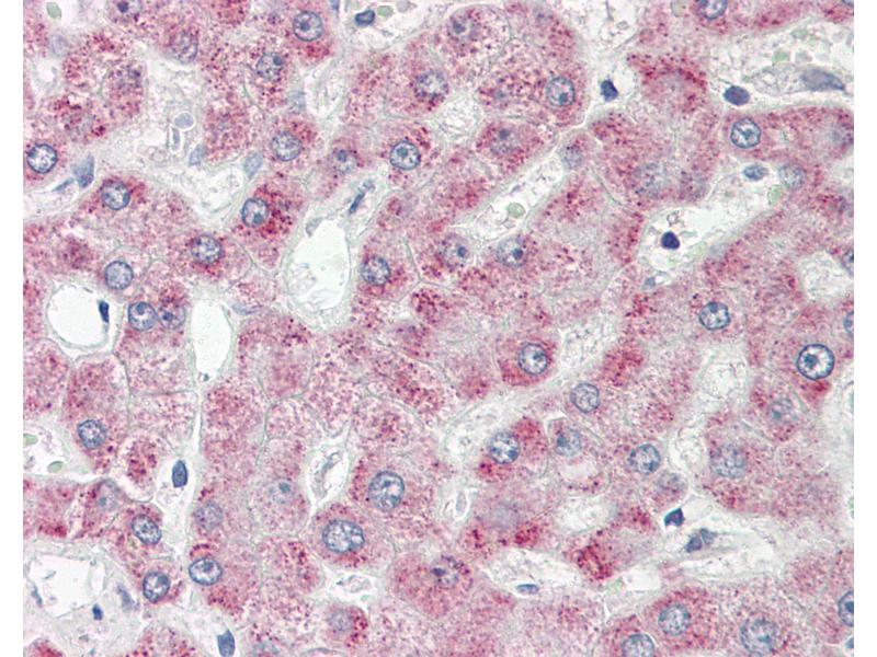
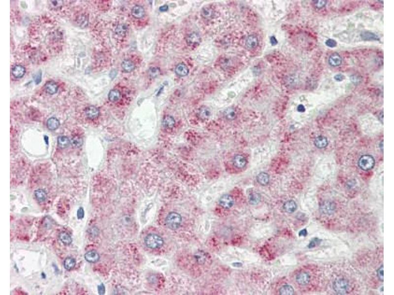
PECR antibody (AA 241-302)
Quick Overview for PECR antibody (AA 241-302) (ABIN467560)
Target
See all PECR AntibodiesReactivity
Host
Clonality
Conjugate
Application
-
-
Binding Specificity
- AA 241-302
-
Specificity
- Human PECR.
-
Purification
- Immunoaffinity purified
-
Immunogen
-
Synthetic peptide containing a sequence corresponding to a region within amino acids 241 and 302 of Human PECR.
Type of Immunogen: Synthetic peptide
-
-
-
-
Application Notes
- Approved: IHC, IHC-P (10 μg/mL), WB (1:500 - 1:3000)
-
Comment
-
Target Species of Antibody: Human
-
Restrictions
- For Research Use only
-
-
-
Format
- Liquid
-
Concentration
- Lot specific
-
Buffer
- 0.1 M Tris-glycine, pH 7, 10 % Glycerol, 0.01 % Thimerosal
-
Preservative
- Thimerosal (Merthiolate)
-
Precaution of Use
- This product contains Thimerosal (Merthiolate): a POISONOUS AND HAZARDOUS SUBSTANCE which should be handled by trained staff only.
-
Handling Advice
- Minimize freezing and thawing.
-
Storage
- -20 °C
-
Storage Comment
- Aliquot and store at -20°C. Avoid freeze-thaw cycles.
-
-
- PECR (Peroxisomal Trans-2-Enoyl-CoA Reductase (PECR))
-
Alternative Name
- PECR
-
Background
-
Name/Gene ID: PECR
Synonyms: PECR, DCRRP, HPDHASE, PVI-ARL, PVIARL, TERP, DCR-RP, HSA250303, SDR29C1 -
Gene ID
- 55825
-
UniProt
- Q9BY49
Target
-