BCAR1 antibody (pTyr410)
Quick Overview for BCAR1 antibody (pTyr410) (ABIN1531233)
Target
See all BCAR1 AntibodiesReactivity
Host
Clonality
Conjugate
Application
-
-
Binding Specificity
- AA 376-425, pTyr410
-
Specificity
-
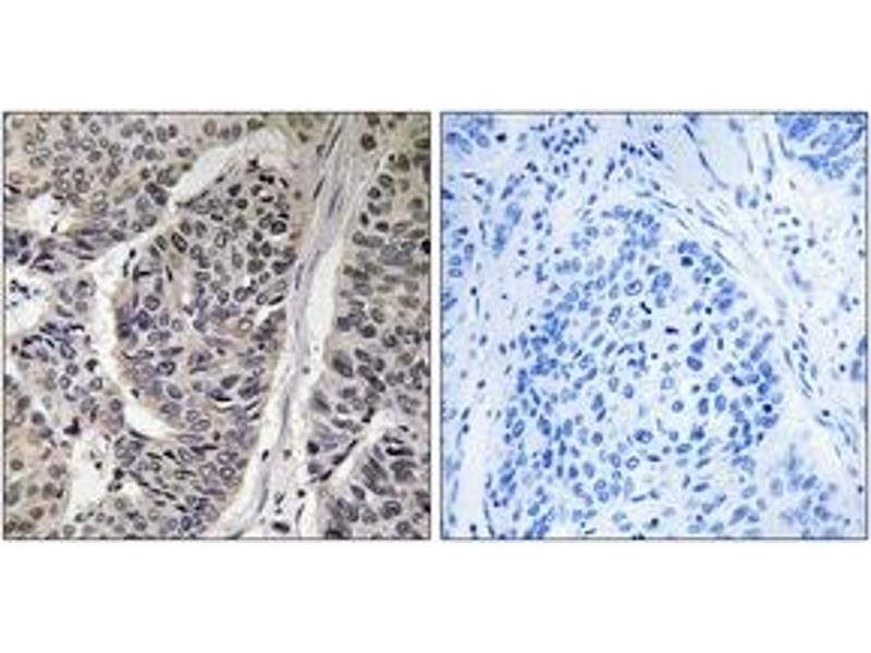
p130 Cas (Phospho-Tyr410) Antibody detects endogenous levels of p130 Cas only when phosphorylated at Tyr410.
PhosphorylationH:Y410 M:Y414 R:Y508
-
Purification
- The antibody was purified from rabbit antiserum by affinity-chromatography using phospho peptide. The antibody against non-phospho peptide was removed by chromatography using corresponding non-phospho peptide.
-
Purity
- > 95 %
-
Immunogen
- The antiserum was produced against synthesized peptide derived from human p130 Cas around the phosphorylation site of Tyr410.
-
Isotype
- IgG
-
-
-
-
Application Notes
- WB: 1:500~1:1000 IHC: 1:50~1:100 ELISA: 1:5000
-
Comment
-
Unigene-Number: Hs.479747 (NCBI Gene Symbol: BCAR1)
-
Restrictions
- For Research Use only
-
-
-
Format
- Liquid
-
Concentration
- 1 mg/mL
-
Buffer
- phosphate buffered saline (without Mg2+ and Ca2+), pH 7.4, 150 mM NaCl, 0.02 % sodium azide and 50 % glycerol.
-
Preservative
- Sodium azide
-
Precaution of Use
- This product contains sodium azide: a POISONOUS AND HAZARDOUS SUBSTANCE which should be handled by trained staff only.
-
Storage
- -20 °C
-
Storage Comment
- Stable at -20°C for at least 1 year.
-
Expiry Date
- 12 months
-
-
- BCAR1 (Breast Cancer Anti-Estrogen Resistance 1 (BCAR1))
-
Alternative Name
- p130 Cas
-
Background
-
Synonyms: BCAR1, Breast cancer anti-estrogen resistance 1, CRK-ASSOCIATED SUBSTRATE, CRKAS
NCBI Gene Symbol: BCAR1
-
Molecular Weight
- 93 kDa
-
Gene ID
- 9564
-
OMIM
- 602941
-
UniProt
- P56945
-
Pathways
- EGFR Signaling Pathway, Neurotrophin Signaling Pathway, CXCR4-mediated Signaling Events, Platelet-derived growth Factor Receptor Signaling
Target
-