PIK3R5 antibody
Quick Overview for PIK3R5 antibody (ABIN1500212)
Target
See all PIK3R5 AntibodiesReactivity
Host
Clonality
Conjugate
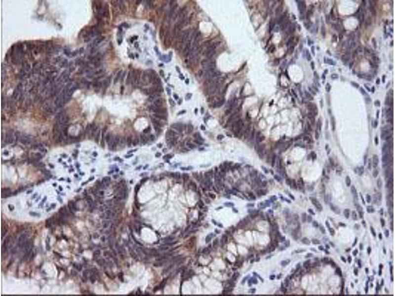
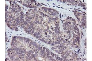
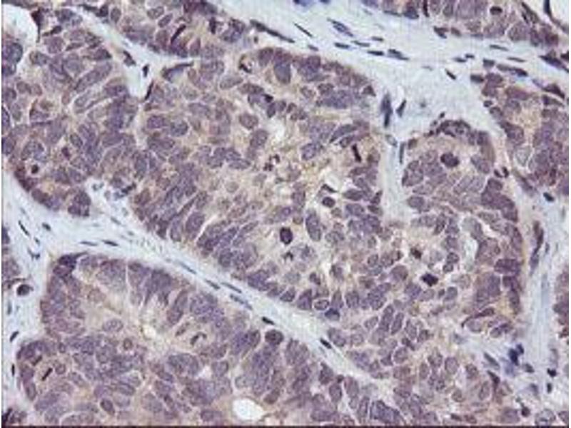
Application
Clone
-
-
Specificity
- Human PIK3R5 / P101
-
Purification
- Protein A/G purified
-
Immunogen
-
Full length human recombinant protein of human PIK3R5(NP_055123) produced in HEK293T cell.
Type of Immunogen: Recombinant protein -
Isotype
- IgG2b
-
-
-
-
Application Notes
- Approved: IF (1:100), IHC, IHC-P (1:150), WB (1:200 - 1:2000)
-
Comment
-
Target Species of Antibody: Human
-
Restrictions
- For Research Use only
-
-
-
Format
- Liquid
-
Concentration
- Lot specific
-
Buffer
- PBS, pH 7.3, 1 % BSA, 50 % glycerol, 0.02 % sodium azide
-
Preservative
- Sodium azide
-
Precaution of Use
- This product contains Sodium azide: a POISONOUS AND HAZARDOUS SUBSTANCE which should be handled by trained staff only.
-
Handling Advice
- Minimize freezing and thawing.
-
Storage
- -20 °C
-
Storage Comment
- Store at -20°C. Avoid freeze-thaw cycles.
-
-
- PIK3R5 (Phosphoinositide-3-Kinase, Regulatory Subunit 5 (PIK3R5))
-
Alternative Name
- PIK3R5 / P101
-
Background
-
Name/Gene ID: PIK3R5
Synonyms: PIK3R5, FOAP-2, PtdIns-3-kinase p101, p101-PI3K, PI3-kinase p101 subunit, Protein FOAP-2, p101 -
Gene ID
- 23533
-
NCBI Accession
- NP_055123
-
UniProt
- Q8WYR1
-
Pathways
- PI3K-Akt Signaling, Inositol Metabolic Process, Hepatitis C, VEGF Signaling
Target
-