PTK7 antibody
Quick Overview for PTK7 antibody (ABIN1497127)
Target
See all PTK7 AntibodiesReactivity
Host
Clonality
Conjugate
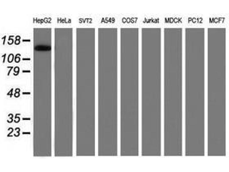
Application
Clone
-
-
Specificity
- Human CCK4 / PTK7
-
Purification
- Protein A/G purified
-
Immunogen
-
Full length human recombinant protein of human PTK7(NP_690619) produced in HEK293T cell.
Type of Immunogen: Recombinant protein -
Isotype
- IgG1
-
-
-
-
Application Notes
- Approved: Flo (1:100), IF (1:100), WB (1:200 - 1:500)
-
Comment
-
Target Species of Antibody: Human
-
Restrictions
- For Research Use only
-
-
-
Format
- Liquid
-
Concentration
- Lot specific
-
Buffer
- PBS, pH 7.3, 1 % BSA, 50 % glycerol, 0.02 % sodium azide
-
Preservative
- Sodium azide
-
Precaution of Use
- This product contains Sodium azide: a POISONOUS AND HAZARDOUS SUBSTANCE which should be handled by trained staff only.
-
Storage
- -20 °C
-
Storage Comment
- Store at -20°C. Avoid freeze-thaw cycles.
-
-
- PTK7 (PTK7 Protein tyrosine Kinase 7 (PTK7))
-
Alternative Name
- CCK4 / PTK7
-
Background
-
Name/Gene ID: PTK7
Subfamily: CCK4
Family: Protein Kinase
Synonyms: PTK7, CCK-4, CCK4, Colon carcinoma kinase 4, Tyrosine-protein kinase-like 7, Protein-tyrosine kinase 7, PTK7 protein tyrosine kinase 7 -
Gene ID
- 5754
-
NCBI Accession
- NP_690619
-
Pathways
- RTK Signaling, Tube Formation
Target
-