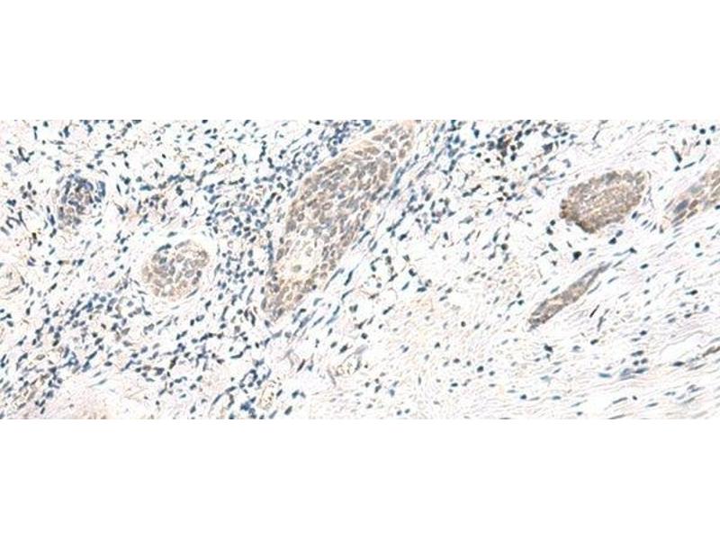
The Rabbit Polyclonal anti-ARL2BP antibody (ABIN7253101) specifically detects ARL2BP in ELISA and IHC.
The antibody is reactive with Human, Mouse and Rat samples.
PBS with 0.05 % Sodium azide and 40 % Glycerol, pH 7.4
Preservative
Sodium azide
Precaution of Use
This product contains Sodium azide: a POISONOUS AND HAZARDOUS SUBSTANCE which should be handled by trained staff only.
Storage
-20 °C
Storage Comment
Store at -20°C. Avoid freeze / thaw cycles.
Target
ARL2BP
(ADP-Ribosylation Factor-Like 2 Binding Protein (ARL2BP))
Alternative Name
ARL2BP
Background
ADP-ribosylation factor (ARF)-like proteins (ARLs) comprise a functionally distinct group of the ARF family of RAS-related GTPases. The protein encoded by this gene binds to ARL2.GTP with high affinity but does not interact with ARL2.GDP, activated ARF, or RHO proteins. The lack of detectable membrane association of this protein or ARL2 upon activation of ARL2 is suggestive of actions distinct from those of the ARFs. This protein is considered to be the first ARL2-specific effector identified, due to its interaction with ARL2.GTP but lack of ARL2 GTPase-activating protein activity.ARL2BP (ADP Ribosylation Factor Like GTPase 2 Binding Protein) is a Protein Coding gene. Diseases associated with ARL2BP include Retinitis Pigmentosa With Or Without Situs Inversus and Arl2bp-Related Retinitis Pigmentosa. Among its related pathways are Integration of energy metabolism and Metabolism. GO annotations related to this gene include transcription coactivator activity and GTPase regulator activity.