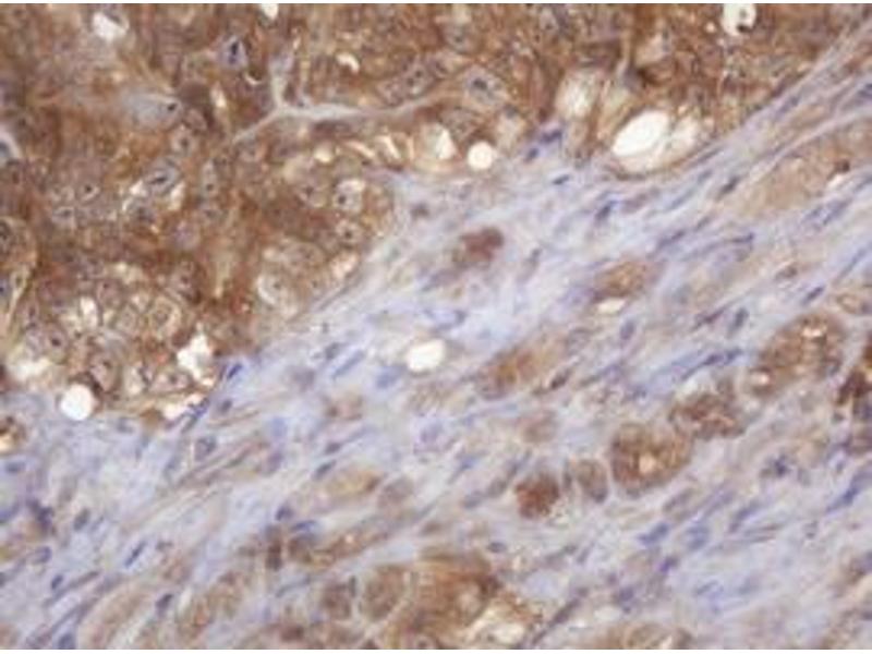
COPS6 antibody (AA 58-327)
Quick Overview for COPS6 antibody (AA 58-327) (ABIN1491602)
Target
See all COPS6 AntibodiesReactivity
Host
Clonality
Conjugate
Application
Clone
-
-
Binding Specificity
- AA 58-327
-
Specificity
- Human CSN6 / HVIP
-
Purification
- Protein A/G purified
-
Immunogen
-
Human recombinant protein fragment corresponding to amino acids 58-327 of human COPS6(NP_006824) produced in E. coli.
Type of Immunogen: Recombinant protein -
Isotype
- IgG1
-
-
-
-
Application Notes
- Approved: IHC, IHC-P (1:150), WB (1:2000)
-
Comment
-
Target Species of Antibody: Human
-
Restrictions
- For Research Use only
-
-
-
Format
- Liquid
-
Concentration
- Lot specific
-
Buffer
- PBS, pH 7.3, 1 % BSA, 50 % glycerol, 0.02 % sodium azide
-
Preservative
- Sodium azide
-
Precaution of Use
- This product contains Sodium azide: a POISONOUS AND HAZARDOUS SUBSTANCE which should be handled by trained staff only.
-
Storage
- -20 °C
-
Storage Comment
- Store at -20°C. Avoid freeze-thaw cycles.
-
-
- COPS6 (COP9 Signalosome Complex Subunit 6 (COPS6))
-
Alternative Name
- COPS6 / CSN6
-
Background
-
Name/Gene ID: COPS6
Synonyms: COPS6, CSN6, H_NH0506M12.12, MOV34 homolog, 34 kD, MOV34 homolog, MOV34-34KD, Vpr-interacting protein, SGN6, Signalosome subunit 6, HVIP -
Gene ID
- 10980
-
NCBI Accession
- NP_006824
-
Pathways
- Cell Division Cycle
Target
-