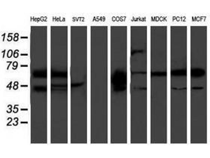
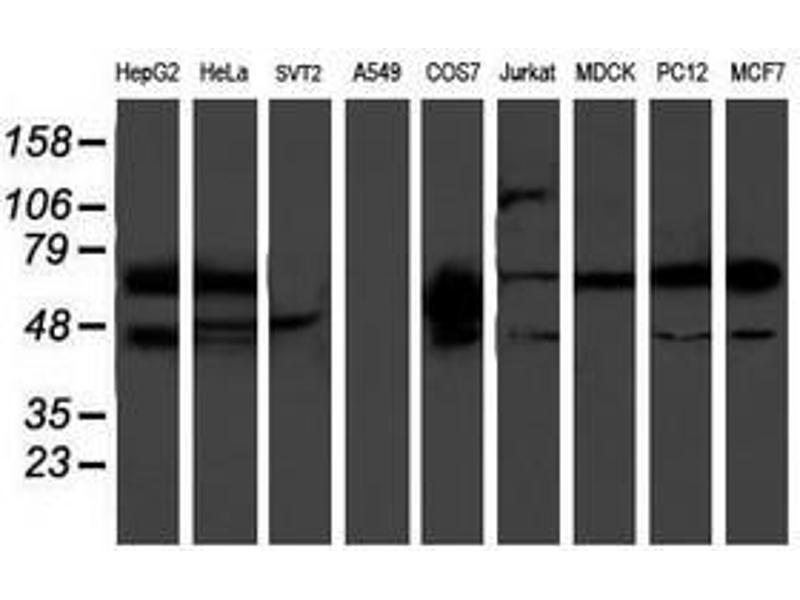
PDE1B antibody
Quick Overview for PDE1B antibody (ABIN1500074)
Target
See all PDE1B AntibodiesReactivity
Host
Clonality
Conjugate
Application
Clone
-
-
Specificity
- Human PDE1B
-
Purification
- Protein A/G purified
-
Immunogen
-
Full length human recombinant protein of human PDE1B(NP_000915) produced in HEK293T cell.
Type of Immunogen: Recombinant protein -
Isotype
- IgG2b
-
-
-
-
Application Notes
- Approved: Flo (1:100), IF (1:100), WB (1:500 - 1:2000)
-
Comment
-
Target Species of Antibody: Human
-
Restrictions
- For Research Use only
-
-
-
Format
- Liquid
-
Concentration
- Lot specific
-
Buffer
- PBS, pH 7.3, 1 % BSA, 50 % glycerol, 0.02 % sodium azide
-
Preservative
- Sodium azide
-
Precaution of Use
- This product contains Sodium azide: a POISONOUS AND HAZARDOUS SUBSTANCE which should be handled by trained staff only.
-
Storage
- -20 °C
-
Storage Comment
- Store at -20°C. Avoid freeze-thaw cycles.
-
-
- PDE1B (phosphodiesterase 1B, Calmodulin-Dependent (PDE1B))
-
Alternative Name
- PDE1B
-
Background
-
Name/Gene ID: PDE1B
Subfamily: PDE - cAMP/cGMP dual-specific, Ca/Calmodulin-dependent
Family: Phosphodiesterase
Synonyms: PDE1B, 63 kDa Cam-PDE, Cam-PDE 1B, PDES1B, PDE1B1, PDE1B2 -
Gene ID
- 5153
-
NCBI Accession
- NP_000915
-
Pathways
- Neurotrophin Signaling Pathway, cAMP Metabolic Process, G-protein mediated Events, Interaction of EGFR with phospholipase C-gamma
Target
-