C1ORF50 antibody
Quick Overview for C1ORF50 antibody (ABIN1497033)
Target
See all C1ORF50 AntibodiesReactivity
Host
Clonality
Conjugate
Application
Clone
-
-
Specificity
- Human C1orf50
-
Purification
- Protein A/G purified
-
Immunogen
-
Full length human recombinant protein of human (NP_077002) produced in HEK293T cell.
Type of Immunogen: Recombinant protein -
Isotype
- IgG2a
-
-
-
-
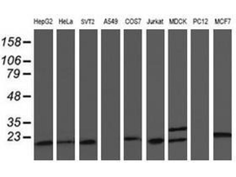
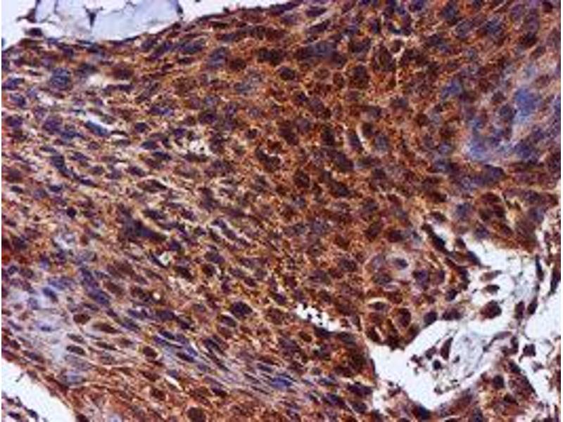
Application Notes
- Approved: Flo (1:100), IF (1:100), IHC, IHC-P (1:150), WB (1:500 - 1:1000)
-
Comment
-
Target Species of Antibody: Human
-
Restrictions
- For Research Use only
-
-
-
Format
- Liquid
-
Concentration
- Lot specific
-
Buffer
- PBS, pH 7.3, 1 % BSA, 50 % glycerol, 0.02 % sodium azide
-
Preservative
- Sodium azide
-
Precaution of Use
- This product contains Sodium azide: a POISONOUS AND HAZARDOUS SUBSTANCE which should be handled by trained staff only.
-
Storage
- -20 °C
-
Storage Comment
- Store at -20°C. Avoid freeze-thaw cycles.
-
-
- C1ORF50 (Chromosome 1 Open Reading Frame 50 (C1ORF50))
-
Alternative Name
- C1orf50
-
Background
-
Name/Gene ID: C1orf50
Synonyms: C1orf50 -
Gene ID
- 79078
-
NCBI Accession
- NP_077002
-
Pathways
- SARS-CoV-2 Protein Interactome
Target
-