RBPMS antibody
Quick Overview for RBPMS antibody (ABIN1500642)
Target
See all RBPMS AntibodiesReactivity
Host
Clonality
Conjugate
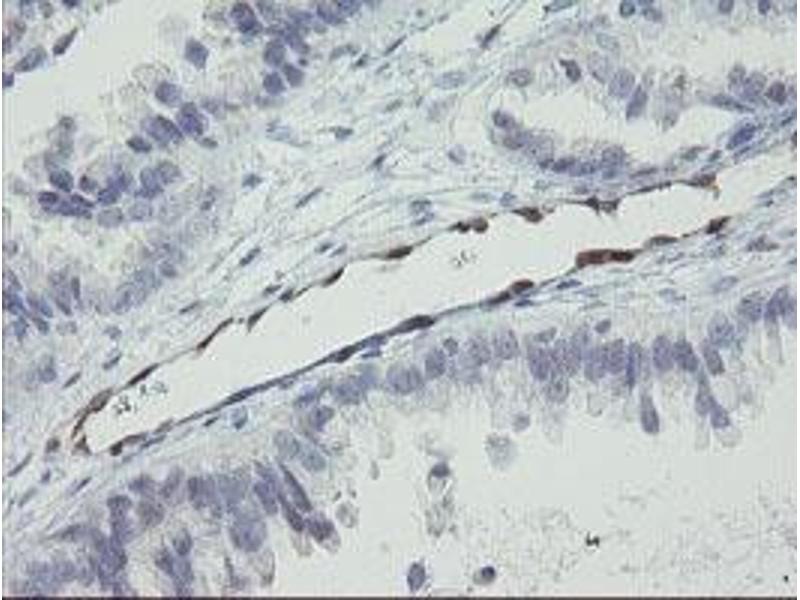
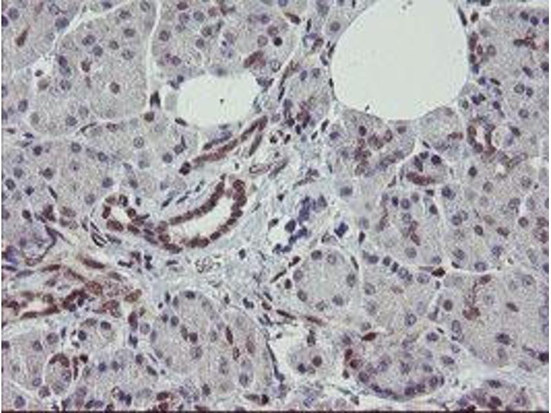
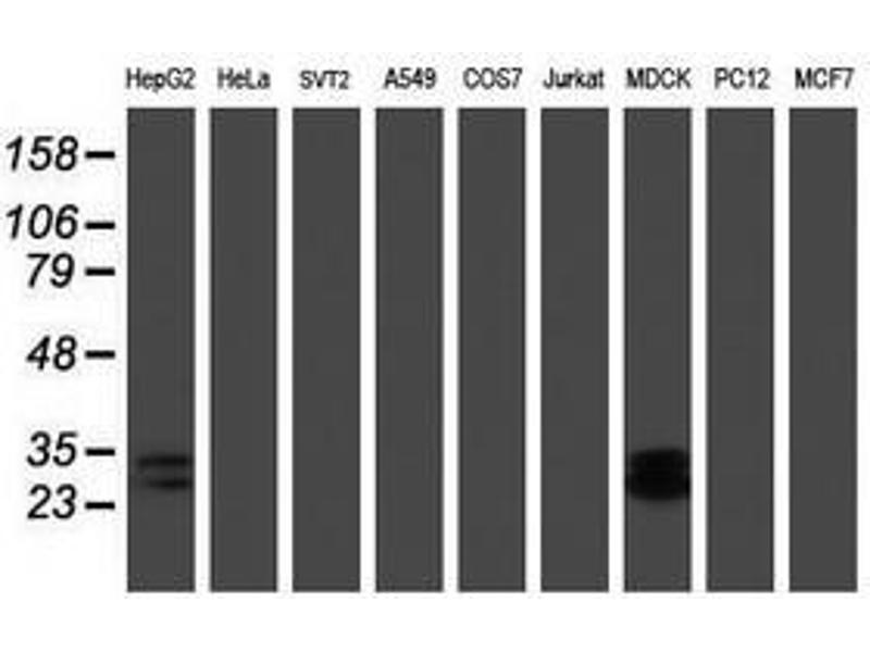
Application
Clone
-
-
Specificity
- Human RBPMS
-
Purification
- Protein A/G purified
-
Immunogen
-
Full length human recombinant protein of human RBPMS (NP_001008712) produced in E. coli.
Type of Immunogen: Recombinant protein -
Isotype
- IgG1
-
-
-
-
Application Notes
- Approved: Flo (1:100), IHC, IHC-P (1:150), WB (1:2000)
-
Comment
-
Target Species of Antibody: Human
-
Restrictions
- For Research Use only
-
-
-
Format
- Liquid
-
Concentration
- Lot specific
-
Buffer
- PBS, pH 7.3, 1 % BSA, 50 % glycerol, 0.02 % sodium azide
-
Preservative
- Sodium azide
-
Precaution of Use
- This product contains Sodium azide: a POISONOUS AND HAZARDOUS SUBSTANCE which should be handled by trained staff only.
-
Handling Advice
- Minimize freezing and thawing.
-
Storage
- -20 °C
-
Storage Comment
- Store at -20°C. Avoid freeze-thaw cycles.
-
-
- RBPMS (RNA Binding Protein with Multiple Splicing (RBPMS))
-
Alternative Name
- RBPMS / Hermes
-
Background
-
Name/Gene ID: RBPMS
Synonyms: RBPMS, Rbp-ms/type 5, RBP-MS, HERMES -
Gene ID
- 11030
-
NCBI Accession
- NP_001008712
-
UniProt
- Q93062
Target
-