PNMT antibody
Quick Overview for PNMT antibody (ABIN1500315)
Target
See all PNMT AntibodiesReactivity
Host
Clonality
Conjugate
Application
Clone
-
-
Specificity
- Human PNMT
-
Purification
- Protein A/G purified
-
Immunogen
-
Full length human recombinant protein of human PNMT(NP_002677) produced in HEK293T cell.
Type of Immunogen: Recombinant protein -
Isotype
- IgG2b
-
-
-
-
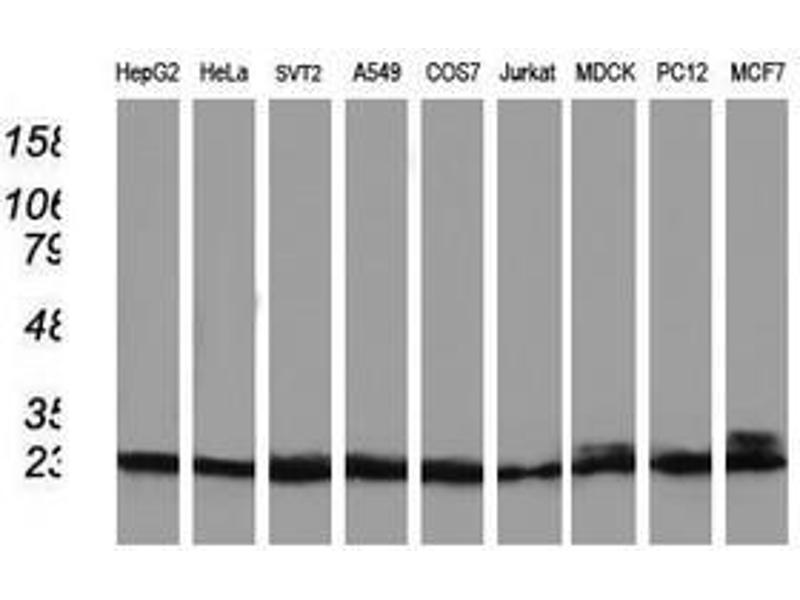
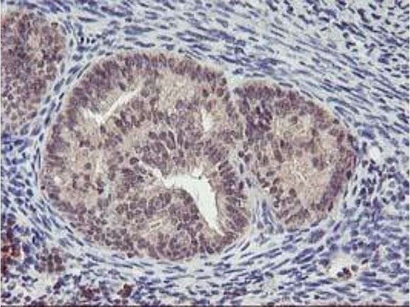
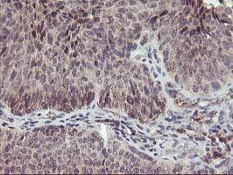
Application Notes
- Approved: IF (1:100), IHC, IHC-P (1:150), WB (1:500 - 1:2000)
-
Comment
-
Target Species of Antibody: Human
-
Restrictions
- For Research Use only
-
-
-
Format
- Liquid
-
Concentration
- Lot specific
-
Buffer
- PBS, pH 7.3, 1 % BSA, 50 % glycerol, 0.02 % sodium azide
-
Preservative
- Sodium azide
-
Precaution of Use
- This product contains Sodium azide: a POISONOUS AND HAZARDOUS SUBSTANCE which should be handled by trained staff only.
-
Storage
- -20 °C
-
Storage Comment
- Store at -20°C. Avoid freeze-thaw cycles.
-
-
- PNMT (Phenylethanolamine N-Methyltransferase (PNMT))
-
Alternative Name
- PNMT
-
Background
-
Name/Gene ID: PNMT
Synonyms: PNMT, PNMTase, PENT, Phenylethanolamine N-methylase -
Gene ID
- 5409
-
NCBI Accession
- NP_002677
-
Pathways
- Response to Water Deprivation
Target
-