GTDC1 antibody (AA 1-204)
Quick Overview for GTDC1 antibody (AA 1-204) (ABIN1498561)
Target
See all GTDC1 AntibodiesReactivity
Host
Clonality
Conjugate
Application
-
-
Binding Specificity
- AA 1-204
-
Specificity
- Human GTDC1
-
Predicted Reactivity
- Percent identity by BLAST analysis: Human (100%) Bovine (95%) Mouse (93%).
-
Purification
- Immunoaffinity purified
-
Immunogen
-
Recombinant fragment corresponding to a region within amino acids 1 and 204 of GTDC1 (SwissProt Q4AE62). Percent identity by BLAST analysis: Human (100%), Bovine (95%), Mouse (93%).
Type of Immunogen: Recombinant protein -
Isotype
- IgG
-
-
-
-
Application Notes
-
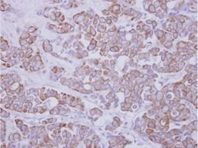
Approved: IHC, IHC-P (1:100 - 1:1000), WB (1:500 - 1:3000)
Usage: Suggested starting dilutions are as follows: Western blot: 1:500-1:3000, IHC-Paraffin: 1:100-1:1000 [suggested antigen retrieval using heat mediated 10 mM Citrate buffer ( pH 6.0) or Tris-EDTA buffer ( pH 8.0)]. Not yet tested in other applications. Optimal working dilutions should be determined experimentally by the end user. -
Comment
-
Target Species of Antibody: Human
-
Restrictions
- For Research Use only
-
-
-
Format
- Liquid
-
Concentration
- Lot specific
-
Buffer
- 0.1 M Tris-glycine, pH 7, 20 % Glycerol, 0.01 % Thimerosal
-
Preservative
- Thimerosal (Merthiolate)
-
Precaution of Use
- This product contains Thimerosal (Merthiolate): a POISONOUS AND HAZARDOUS SUBSTANCE which should be handled by trained staff only.
-
Handling Advice
- Avoid freeze-thaw cycles.
-
Storage
- -20 °C
-
Storage Comment
- Aliquot and freeze at -20°C. Avoid freeze-thaw cycles.
-
-
- GTDC1 (Glycosyltransferase-Like Domain Containing 1 (GTDC1))
-
Alternative Name
- GTDC1
-
Background
-
Name/Gene ID: GTDC1
Synonyms: GTDC1, Glycosyltransferase-like 1, Hmat-Xa, Mat-Xa, Mannosyltransferase candidate -
Gene ID
- 79712
-
UniProt
- Q4AE62
Target
-