Phone:
+1 877 302 8632
Fax:
+1 888 205 9894 (Toll-free)
E-Mail:
orders@antibodies-online.com

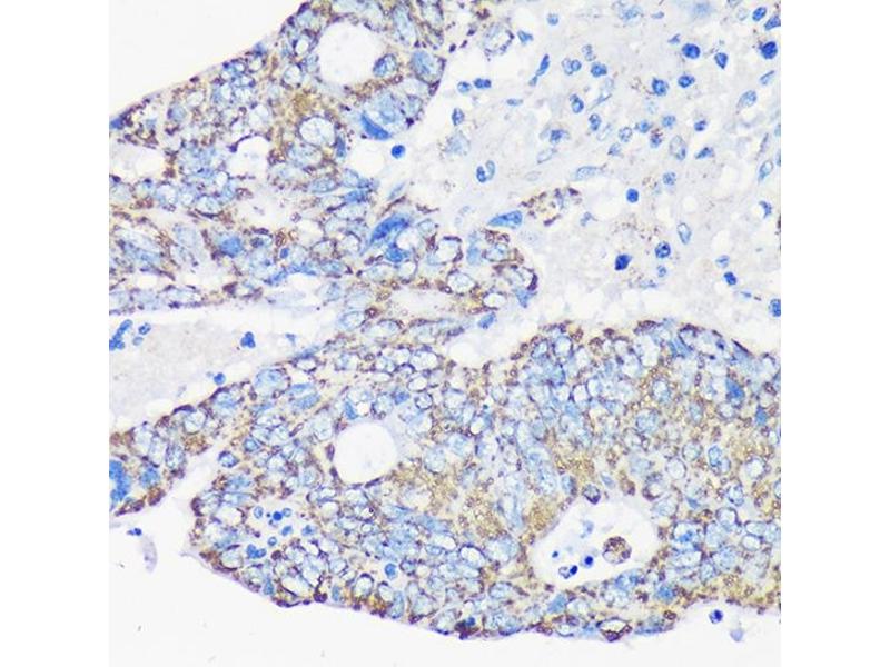
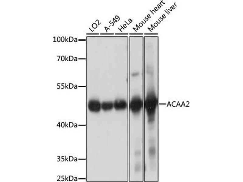
ACAA2 antibody (AA 1-250)

This Rabbit Polyclonal antibody specifically detects ACAA2 in WB, IHC and IF. It exhibits reactivity toward Human.
Catalog No. ABIN7265368
$383.00
Plus shipping costs $50.00
Shipping to: United States
Delivery in 7 to 10 Business Days

Quick Overview for ACAA2 antibody (AA 1-250) (ABIN7265368)

Target

See all ACAA2 Antibodies
ACAA2 (Acetyl-CoA Acyltransferase 2 (ACAA2))

Reactivity

  • 48
  • 33
  • 25
  • 4
  • 3
  • 3
  • 2
  • 2
  • 2
  • 2
  • 1
  • 1
  • 1
  • 1
  • 1
  • 1
Human

Host

  • 46
  • 4
Rabbit

Clonality

  • 30
  • 20
Polyclonal

Conjugate

  • 30
  • 3
  • 2
  • 2
  • 2
  • 2
  • 2
  • 2
  • 2
  • 1
  • 1
  • 1
This ACAA2 antibody is un-conjugated

Application

  • 37
  • 28
  • 25
  • 19
  • 12
  • 5
  • 5
  • 4
  • 1
  • 1
  • 1
Western Blotting (WB), Immunohistochemistry (IHC), Immunofluorescence (IF)
  • Binding Specificity

    • 6
    • 4
    • 3
    • 1
    • 1
    • 1
    • 1
    • 1
    AA 1-250

    Purpose

    ACAA2 Rabbit pAb

    Sequence

    MALLRGVFVV AAKRTPFGAY GGLLKDFTAT DLSEFAAKAA LSAGKVSPET VDSVIMGNVL QSSSDAIYLA RHVGLRVGIP KETPALTINR LCGSGFQSIV NGCQEICVKE AEVVLCGGTE SMSQAPYCVR NVRFGTKLGS DIKLEDSLWV SLTDQHVQLP MAMTAENLAV KHKISREECD KYALQSQQRW KAANDAGYFN DEMAPIEVKT KKGKQTMQVD EHARPQTTLE QLQKLPPVFK KDGTVTAGNA

    Cross-Reactivity

    Human, Mouse, Rat

    Characteristics

    Polyclonal Antibodies

    Purification

    Affinity purification

    Immunogen

    Recombinant fusion protein containing a sequence corresponding to amino acids 1-250 of human ACAA2 (NP_006102.2).

    Isotype

    IgG
  • Application Notes

    WB,1:500 - 1:2000,IHC,1:50 - 1:200,IF,1:50 - 1:200

    Restrictions

    For Research Use only
  • Format

    Liquid

    Buffer

    PBS with 0.02 % sodium azide,50 % glycerol, pH 7.3.

    Preservative

    Sodium azide

    Precaution of Use

    This product contains Sodium azide: a POISONOUS AND HAZARDOUS SUBSTANCE which should be handled by trained staff only.

    Storage

    -20 °C

    Storage Comment

    Store at -20°C. Avoid freeze / thaw cycles.
  • Target

    ACAA2 (Acetyl-CoA Acyltransferase 2 (ACAA2))

    Alternative Name

    ACAA2

    Background

    The encoded protein catalyzes the last step of the mitochondrial fatty acid beta-oxidation spiral. Unlike most mitochondrial matrix proteins, it contains a non-cleavable amino-terminal targeting signal.,ACAA2,DSAEC,Epigenetics & Nuclear Signaling,RNA Binding,Signal Transduction,Endocrine & Metabolism,Mitochondrial metabolism,Mitochondrial markers,Lipid Metabolism,Cholesterol Metabolism,Cardiovascular,Lipids,Fatty Acids,ACAA2

    Molecular Weight

    41kDa

    Gene ID

    10449

    UniProt

    P42765

    Pathways

    Monocarboxylic Acid Catabolic Process
You are here:
Chat with us!