PECR antibody
Quick Overview for PECR antibody (ABIN1500148)
Target
See all PECR AntibodiesReactivity
Host
Clonality
Conjugate
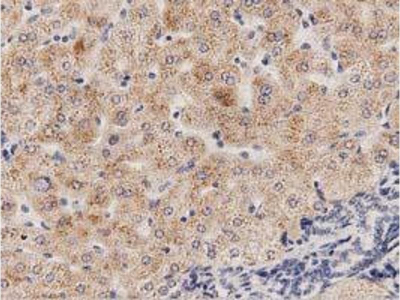
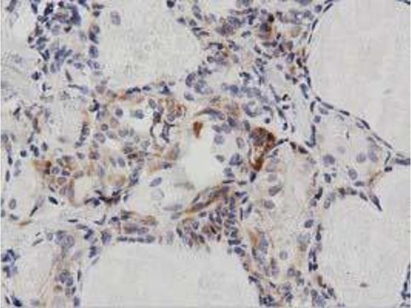
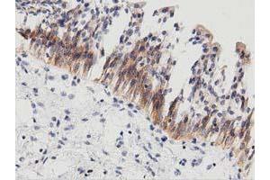
Application
Clone
-
-
Specificity
- Human PECR
-
Purification
- Protein A/G purified
-
Immunogen
-
Full length human recombinant protein of human PECR (NP_060911) produced in HEK293T cell.
Type of Immunogen: Recombinant protein -
Isotype
- IgG1
-
-
-
-
Application Notes
-
Approved: Flo (1:100), IF (1:100), IHC, IHC-P (1:150), WB (1:500 - 1:2000)
Usage: Concentration: 0.50 mg/mL (Lot dependent) -
Comment
-
Target Species of Antibody: Human
-
Restrictions
- For Research Use only
-
-
-
Format
- Liquid
-
Concentration
- Lot specific
-
Buffer
- PBS, pH 7.3, 1 % BSA, 50 % glycerol, 0.02 % sodium azide
-
Preservative
- Sodium azide
-
Precaution of Use
- This product contains Sodium azide: a POISONOUS AND HAZARDOUS SUBSTANCE which should be handled by trained staff only.
-
Storage
- -20 °C
-
Storage Comment
- Store at -20°C. Avoid freeze-thaw cycles.
-
-
- PECR (Peroxisomal Trans-2-Enoyl-CoA Reductase (PECR))
-
Alternative Name
- PECR
-
Background
-
Name/Gene ID: PECR
Synonyms: PECR, DCRRP, HPDHASE, PVI-ARL, PVIARL, TERP, DCR-RP, HSA250303, SDR29C1 -
Gene ID
- 55825
-
NCBI Accession
- NP_060911
Target
-