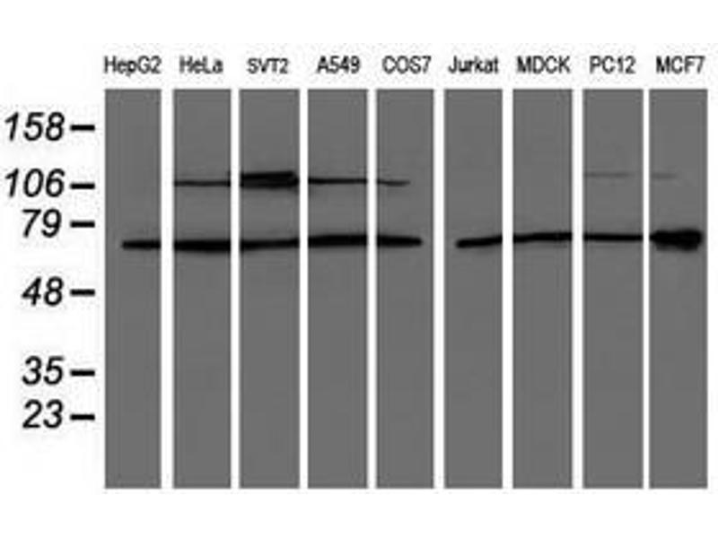
PSMD3 antibody
Quick Overview for PSMD3 antibody (ABIN1499980)
Target
See all PSMD3 AntibodiesReactivity
Host
Clonality
Conjugate
Application
Clone
-
-
Specificity
- Human P58 / PSMD3
-
Purification
- Protein A/G purified
-
Immunogen
-
Full length human recombinant protein of human PSMD3(NP_002800) produced in HEK293T cell.
Type of Immunogen: Recombinant protein -
Isotype
- IgG2a
-
-
-
-
Application Notes
- Approved: Flo (1:100), WB (1:500 - 1:2000)
-
Comment
-
Target Species of Antibody: Human
-
Restrictions
- For Research Use only
-
-
-
Format
- Liquid
-
Concentration
- Lot specific
-
Buffer
- PBS, pH 7.3, 1 % BSA, 50 % glycerol, 0.02 % sodium azide
-
Preservative
- Sodium azide
-
Precaution of Use
- This product contains Sodium azide: a POISONOUS AND HAZARDOUS SUBSTANCE which should be handled by trained staff only.
-
Storage
- -20 °C
-
Storage Comment
- Store at -20°C. Avoid freeze-thaw cycles.
-
-
- PSMD3 (Proteasome (Prosome, Macropain) 26S Subunit, Non-ATPase, 3 (PSMD3))
-
Alternative Name
- p58 / PSMD3
-
Background
-
Name/Gene ID: PSMD3
Family: Protease Regulatory
Synonyms: PSMD3, p58, TSTA2, Proteasome subunit p58, RPN3, S3 -
Gene ID
- 5709
-
NCBI Accession
- NP_002800
-
Pathways
- Mitotic G1-G1/S Phases, DNA Replication, Synthesis of DNA, Ubiquitin Proteasome Pathway
Target
-