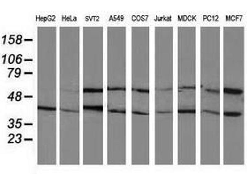
PPM1B antibody
Quick Overview for PPM1B antibody (ABIN1500376)
Target
See all PPM1B AntibodiesReactivity
Host
Clonality
Conjugate
Application
Clone
-
-
Specificity
- Human PPM1B
-
Purification
- Protein A/G purified
-
Immunogen
-
Full length human recombinant protein of human PPM1B (NP_002697) produced in HEK293T cell.
Type of Immunogen: Recombinant protein -
Isotype
- IgG1
-
-
-
-
Application Notes
- Approved: Flo (1:100), WB (1:500 - 1:2000)
-
Comment
-
Target Species of Antibody: Human
-
Restrictions
- For Research Use only
-
-
-
Format
- Liquid
-
Concentration
- Lot specific
-
Buffer
- PBS, pH 7.3, 1 % BSA, 50 % glycerol, 0.02 % sodium azide
-
Preservative
- Sodium azide
-
Precaution of Use
- This product contains Sodium azide: a POISONOUS AND HAZARDOUS SUBSTANCE which should be handled by trained staff only.
-
Storage
- -20 °C
-
Storage Comment
- Store at -20°C. Avoid freeze-thaw cycles.
-
-
- PPM1B (Protein Phosphatase, Mg2+/Mn2+ Dependent, 1B (PPM1B))
-
Alternative Name
- PPM1B
-
Background
-
Name/Gene ID: PPM1B
Subfamily: PP2C
Family: Protein Phosphatase
Synonyms: PPM1B, Phosphatase 2c beta, PPC2BETAX, PP2C-beta, Protein phosphatase 2A beta, Protein phosphatase 1B, PP2CB, PP2CBETA, PP2C-beta-X -
Gene ID
- 5495
-
NCBI Accession
- NP_002697
Target
-