GADD45G antibody
Quick Overview for GADD45G antibody (ABIN1497603)
Target
See all GADD45G AntibodiesReactivity
Host
Clonality
Conjugate
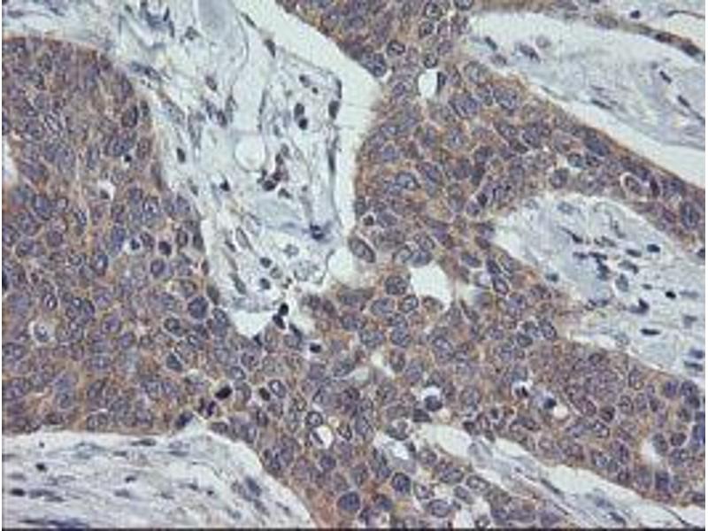
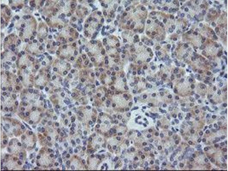
Application
Clone
-
-
Specificity
- Human CR6 / GADD45G
-
Purification
- Protein A/G purified
-
Immunogen
-
Full length human recombinant protein of human GADD45G(NP_006696) produced in HEK293T cell.
Type of Immunogen: Recombinant protein -
Isotype
- IgG2b
-
-
-
-
Application Notes
- Approved: IF (1:100), IHC, IHC-P (1:150), WB (1:2000)
-
Comment
-
Target Species of Antibody: Human
-
Restrictions
- For Research Use only
-
-
-
Format
- Liquid
-
Concentration
- Lot specific
-
Buffer
- PBS, pH 7.3, 1 % BSA, 50 % glycerol, 0.02 % sodium azide
-
Preservative
- Sodium azide
-
Precaution of Use
- This product contains Sodium azide: a POISONOUS AND HAZARDOUS SUBSTANCE which should be handled by trained staff only.
-
Handling Advice
- Minimize freezing and thawing.
-
Storage
- -20 °C
-
Storage Comment
- Store at -20°C. Avoid freeze-thaw cycles.
-
-
- GADD45G (Growth Arrest and DNA-Damage-Inducible, gamma (GADD45G))
-
Alternative Name
- CR6 / GADD45G
-
Background
-
Name/Gene ID: GADD45G
Synonyms: GADD45G, CR6, DDIT2, GADD45-gamma, GADD45gamma, Gadd-related protein, 17 kD, GRP17, DDIT-2 -
Gene ID
- 10912
-
NCBI Accession
- NP_006696
-
UniProt
- O95257
-
Pathways
- Cell Division Cycle
Target
-