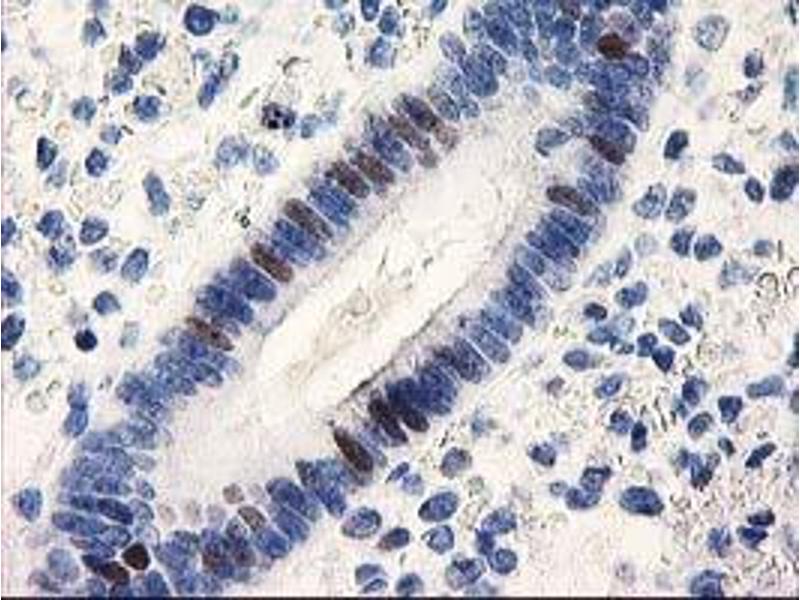
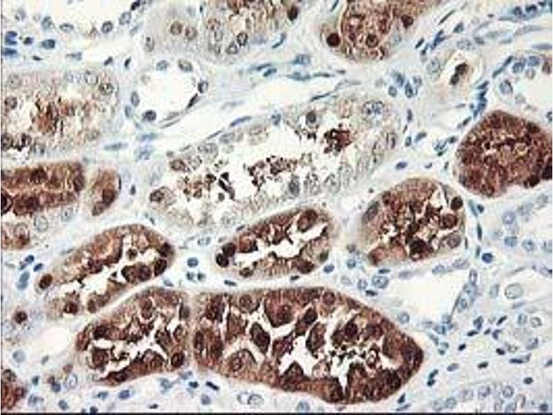
UNG antibody
Quick Overview for UNG antibody (ABIN1501681)
Target
See all UNG AntibodiesReactivity
Host
Clonality
Conjugate
Application
Clone
-
-
Specificity
- Human UNG
-
Purification
- Protein A/G purified
-
Immunogen
-
Full length human recombinant protein of human UNG(NP_550433) produced in HEK293T cell.
Type of Immunogen: Recombinant protein -
Isotype
- IgG2b
-
-
-
-
Application Notes
- Approved: IHC, IHC-P (1:150), WB (1:500 - 1:2000)
-
Comment
-
Target Species of Antibody: Human
-
Restrictions
- For Research Use only
-
-
-
Format
- Liquid
-
Concentration
- Lot specific
-
Buffer
- PBS, pH 7.3, 1 % BSA, 50 % glycerol, 0.02 % sodium azide
-
Preservative
- Sodium azide
-
Precaution of Use
- This product contains Sodium azide: a POISONOUS AND HAZARDOUS SUBSTANCE which should be handled by trained staff only.
-
Storage
- -20 °C
-
Storage Comment
- Store at -20°C. Avoid freeze-thaw cycles.
-
-
- UNG (Uracil-DNA Glycosylase (UNG))
-
Alternative Name
- UNG / Uracil DNA Glycosylase
-
Background
-
Name/Gene ID: UNG
Synonyms: UNG, DGU, HIGM4, HIGM5, Uracil-DNA glycosylase, UNG1, UNG2, UDG, UNG15 -
Gene ID
- 7374
-
NCBI Accession
- NP_550433
-
Pathways
- DNA Damage Repair, Production of Molecular Mediator of Immune Response
Target
-