Phone:
+1 877 302 8632
Fax:
+1 888 205 9894 (Toll-free)
E-Mail:
orders@antibodies-online.com

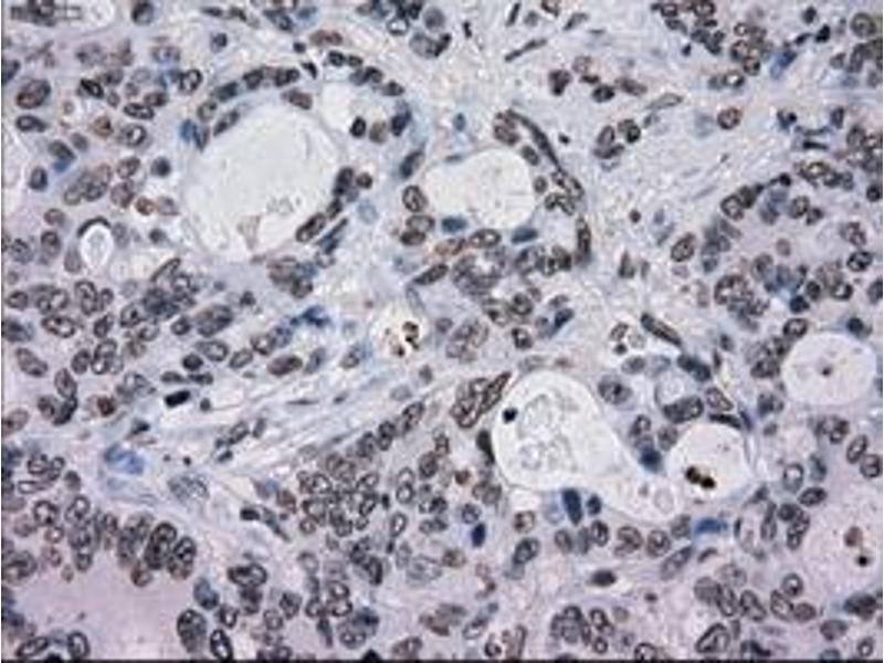
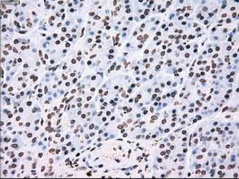
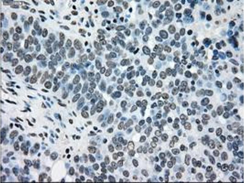
TYRO3 antibody

The Mouse Monoclonal anti-TYRO3 antibody is suitable to detect TYRO3 in samples from Human. It has been validated for WB, IHC, IP and IHC (p).
Catalog No. ABIN1501607
$704.73
Plus shipping costs $50.00
100 μL
Shipping to: United States
Delivery in 11 to 15 Business Days

Quick Overview for TYRO3 antibody (ABIN1501607)

Target

See all TYRO3 Antibodies
TYRO3 (TYRO3 Protein Tyrosine Kinase (TYRO3))

Reactivity

  • 61
  • 26
  • 10
  • 4
Human

Host

  • 41
  • 24
  • 4
  • 1
Mouse

Clonality

  • 38
  • 28
  • 2
Monoclonal

Conjugate

  • 52
  • 4
  • 3
  • 1
  • 1
  • 1
  • 1
  • 1
  • 1
  • 1
  • 1
  • 1
This TYRO3 antibody is un-conjugated

Application

  • 49
  • 26
  • 26
  • 19
  • 17
  • 12
  • 7
  • 7
  • 2
  • 1
  • 1
  • 1
  • 1
  • 1
  • 1
Western Blotting (WB), Immunohistochemistry (IHC), Immunoprecipitation (IP), Immunohistochemistry (Paraffin-embedded Sections) (IHC (p))

Clone

5B4
  • Specificity

    Human TYRO3

    Purification

    Protein A/G purified

    Immunogen

    Full length human recombinant protein of human TYRO3 (NP_006284) produced in HEK293T cell.

    Type of Immunogen: Recombinant protein

    Isotype

    IgG2a
  • Application Notes

    Approved: IHC, IHC-P (1:150), IP, WB (1:500)

    Usage: Concentration: 0.5-1.0 mg/mL (Lot dependent)

    Comment

    Target Species of Antibody: Human

    Restrictions

    For Research Use only
  • Format

    Liquid

    Concentration

    Lot specific

    Buffer

    PBS,  pH 7.3, 1 % BSA, 50 % glycerol, 0.02 % sodium azide

    Preservative

    Sodium azide

    Precaution of Use

    This product contains Sodium azide: a POISONOUS AND HAZARDOUS SUBSTANCE which should be handled by trained staff only.

    Handling Advice

    Minimize freezing and thawing.

    Storage

    -20 °C

    Storage Comment

    Store at -20°C. Avoid freeze-thaw cycles.
  • Target

    TYRO3 (TYRO3 Protein Tyrosine Kinase (TYRO3))

    Alternative Name

    TYRO3

    Background

    Name/Gene ID: TYRO3
    Subfamily: Axl
    Family: Protein Kinase

    Synonyms: TYRO3, Brt, BYK, Dtk, Sky kinase, Sky, Tif, Tyrosine-protein kinase byk, Tyrosine-protein kinase SKY, Tyrosine-protein kinase DTK, TYRO3 protein tyrosine kinase, Tyrosine-protein kinase brt, RSE, Tyrosine-protein kinase RSE

    Gene ID

    7301

    NCBI Accession

    NP_006284

    UniProt

    Q06418

    Pathways

    RTK Signaling
You are here:
Chat with us!