ACAA2 antibody
Quick Overview for ACAA2 antibody (ABIN1495723)
Target
See all ACAA2 AntibodiesReactivity
Host
Clonality
Conjugate
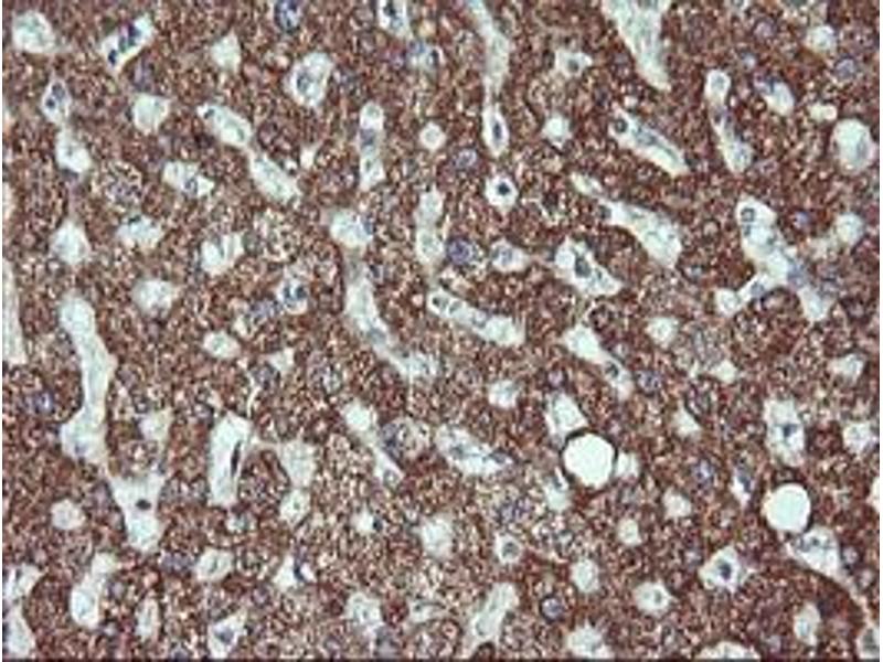
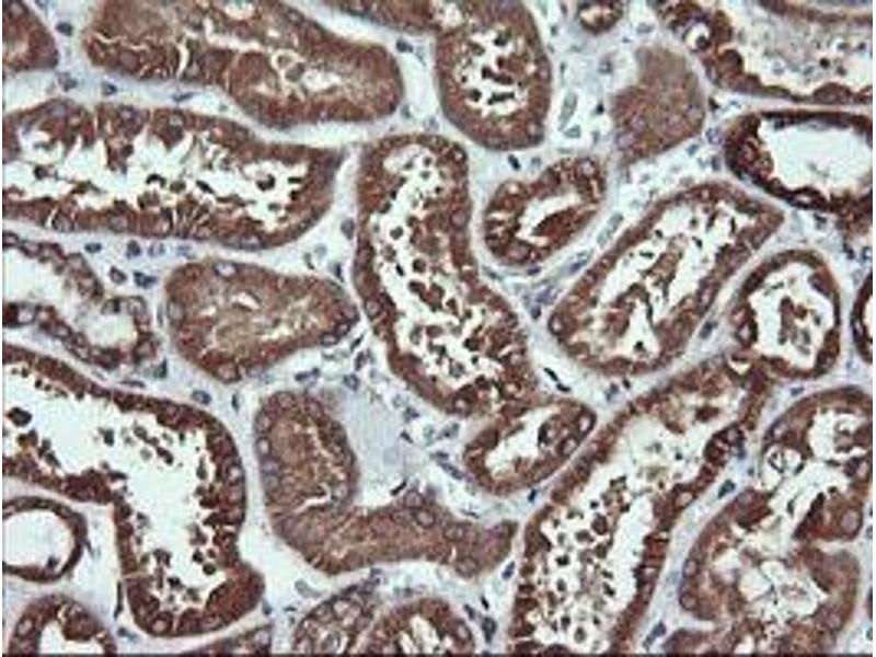
Application
Clone
-
-
Specificity
- Human ACAA2
-
Purification
- Protein A/G purified
-
Immunogen
-
Full length human recombinant protein of human ACAA2(NP_006102) produced in HEK293T cell.
Type of Immunogen: Recombinant protein -
Isotype
- IgG2b
-
-
-
-
Application Notes
- Approved: IF (1:100), IHC, IHC-P (1:150), WB (1:200 - 1:4000)
-
Comment
-
Target Species of Antibody: Human
-
Restrictions
- For Research Use only
-
-
-
Format
- Liquid
-
Concentration
- Lot specific
-
Buffer
- PBS, pH 7.3, 1 % BSA, 50 % glycerol, 0.02 % sodium azide
-
Preservative
- Sodium azide
-
Precaution of Use
- This product contains Sodium azide: a POISONOUS AND HAZARDOUS SUBSTANCE which should be handled by trained staff only.
-
Handling Advice
- Minimize freezing and thawing.
-
Storage
- -20 °C
-
Storage Comment
- Store at -20°C. Avoid freeze-thaw cycles.
-
-
- ACAA2 (Acetyl-CoA Acyltransferase 2 (ACAA2))
-
Alternative Name
- ACAA2
-
Background
-
Name/Gene ID: ACAA2
Synonyms: ACAA2, Acetyl-CoA acyltransferase 2, Acetyl-CoA acyltransferase, Beta-ketothiolase, DSAEC, Beta ketothiolase -
Gene ID
- 10449
-
NCBI Accession
- NP_006102
-
UniProt
- P42765
-
Pathways
- Monocarboxylic Acid Catabolic Process
Target
-