Phone:
+1 877 302 8632
Fax:
+1 888 205 9894 (Toll-free)
E-Mail:
orders@antibodies-online.com

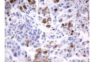
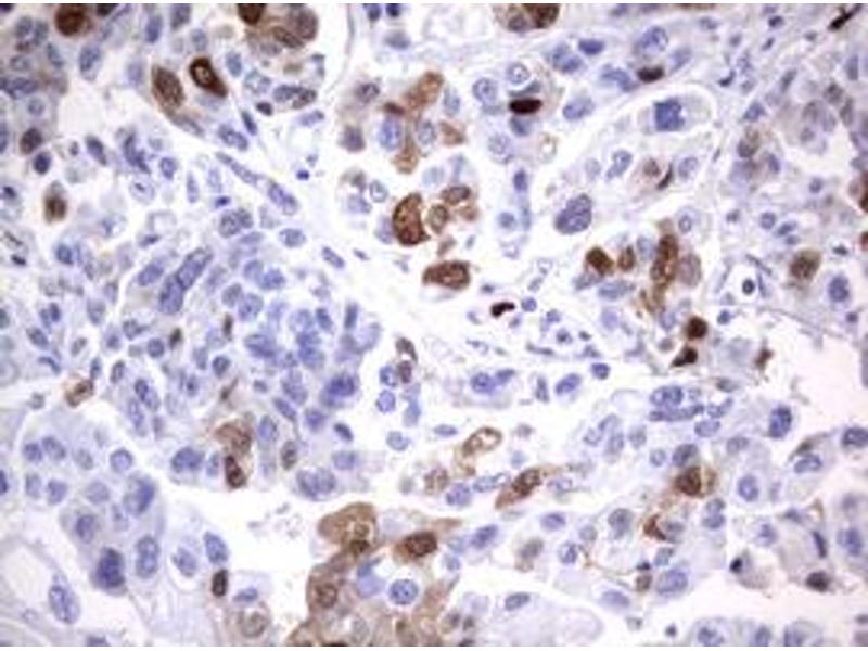
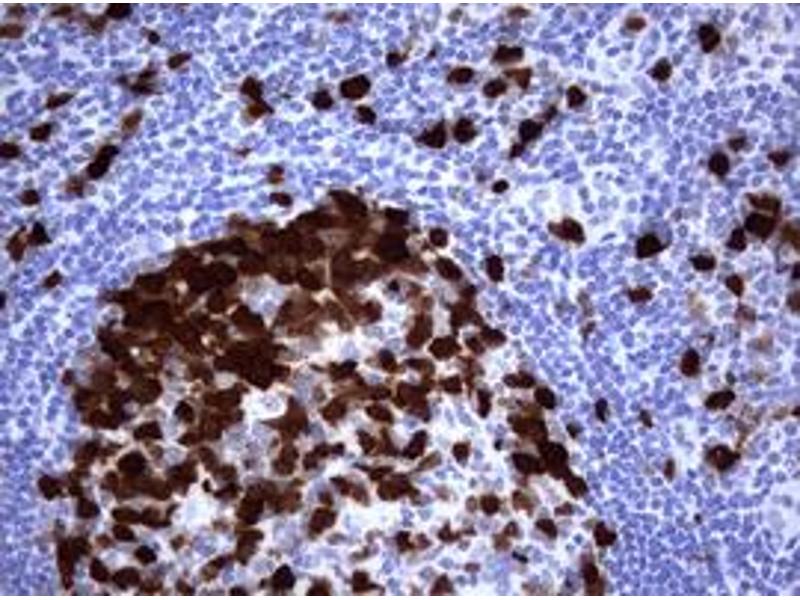
TYMS antibody

The Mouse Monoclonal anti-TYMS antibody is suitable to detect TYMS in samples from Human. It has been validated for WB, IHC and IHC (p).
Catalog No. ABIN1501595
$704.73
Plus shipping costs $50.00
100 μL
Shipping to: United States
Delivery in 11 to 15 Business Days

Quick Overview for TYMS antibody (ABIN1501595)

Target

See all TYMS Antibodies
TYMS (Thymidylate Synthetase (TYMS))

Reactivity

  • 130
  • 39
  • 25
  • 3
  • 2
  • 2
  • 2
  • 2
  • 1
  • 1
  • 1
Human

Host

  • 65
  • 64
  • 1
Mouse

Clonality

  • 86
  • 44
Monoclonal

Conjugate

  • 57
  • 10
  • 4
  • 4
  • 4
  • 4
  • 4
  • 4
  • 4
  • 4
  • 3
  • 2
  • 2
  • 2
  • 2
  • 2
  • 2
  • 1
  • 1
  • 1
  • 1
  • 1
  • 1
  • 1
  • 1
  • 1
  • 1
  • 1
  • 1
  • 1
  • 1
  • 1
  • 1
This TYMS antibody is un-conjugated

Application

  • 66
  • 66
  • 66
  • 44
  • 24
  • 19
  • 19
  • 19
  • 17
  • 15
  • 14
  • 13
  • 12
  • 7
  • 3
  • 3
  • 2
  • 2
  • 1
  • 1
Western Blotting (WB), Immunohistochemistry (IHC), Immunohistochemistry (Paraffin-embedded Sections) (IHC (p))

Clone

1D6
  • Specificity

    Human TYMS / Thymidylate Synthase

    Purification

    Protein A/G purified

    Immunogen

    Full length human recombinant protein of human TYMS (NP_001062) produced in E. coli.

    Type of Immunogen: Recombinant protein

    Isotype

    IgG2a
  • Application Notes

    Approved: IHC, IHC-P (1:150), WB (1:2000)

    Comment

    Target Species of Antibody: Human

    Restrictions

    For Research Use only
  • Format

    Liquid

    Concentration

    Lot specific

    Buffer

    PBS,  pH 7.3, 1 % BSA, 50 % glycerol, 0.02 % sodium azide

    Preservative

    Sodium azide

    Precaution of Use

    This product contains Sodium azide: a POISONOUS AND HAZARDOUS SUBSTANCE which should be handled by trained staff only.

    Handling Advice

    Minimize freezing and thawing.

    Storage

    -20 °C

    Storage Comment

    Store at -20°C. Avoid freeze-thaw cycles.
  • Target

    TYMS (Thymidylate Synthetase (TYMS))

    Alternative Name

    TS / Thymidylate Synthase

    Background

    Name/Gene ID: TYMS

    Synonyms: TYMS, HST422, Thymidylate synthetase, TMS, TS, Thymidylate synthase, Tsase

    Gene ID

    7298

    NCBI Accession

    NP_001062

    UniProt

    P04818

    Pathways

    Mitotic G1-G1/S Phases
You are here:
Chat with us!