ARL2BP antibody
Quick Overview for ARL2BP antibody (ABIN1496715)
Target
See all ARL2BP AntibodiesReactivity
Host
Clonality
Conjugate
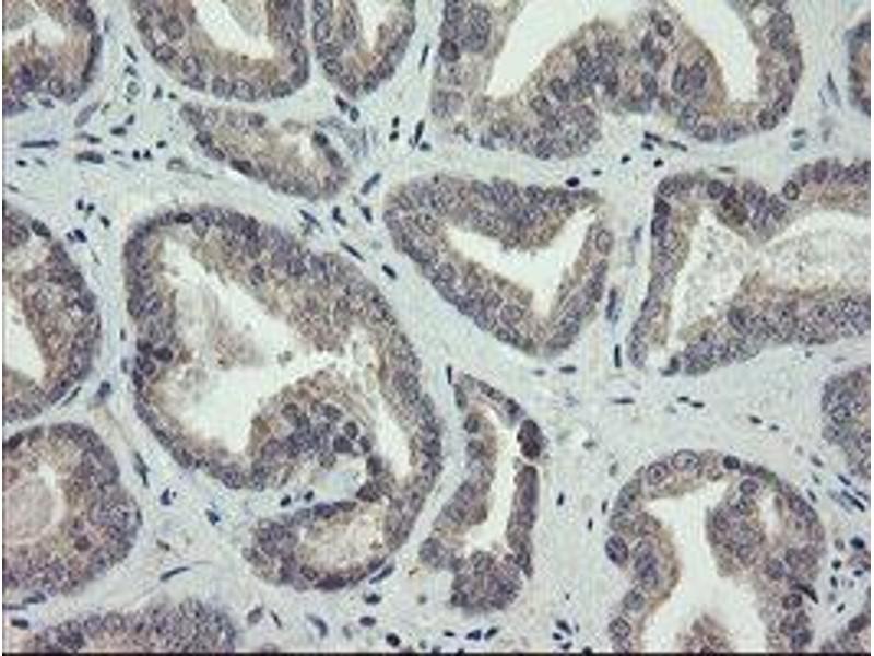
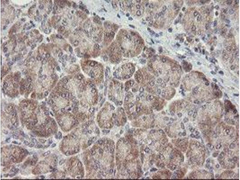
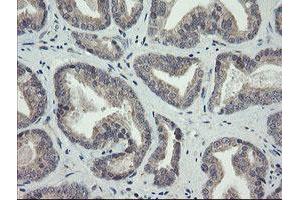
Application
Clone
-
-
Specificity
- Human ARL2BP / BART
-
Purification
- Protein A/G purified
-
Immunogen
-
Full length human recombinant protein of human ARL2BP (NP_036238) produced in E. coli.
Type of Immunogen: Recombinant protein -
Isotype
- IgG1
-
-
-
-
Application Notes
- Approved: Flo (1:100), IF (1:100), IHC, IHC-P (1:150), WB (1:2000)
-
Comment
-
Target Species of Antibody: Human
-
Restrictions
- For Research Use only
-
-
-
Format
- Liquid
-
Concentration
- Lot specific
-
Buffer
- PBS, pH 7.3, 1 % BSA, 50 % glycerol, 0.02 % sodium azide
-
Preservative
- Sodium azide
-
Precaution of Use
- This product contains Sodium azide: a POISONOUS AND HAZARDOUS SUBSTANCE which should be handled by trained staff only.
-
Handling Advice
- Minimize freezing and thawing.
-
Storage
- -20 °C
-
Storage Comment
- Store at -20°C. Avoid freeze-thaw cycles.
-
-
- ARL2BP (ADP-Ribosylation Factor-Like 2 Binding Protein (ARL2BP))
-
Alternative Name
- ARL2BP / BART
-
Background
-
Name/Gene ID: ARL2BP
Synonyms: ARL2BP, Binder of Arl Two, BART, BART1, Binder of ARF2 protein 1, ARF-like 2-binding protein, Binder of Arl2 -
Gene ID
- 23568
-
NCBI Accession
- NP_036238
-
UniProt
- Q9Y2Y0
-
Pathways
- Maintenance of Protein Location
Target
-