RPA2 antibody
Quick Overview for RPA2 antibody (ABIN1500735)
Target
See all RPA2 AntibodiesReactivity
Host
Clonality
Conjugate
Application
Clone
-
-
Specificity
- Human RPA2 / RPA34
-
Purification
- Protein A/G purified
-
Immunogen
-
Full length human recombinant protein of human RPA2 (NP_002937) produced in HEK293T cell.
Type of Immunogen: Recombinant protein -
Isotype
- IgG1
-
-
-
-
Application Notes
-
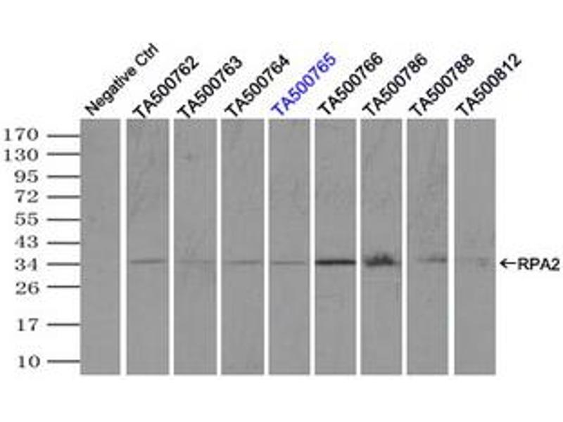
Approved: Flo (1:100), IF (1:100), IHC, IHC-P (1:50), IP, WB (1:1000 - 1:2000)
Usage: Concentration: 0.5-1.0 mg/mL (Lot dependent) -
Comment
-
Target Species of Antibody: Human
-
Restrictions
- For Research Use only
-
-
-
Format
- Liquid
-
Concentration
- Lot specific
-
Buffer
- PBS, pH 7.3, 1 % BSA, 50 % glycerol, 0.02 % sodium azide
-
Preservative
- Sodium azide
-
Precaution of Use
- This product contains Sodium azide: a POISONOUS AND HAZARDOUS SUBSTANCE which should be handled by trained staff only.
-
Storage
- -20 °C
-
Storage Comment
- Store at -20°C. Avoid freeze-thaw cycles.
-
-
- RPA2 (Replication Protein A2, 32kDa (RPA2))
-
Alternative Name
- RPA2 / RFA2 / RPA34
-
Background
-
Name/Gene ID: RPA2
Synonyms: RPA2, RF-A protein 2, RP-A p34, RPA34, Replication protein A2, 32 kDa, RP-A p32, REPA2, Replication factor A protein 2, Replication protein A2 (32kD), RPA32 -
Gene ID
- 6118
-
NCBI Accession
- NP_002937
-
Pathways
- Telomere Maintenance, DNA Damage Repair, Mitotic G1-G1/S Phases, DNA Replication, Synthesis of DNA
Target
-