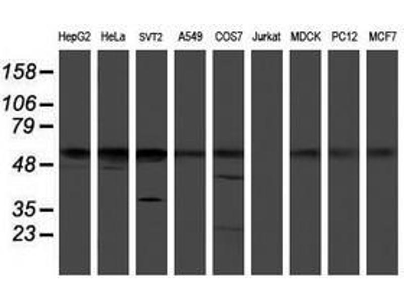
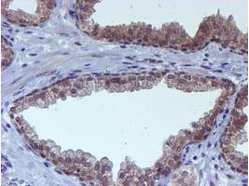
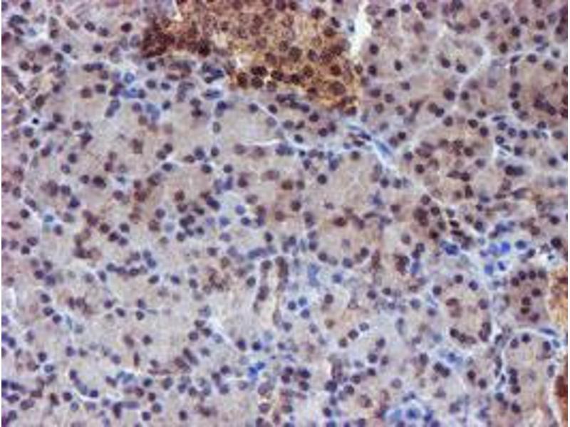
Western Blotting (WB), Immunohistochemistry (IHC), Immunohistochemistry (Paraffin-embedded Sections) (IHC (p))

Clone

1D9
  • Binding Specificity

    • 7
    • 5
    • 4
    • 4
    • 4
    • 3
    • 3
    • 2
    • 2
    • 1
    • 1
    • 1
    • 1
    • 1
    AA 113-370

    Specificity

    Human TIP48 / RUVBL2

    Purification

    Protein A/G purified

    Immunogen

    Human recombinant protein fragment corresponding to amino acids 113-370 of human RUVBL2(NP_006657) produced in HEK293T cell.

    Type of Immunogen: Recombinant protein

    Isotype

    IgG1
  • Application Notes

    Approved: IHC, IHC-P (1:150), WB (1:500 - 1:2000)

    Comment

    Target Species of Antibody: Human

    Restrictions

    For Research Use only
  • Format

    Liquid

    Concentration

    Lot specific

    Buffer

    PBS,  pH 7.3, 1 % BSA, 50 % glycerol, 0.02 % sodium azide

    Preservative

    Sodium azide

    Precaution of Use

    This product contains Sodium azide: a POISONOUS AND HAZARDOUS SUBSTANCE which should be handled by trained staff only.

    Handling Advice

    Minimize freezing and thawing.

    Storage

    -20 °C

    Storage Comment

    Store at -20°C. Avoid freeze-thaw cycles.
  • Target

    RUVBL2 (RuvB-Like 2 (E. Coli) (RUVBL2))

    Alternative Name

    TIP48 / RUVBL2

    Background

    Name/Gene ID: RUVBL2

    Synonyms: RUVBL2, 48 kDa TBP-interacting protein, ECP-51, ECP51, INO80J, INO80 complex subunit J, REPTIN, Reptin52, RuvB-like 2 (E. coli), RuvB-like 2, TIP49B, TIP48, RuvB (E coli homolog)-like 2, RVB2, CGI-46, Repressing pontin 52, Reptin 52, Reptin52 protein, TAP54-beta, TBP-interacting protein, 48-KD, TIH2

    Gene ID

    10856

    NCBI Accession

    NP_006657

    UniProt

    Q9Y230

    Pathways

    Telomere Maintenance
You are here:
Chat with us!